

Definition
Metatarsal stress fracture
Insufficiency fracture of second or third metatarsal
- most common area is second metatarsal neck
Etiology
Onset of new and very intense / strenuous / repetitive physical activity
- i.e. new army recruits
- ballet dancers
- low vitamin D
- female triad - anorexia, amenorrhea, osteoporosis
- women with postmenopausal osteoporosis
Hincapie et al Arch Phys Med Rehab 2010
- systematic review of female triad in dancers
- lifetime prevalence eating disorder 50%
- disordered menstruation 32% in first year dancers
Clinical
Pain and swelling with activity
Focal tenderness
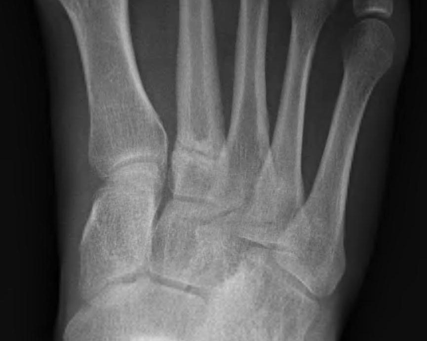
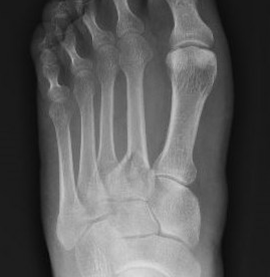
X-ray
May be negative for first 2 - 4 weeks
Subtle transverse / oblique fracture
- usually midshaft or distal
- usually incomplete
May see callous



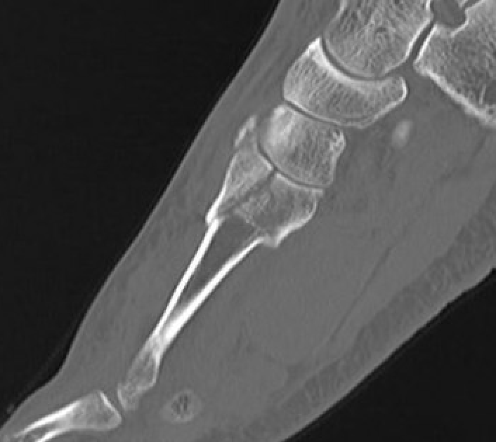
CT


Bone Scan / MRI
Show increased activity prior to xray changes

Management
Non operative
Rest until pain free - 6 - 8 weeks
Gradual resumption of activities
- 64 stress fractures in ballet dancers
- most common site diaphyseal-metaphyseal junction
- return at 6 weeks
- refracture rate 8/64 (13%) at 4 years
- all refractures healed with nonoperative treatment
Operative management
Indication
- delayed union / nonunion
Method
- dorsal approach / plate / bone graft
Case report surgical technique bridging plate PDF