Acetabular trauma and PTOA



Issues
Scarring / previous approaches / bleeding
Sciatic nerve
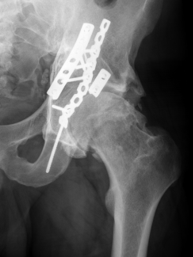
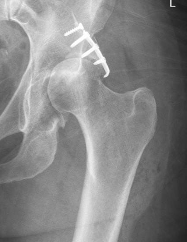
Prior hardware
Infection
Instability / dislocation
Acetabular bone loss / deformity / discontinuity
Types
- central contained defects
- segmental uncontained defects
- pelvic discontinuity
Options
- structural bone graft
- trabecular metal augments / buttress
- cage - ilium to ischium
- cup / cage construct



Trabecular metal augment



Structural bone graft
Results
Stibolt et al Chin J Traumatol 2018
- systematic review of THA for PTOA following acetabular fracture
- 448 patients mean age 51
- mean 3 years post fracture
- high rates of HO, loosening and infection
- THA following acetabular fracture in 74 patients
- infection 7%
- dislocation 11%
- HO 43%
Alqazzaz et al J Arthroplasty 2024
- THA in acetabular fracture compared to normal indications
- THA in acute acetabular fracture (< 6 months) increased dislocation / revision / fracture
- THA in delayed acetabular fracture (> 6 months) increased dislocation / revision / fracture
- Acute THR has significantly higher rates of dislocation compared to delayed (>6mo) THR