


Incidence
- incidence of OA after Perthes
- nonoperative treatment: 23% THA at 40 years
- operative treatment: 18% THA at 40 years
Issues
| Femur | Acetabulum | Leg Length Discrepancy | Abductors |
|---|---|---|---|
|
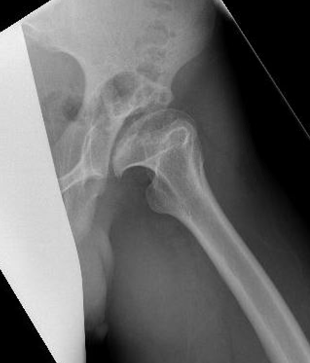
Multiplanar deformity |
Element dysplasia | 2 - 4 cm | Shortened |
| Worsened by previous surgery | May need trochanteric slide | ||
| Risk of intra-operative fracture | |||
| May require osteotomy |
|


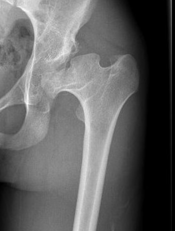
Shallow acetabulum
Technique
Option
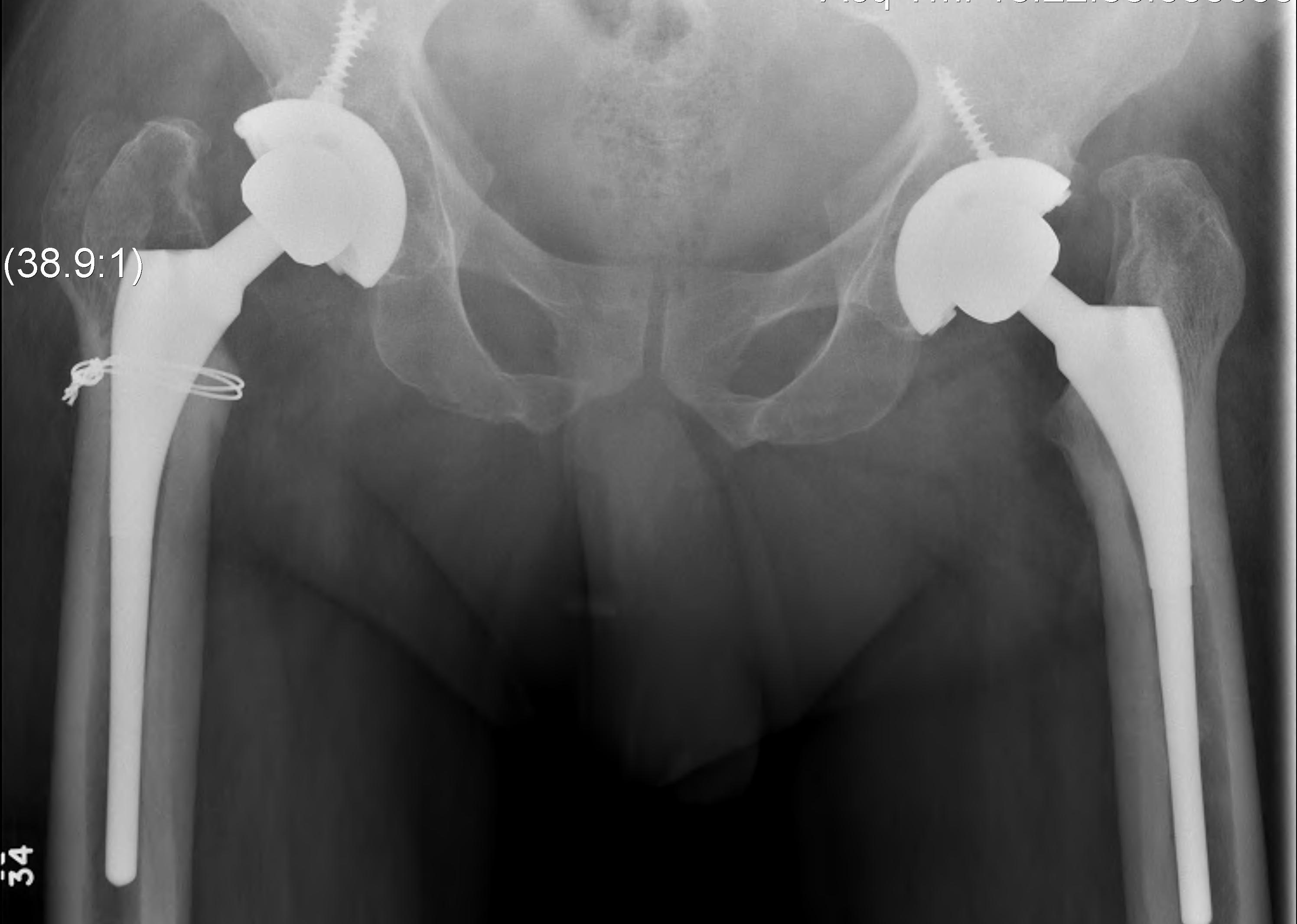
- monoblock stem
- modular stem


Uncemented stem


Modular stem


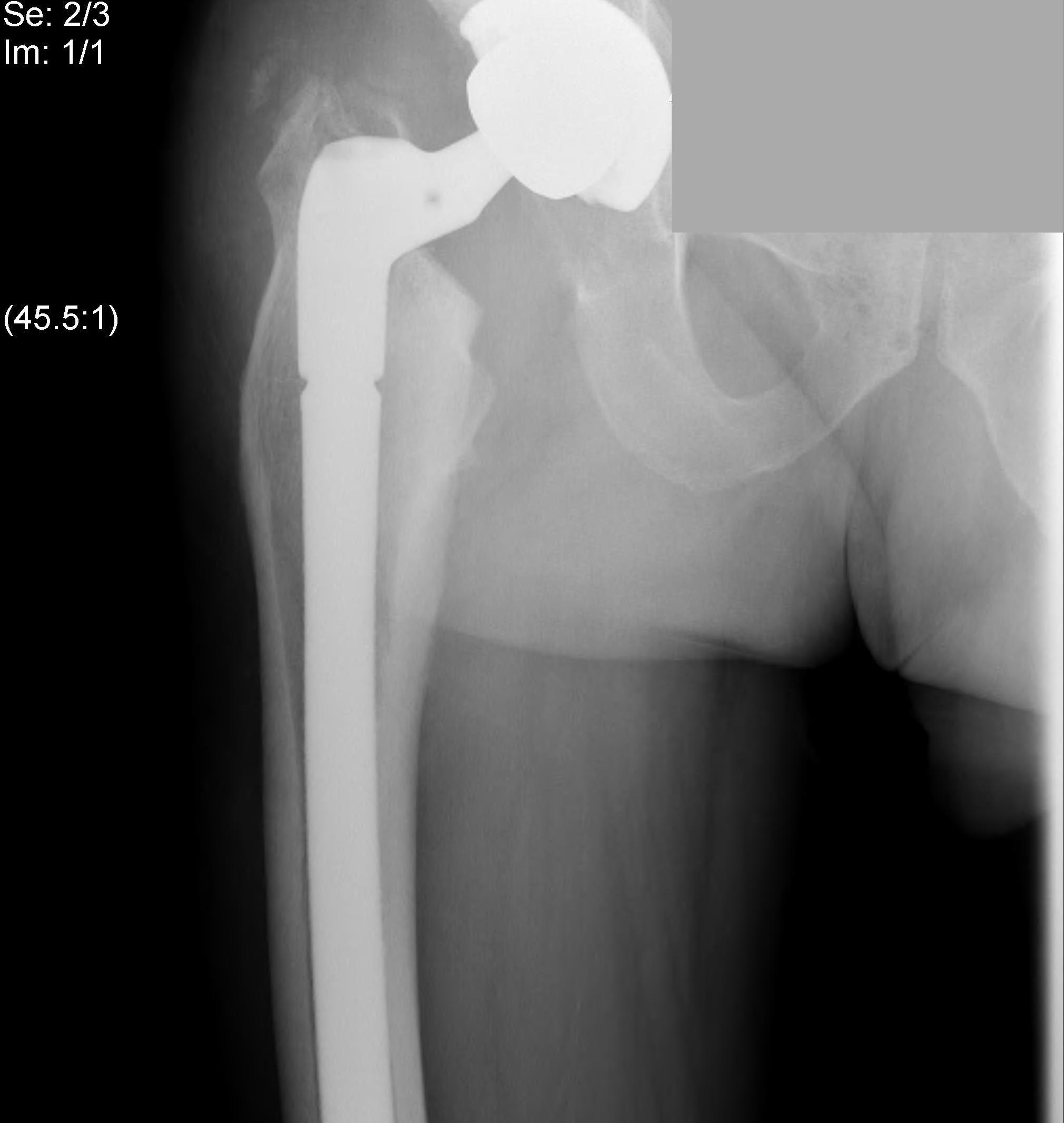
Trochanteric slide
Results
Hanna et al Arch Orthop Trauma Surg 2017
- 6 studies and 245 THA in Perthes
- intra-operative fracture 11% reduced with used of modular stems
- sciatic nerve palsy 3% associated LLD 1.9 cm and previous surgery
- 99 THA for Perthes
- follow up 8 +/- 5 years
- 10% revision rate
- 9% intraoperative fracture (mostly femur)
- 3 sciatic nerve injury with lengthening of 2.2 +/- 1 cm