Cuboid Fractures

 

cuboid cubcub

 

Types

 

1.  Capsular avulsions

 

2.  Body / Nutcracker fracture

 

3.  Cuboid stress fractures - rare

 

4.  Cuboid syndrome - subluxation of the cuboid, seen in dancers

 

Body / Nutcracker fracture

 

Anatomy

 

Joints

- tarso-metatarsal joint - with 4th and 4th MT, 3 x movement of other TMT joints

- midtarsal joint - calcaneocuboid joint, limited movement

- laterally with lateral cuneiform

 

Surfaces

- dorsal surface bare

- plantar surface - groove for peroneus longus

 

Biomechanics

- does not directly bear weight

- supports lateral column of foot

 

Blood supply

- excellent blood supply

- nonunion rare

 

Mechanism

 

High energy injuries

- forced eversion / abduction of forefoot

- cuboid crushed between 4th and 5th MT and calaneum

 

See in association with Lisfranc injuries

 

Classification

 

Fenton et al Bone Joint J 2016

 

Case series of 192 cuboid fractures

 

Type 1: Avulsions 48%

Type 2: Extra-articular body fractures 13%

Type 3: Intra-articular fractures 7%

Type 4: Disrupt TMT / calcaneocuboid joint 18%

Type 5: Crushing of the lateral column 14%

 

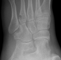
Xray

 

cuboid Cuboid

 

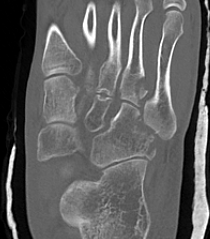
CT

 

cubcubcub

 

Operative Management

 

Indications

 

Articular step

Lateral column shortening

Joint displacement

 

Goal

 

Restore lateral column length

Restore articular surface

 

Approach

 

Dorsolateral approach

- tip of fibular to base 4th metatarsal

- elevate extensor digitorum brevis

 

AO foundation dorsolateral approach

 

Options

 

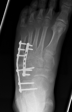
ORIF

Bridge plating

External fixation

 

ORIF +/- bone grafting

 

Screw fixation if simple fracture

Cuboid plates

 

Cuboid platesynthes cuboid

 

Paragon Baby Gorilla Cuboid Plates

 

Synthes VA cuboid locking plate PDF

 

Vumedi cuboid fixation video

 

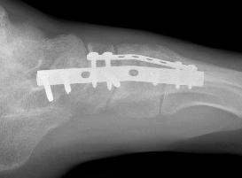
Bridge plating

 

Severe comminution / lateral column shortening

- consider temporary distractor / external fixation to obtain length

- calcaneum to 4th / 5th metatarsal plate

- non-weight bearing until union then remove plates (typically 12 weeks)

 

AO foundation bridge plating cuboid

 

cuobidcubcub

 

Results

 

Yu et al Acta Orthop Belg 2012

- 6 patients with lateral column shortening treated with ORIF

- 2 good results, 4 fair results

 

Weber et al Foot Ankle Int 2002

- ORIF cuboid in 12 patients

- early degenerative OA in 4 patients

- residual disability in 9/12 patients