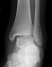
Weber Classification of fibula fractures
| Weber A | Weber B | Weber c |
|---|---|---|
| Fracture distal to syndesmosis | Fracture at level of syndesmosis | Fracture above level syndesmosis |
|
Stable - avulsion fracture |
Stability depends on deltoid ligament
Stable - no increased medial clear space / deltoid ligament intact Unstable - Increased medial clear space / deltoid ligament rupture |
Unstable
Syndesmosis disrupted |
![]() |
![]() ![]() |
![]() |
Epidemiology
Court-Brown et al Acta Orthop Scand 1998
- 1500 ankle fractures
- 38% Weber A
- 52% Weber B
- 10% Weber C
4th most common fracture requiring surgery
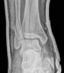
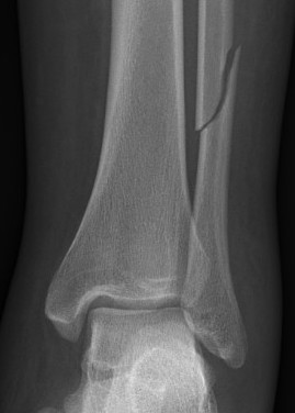
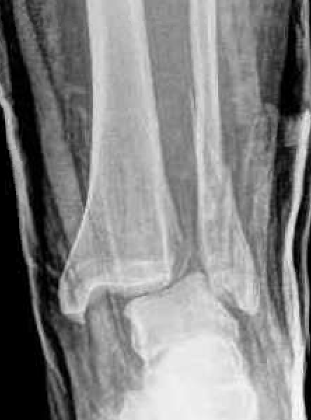
Weber A fibular fracture
Definition
Fracture below level of syndesmosis
Fibular avulsion fracture
Management
Stable
Full weight bear
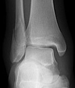
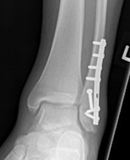
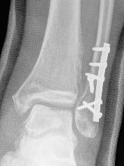
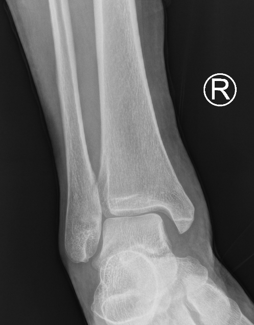
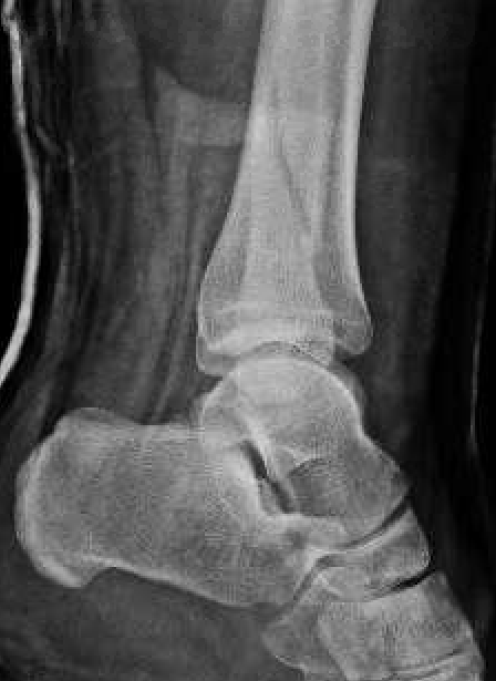
Weber B fibular fracture
Definition
Fracture at level of syndesmosis
Supination-external rotation Type IV
Syndesmosis stable - management depends on deltoid ligament
Deltoid ligament assessment
Mortise view
- symmetrical space around mortise
- AP with 15 degrees internal rotation
Increased medial clear space / lateral talar shift / deltoid ligament injury



| Examination | Xray | Stress xray |
|---|---|---|
| Tender / bruising medially | Increased medial clear space > 4 mm |
Gravity Stress View - patient lies injured side down with cross table xray - increased medial clear space
Stress xray - lead gloves / valgus stress / painful |
![]() |
|
- presence of medial tenderness and deltoid ligament injury
- limited ability of tenderness to determine complete deltoid ligament instability
van Leeuwen et al Arch Orthop Trauma Surg 2022
- systematic review of predicting deltoid ligament rupture
- ultrasound: sensitivity 100%, specificity 90 - 100%
- gravity stress: sensitivity 70-100%, specificity 88-92%
- medial clear space / manual stress / MRI: 65 - 88%
Stable Weber B / intact deltoid ligament


Operative versus nonoperative
- operative v nonoperative management isolated Weber B with no talar shift
- CROSSBAT study
- RCT of 160 patients
- no difference in functional outcome
O'Keefe et al Foot Ankle Int 2022
- 5 year follow up of CROSSBAT study
- RCT 160 stable Weber B - op vs non-op
- no difference in functional outcome
Tian et al J Orthop Surg Res 2024
- systematic review
- operative v non operative management isolated Weber B
- better outcomes with non operative management
Cast versus removable brace
Spierings et al Eur J Trauma Emerg Surg 2023
- systematic review of removable brace versus cast
- stable Weber B fibular fractures
- better outcomes and reduced complications with removable brace
Weight bearing
Stassen et al Eur J Orthop Trauma Surg 2024
- RCT of early weight bearing in brace versus NWB in cast
- improved early functional outcome with weight bearing
- in 16%, early weight bearing associated with lateral talar shift needing surgery
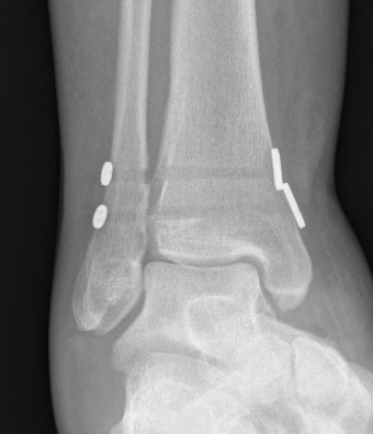
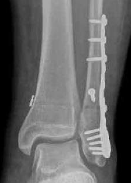
Unstable Weber B / torn deltoid ligament
Bimalleolar equivalent


Management
ORIF fibular
- ensure medial joint space fully reduced
- may need to open medial joint / removed osteochondral fragments / deltoid ligament

Open medial joint line after reduction
ORIF options
Plate - 1/3 tubular / DCP / anatomic locking plate
Fibular nail
ORIF
Dhillon et al Eur J Orthop Traumatol Surg 2024
- systematic review of 18 studies and 4000 patients
- no difference in outcome between locking and non locking plates
Plate versus nail


Attia et al Foot Ankle Surg 2022
- meta-analysis of plate versus nail for fibular fractures
- 4 comparative studies and 260 patients
- increased functional outcomes with nail
- complication rate: plate 29% nail 8%
- infection rate: plate 8% nail 0%
- re-operation rate: plate 8% nail 5%
Fibular nail



Deltoid ligament repair
- systematic review of deltoid ligament repair in ankle fracture
- 8 studies and 400 patients (only 1 RCT)
- improved outcome and decreased medial clear space with deltoid repair
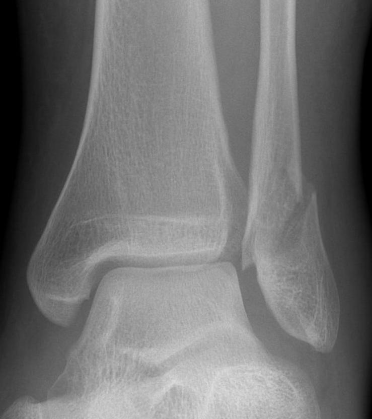
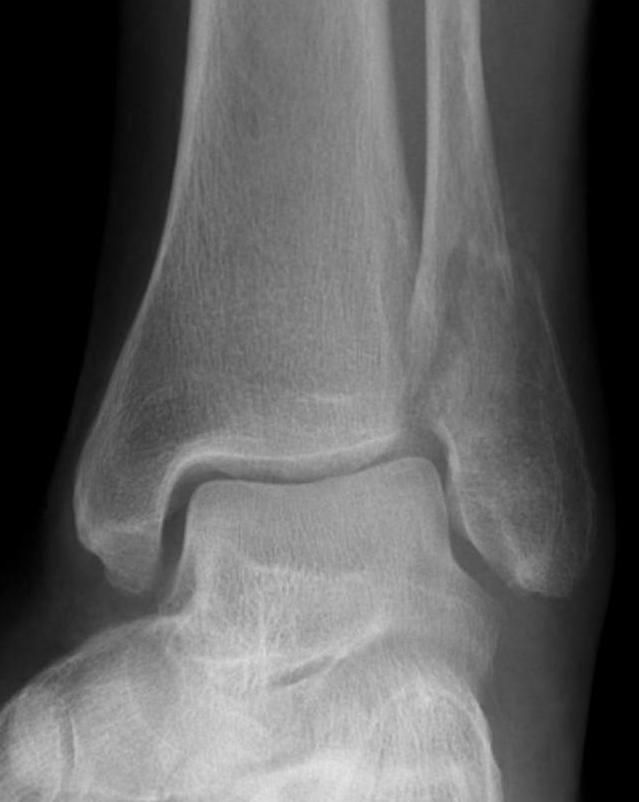
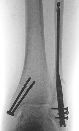
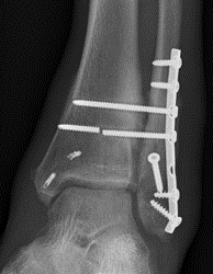
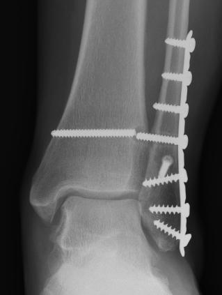
Isolated Weber C fracture


Weber C fracture Weber C fracture with deltoid ligament injury




Maisonneuve injury: proximal fibula with open medial clear space
Definition
Fracture above syndesmosis
Syndesmosis disrupted +/- deltoid ligament
Syndesmotic injury
Xray assessment
| Increased tibio-fibular Clear space | Overlap | Increased medial clear space |
|---|---|---|
|
Medial border of the fibula Lateral border of the posterior tibia (incisura fibularis) Measured 1 cm above the plafond |
Overlap of the fibula and the anterior tibial tubercle | Deltoid ligament injury |
| <5mm AP and mortise |
> 6 mm AP view > 1 mm mortise view |
Maisonneuve / proximal fibular injury |
![]() |
![]() |
![]() |
Intraoperative tests
Cotton test - clamp on fibular, apply lateral stress
Stress test - external rotation of foot
Management
ORIF fibular
Syndesmosis reduction and stabilization with plate versus screws
Reduction syndesmosis
Avoid malreduction
- arthroscopic visualization
- open reduction of syndesmosis via anterolateral approach
Vumedi open reduction syndesmosis
Foot in neutral
- clamp across medial and lateral malleolus
- don't reduce in plantarflexion as posterior talus is more narrow
- don't over reduce the joint
- check symmetrical joint space on mortise view
ORIF Options
Screw fixation
Suture button
Xu et al J Foot Ankle Surg 2021
- meta-analysis of 12 studies and 600 patients
- suture button had improved functional outcomes at 2 years
- suture button had reduced malreduction
- suture button had reduced implant failure / removal / irritation
Screw fixation
Technique
AO surgery reference surgical technique
Technique
- level of syndesmosis (1.5 - 3 cm from joint)
- angle 30 degrees anterior
One versus Two screws
Hoiness et al J Orthop Trauma 2004
- single 4.5 mm 4 cortical screw versus two 3.5 mm 3 cortices screw
- RCT of 64 patients
- improved function and less pain at 3 months with tricortical
- no difference at 1 year
3.5 mm versus 4.5 mm screws
Stuart et al Foot Ankle Int 2011
- retrospective study of 137 patients
- 3.5 mm screws more likely to break than 4.5 mm screws
- no difference in outcome
3 versus 4 cortices
Moore et al Foot Ankle Int 2006
- RCT of 127 patients
- 2 x 3.5 mm screws, 3 versus 4 cortices
- no loss of reduction with 4 cortices
- 3 loss of reduction with 3 cortices, all who began early weight bearing against guidance
Bioabsorbable versus metallic screws
van der Eng et al J Foot Ankle Surg 2015
- systematic review of bioabsorbable versus metallic screws
- complication rate bioabsorbable: 23%
- complication rate metallic screws: 6%
Screw removal


Sanders et al Bone Joint J 2021
- RODEO study
- 150 patients RCT of routine screw removal versus on demand screw removal
- no functional difference at 1 year (or 4 years in later follow up study)
- increased complications with routine screw removal
- systematic review of 3 RCT of routine screw removal versus on demand screw removal
- no difference functional outcome at 1 year
- routine screw removal associated with increased complication
Suture button




Technique


Arthrex tightrope technique PDF
Arthrex surgical technique video
One or two suture buttons
- 1.5 - 3 cm above joint line
- angle 30 degrees anterior
- need to ensure entry point centered on fibula
- risk of saphenous nerve damage of medial side
- consider medial incision to identify and protect nerve
- talus at neutral dorsiflexion when tightening
One versus two buttons
- one versus two suture buttons in 40 patients
- no difference in outcome
- two suture buttons more costly
Deltoid ligament repair
Wang et al J Foot Ankle Surgery 2021
- systematic review of deltoid ligament repair in ankle sysdesmotic injury
- 9 studies and 500 patients
- no difference in pain or functional outcome
- lower malreduction with deltoid ligament repair







