Background

 

Fracture patterns

 

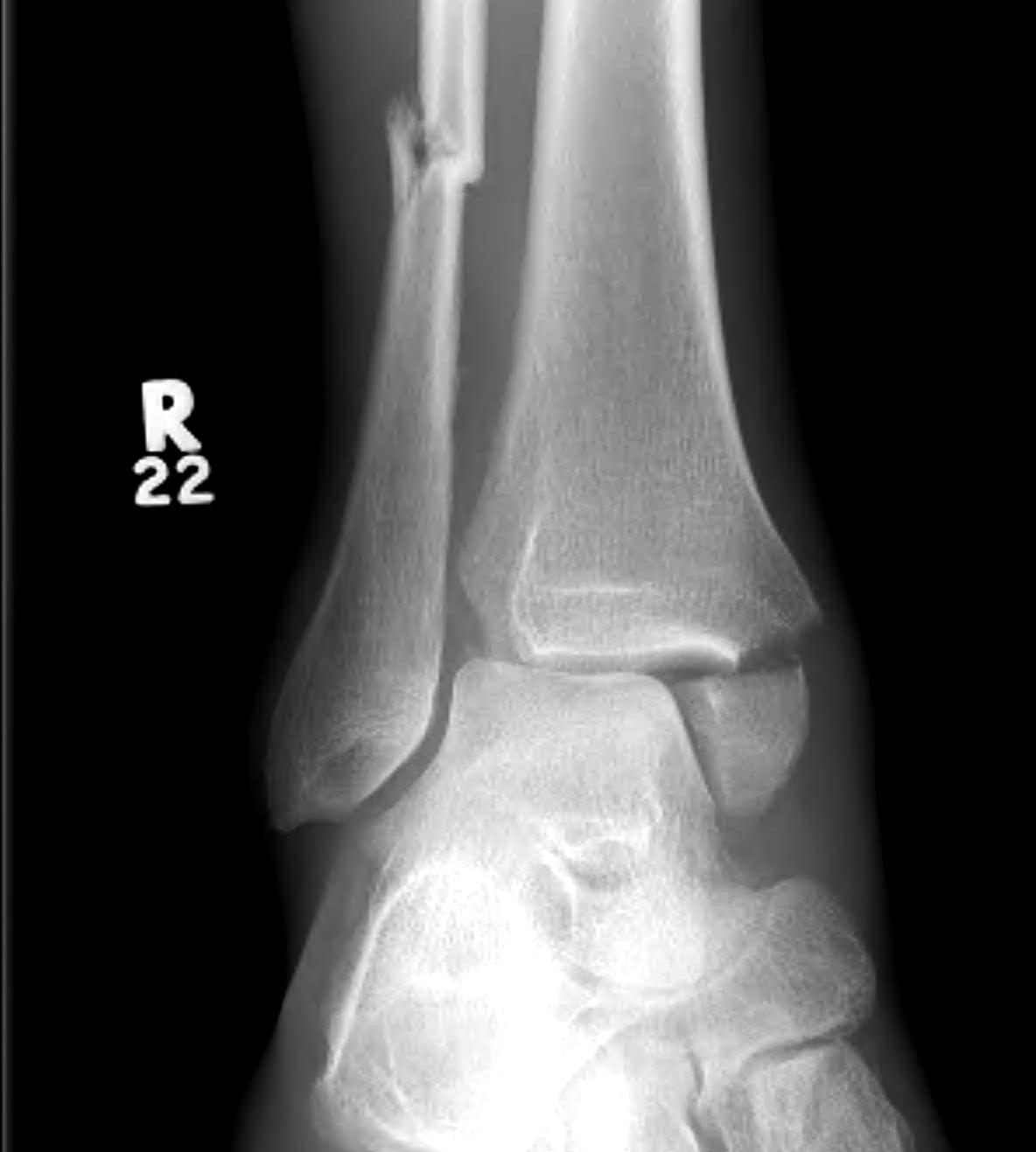
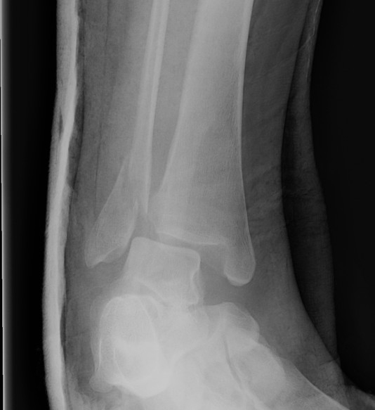
Lateral malleolar fractures Medial malleolar fractures Bimalleolar fractures Trimalleolar fractures

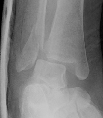
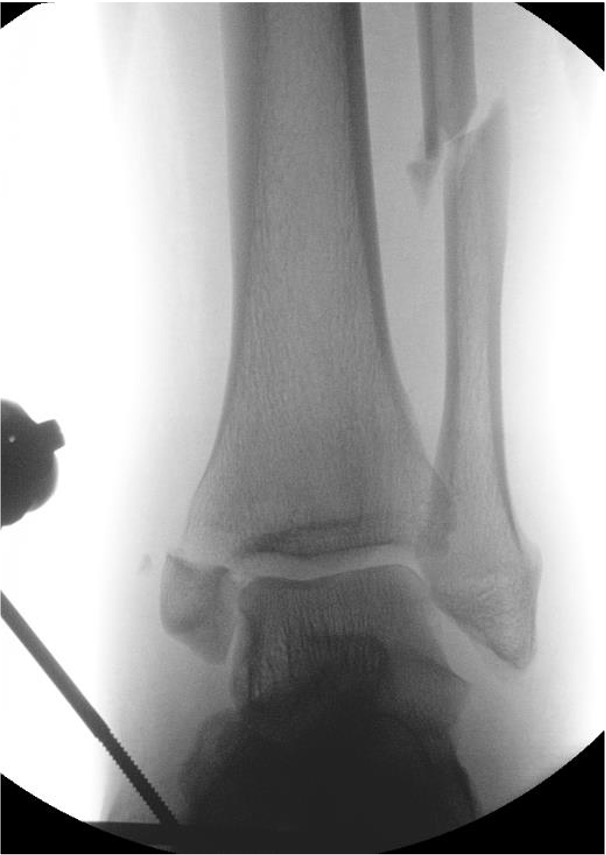
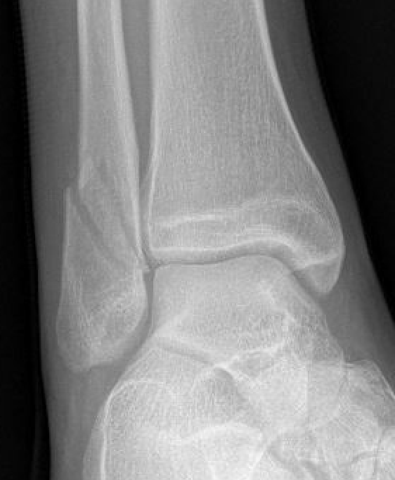
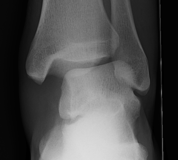
Weber A - below syndesmosis

Weber B - at syndesmosis

Weber C - above syndesmosis

Uncommon

Fibular + medial malleolus

Bimalleolar equivalent - fibular + deltoid ligament

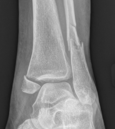
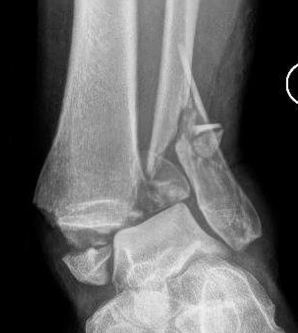
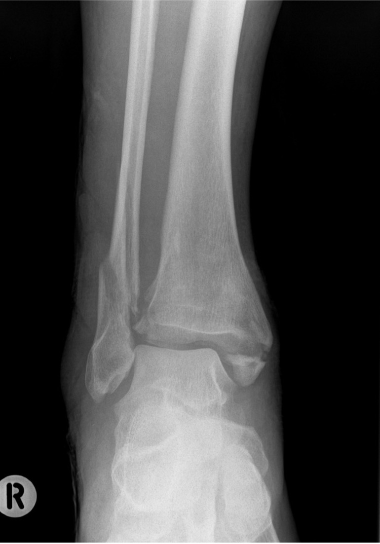
Fibular + posterior malleolus

Fibular fracture +

Medial malleolus fracture +

Posterior malleolus fracture

Weber C Med Mall Bimall Trimall

 

Anatomy

 

Ligaments

 

Lateral Ligament Complex Deltoid ligament Sydesmosis

ATFL

CFL

PTFL

Superficial deltoid

Deep deltoid

AITFL

PITFL

Interosseous ligament

Transverse tibiofibular ligament

 

 

Biomechanics

 

Load ROM Dorsiflexion Plantarflexion

90% load through plafond to talus

10% load through lateral talofibular articulation

Dorsiflexion 30°

Plantarflexion 45°

Talus wider anteriorly 2.5 mm

Fibula moves laterally & ER to accommodate

 

 

Deltoid ligament prevents ER of talus

5° internal rotation talus

 

Ramsey et al JBJS Am 1976

- 1mm lateral talus shift

- ankle contact area decreased by 40%

 

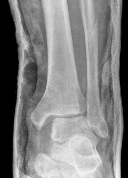
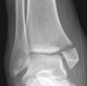
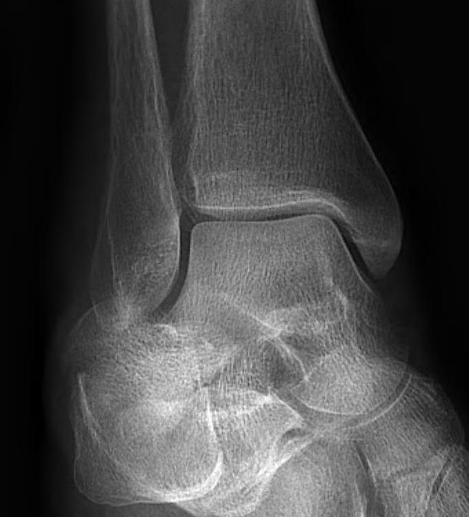
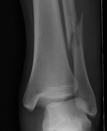
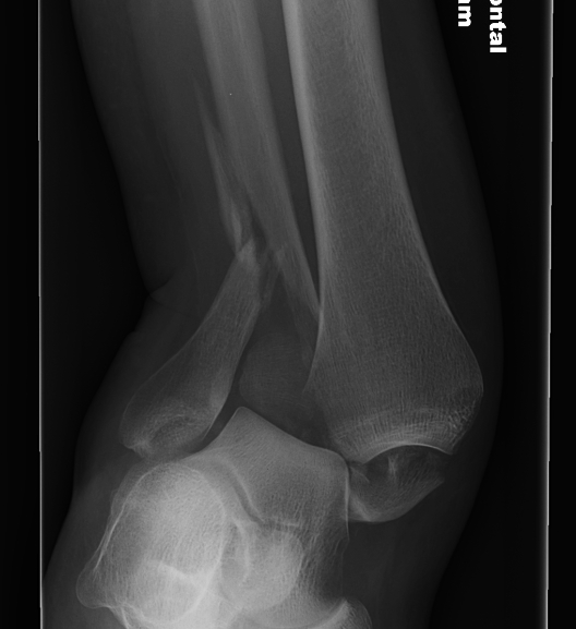
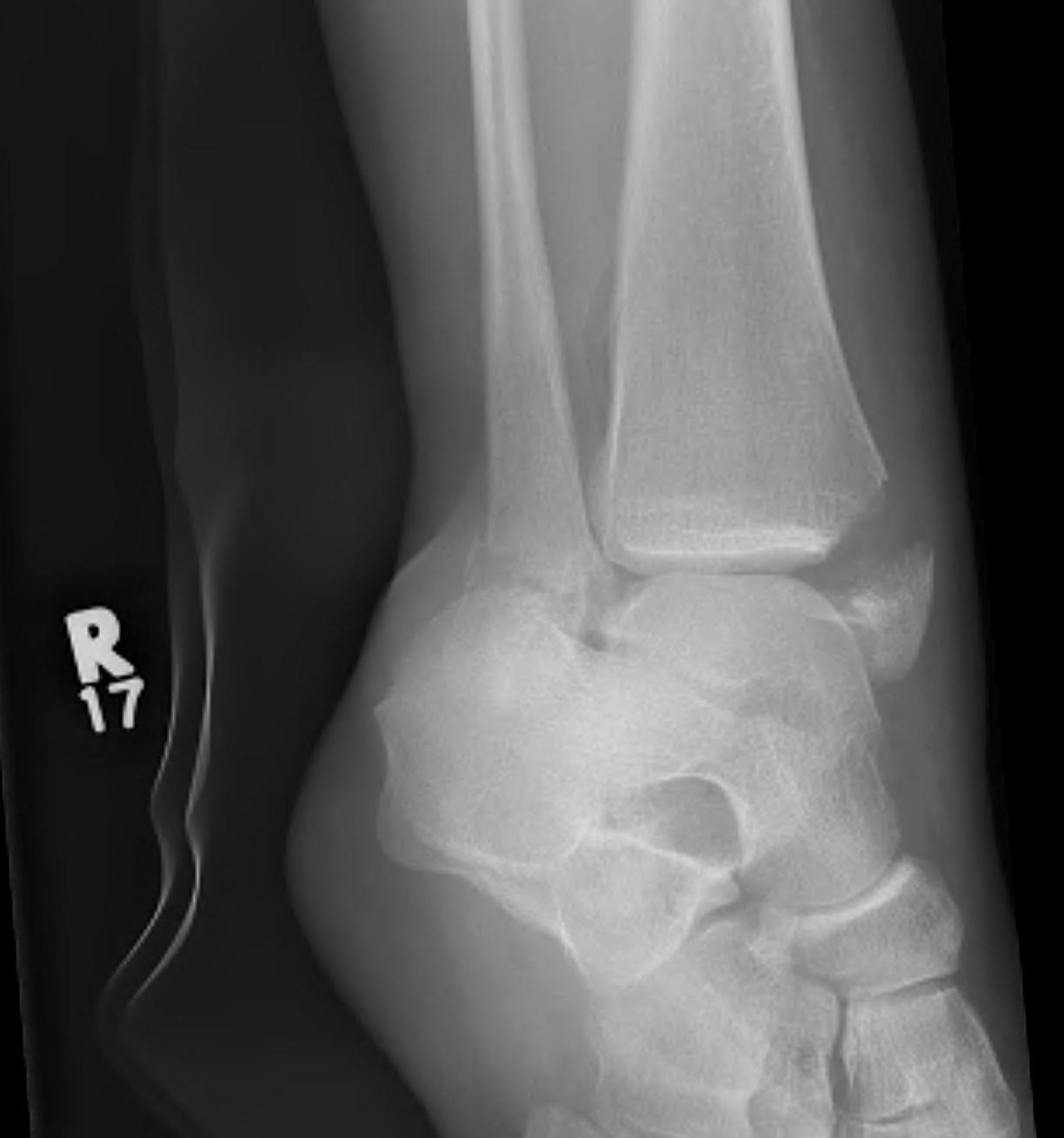
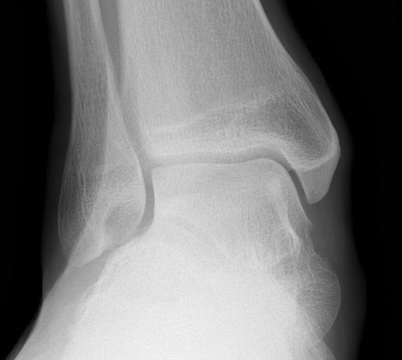
Ankle Fracture Classification 

 

Weber Classification of fibular fractures

 

Weber A Weber B Weber C
Fracture distal to syndesmosis Fracture at level of syndesmosis Fracture above level syndesmosis

Stable - avulsion fracture

Stability depends on deltoid ligament

 

Stable - no increased medial clear space / deltoid ligament intact

Unstable - Increased medial clear space / deltoid ligament rupture

Unstable

 

Syndesmosis disrupted

Weber A Weber bweber b Weber C

 

Lauge-Hansen Classfication

 

Two part

1.  Position of talus - pronation / supination

2.  Direction of force - external rotation or translational (adduction / abduction)

 

Supination-Adduction Supination-External Rotation Pronation-Abduction Pronation-External Rotation

Stage 1: Weber B fibula

 

Stage 1: Rupture of AITFL

 

Stage 1: Deltoid ligament rupture / transverse fracture of the medial malleolus

 

Stage 1: Deltoid ligament rupture /  transverse fracture of the medial malleolus

      

Stage 2: Vertical medial malleolus Stage 2: Weber B fibular Stage 2: Rupture of the AITLF / PITFL or bony avulsion Stage 2: Rupture of the AITFL or bony avulsion
  Stage 3: Rupture of PITFL / fracture of posterior malleolus Stage 3: Weber C fibula (often butterfly) Stage 3: Spiral/Oblique fracture Weber C
  Stage 4: Transverse fracture of medial malleolus   Stage 4: Rupture of the PITFL or fracture of the posterior malleolus
  Most common - up to 85% all injuries Less than 5% of ankle fractures  
Ankle Fracture Supination Adduction Ankle Fracture Supination ER Ankle Pronation Abduction Ankle Fracture Pronation External Rotation

 

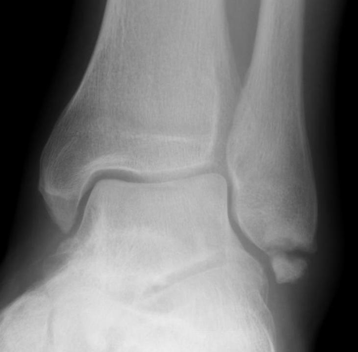
X-ray assessment

 

3 standard views

 

AP / Lateral / Mortise

 

Mortise

- AP with foot internally rotated

- should be symmetrical space around talus

 

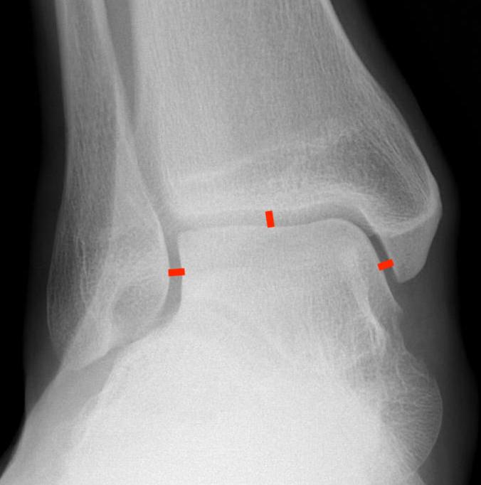
Ankle Mortise ViewMortise

 

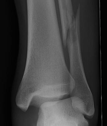
 Increased tibio-fibular clear space  Overlap Increased medial clear space

Medial border of the fibula

Lateral border of the posterior tibia (incisura fibularis)

Measured 1 cm above the plafond

Overlap of the fibula and the anterior tibial tubercle

 

Medial talus to lateral medial malleolus

<5mm AP and mortise

> 6 mm AP view

> 1 mm mortise view

< 4mm

Equal to superior clear space

Syndesmotic injury Syndesmotic injury

Deltoid ligament injury

Lateral talar shift

Ankle AP Xray Syndesmotic Measurements Ankle Mortice Xray Syndesmotic Measurements Mortise

 

Lateral talar shift / increased medial clear space / deltoid ligament injury

 

Ankle Fracture Increased Medial Clear SpaceAnkle Fracture Increased Medial Clear Space 2Maisonnerve

 

Tibia / fibular overlap < 1mm / syndesmotic injury

 

Ankle Fracture Syndesmosis WidenedAnkle Diastasis

 

Management

 

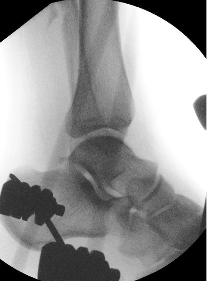
Ankle dislocation

 

Reduction under conscious sedation

- protects skin medially

- conscious sedation in emergency department

- well moulded cast

- unstable ankles need monitoring for loss of reduction

- can need external fixation to maintain position

 

Dislocationdislocationdislocation

 

External fixation

 

Unstable reduction / swelling / poor skin / blisters

 

Ankle ex fixANkle ex fix

 

trimallTrimallTrimallTrimall

 

ankeankleankleankle

 

Compound fractures

 

Compound ankleCompoundCompound

 

Compound Ankle FractureMedial compound wounds

 

Results

 

Martin et al J Orthop Trauma 2021

- 41 open ankle dislocations with medial wound

- pronation-abduction

- 10% deep infection, one amputation

 

Kahan et al Injury 2020

- 22 open pronation-abduction injuries compared with 35 other open ankle fractures

- pronation abduction group associated with obesity, reoperations, arthrodesis and ampution

 

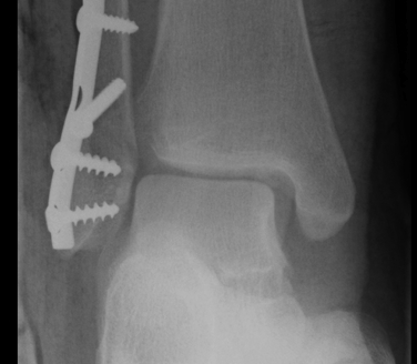
Operative Management

 

Diabetes / elderly / fragility fractures

 

Issues

 

High risk infection / wound complications / loss of fixation

 

See boneschool page - Fragility Fractures

 

Timing of surgery

 

Operate when swelling reduced / wrinkling / resolution of blisters

- risk not being able to close wounds / infection

- higher risk with bimalleolar / 2 incision operations

 

Schepers et al Int Orthop 2013

- prospective study of ankle fracture surgery

- infection rate surgery < 1 day: 0/60

- infection rate delayed surgery: 16/145 (11%)

- infection rate surgery < 1 week: 2%

- infection rate surgery > 1 week: 13%

 

Skin preparation

 

Sprague et al NEJM 2024

- RCT of iodine v chorhexidine prep

- 6700 patients undergoing lower limb fracture surgery (~8% ankles)

- closed fracture infections: iodine 2.4%, chlorhexidine 3.3%

- open fracture infections: iodine 6.5%, chorhexidine 7.3%

 

Early Weight bearing

 

Sharma et al Foot Ankle Surg 2022

- early versus delayed weight bearing

- meta-analysis of 14 RCTs

- early weight bearing had better short term outcomes at 6 - 9 weeks

- no difference at 6 months

- early return to work with early weight bearing

 

Baumbach et al Foot Ankle Surg 2023

- early versus delayed weight bearing

- meta-analysis of 13 studies

- early weight bearing did not increase complication rate

 

Early ROM

 

Keene et al J Orthop Sports Phys Ther 2014

- meta-analysis of immobilization versus early ROM

- 11 studies

- no difference in functional outcomes at 6 weeks, 3 months or 1 year

- reduced DVT with early ROM

- increased infection / fixation failure / removal of metalwork with early ROM

 

Complications

 

Infection

 

Infection 2infection 1

 

Shao et al Int J Surg 2018

- systematic review of 10 studies and 8000 operative fixation ankle fractures

- incidence infection 7%

- increased with: open fractures / fracture dislocations / high energy injuries

- increased with: increased BMI, ASA 3, diabetes, smoking

 

DVT / PE

 

Blanco et al J Foot Ankle Surg 2018

- prospective cohort and 90 incidence of DVT / PE

- achilles tendon in cast: 5%

- ankle fracture cast / no surgery:2%

- ankle fracture surgery: 3%

 

Elliott et al Arch Orthop Trauma Surg 2023

- 483 patients with surgically treated ankle fractures

- DVT / PE no prophylaxis: 3.5%

- DVT / PE with prophylaxis: 4%

- no difference in complications

 

Osteoarthritis

 

Swierstra et al EFORT Open Rev 2022

- systematic review

- overall incidence of post-traumatic OA 25%

 

Beak et al Foot Ankle Int 2022

- risk factors for OA in 330 patients

- increased risk with fracture dislocations / posterior malleolar fractures / malreduction

 

Ankle OA Post ORIF