

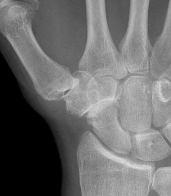
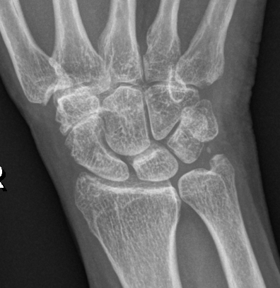
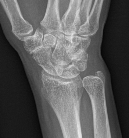
Isolated STT osteoarthritis
Epidemiology
OA of the scapho-trapezium-trapezoidal (STT) joints
Third most common wrist osteoarthritis after CMC OA and SLAC wrist
- four times more common in women
- associated with CMC OA in 60% of cases
- often bilateral
Clinical
Pain at base of thumb with pinch
Positive thumb grind test
Nonoperative management
NSAIDS
Rest
Splint
HCLA injection
Operative management



Options
STT fusion
Distal scaphoid excision +/- spacer / implant
Trapeziectomy +/- partial trapezoidal excision
STT fusion

Technique
Trimed STT fusion technique PDF
Dorsal approach over Lister's tubercle
- protect superficial nerve branches
- release extensor retinaclum
- 3rd compartment (EPL) retracted radially
- 2nd extensor compartment (ECRL / ECRB) retracted ulna
- decorticate distal scaphoid / proximal trapezium / proximal trapezoid
- fix with K wire
- cancellous bone graft from Lister's tubercle
- +/- plate
Results
Watson et al J Hand Surg Am 2003
- 800 STT fusions
- ROM 70 - 80% nonoperative side
- complication rate 13%
- nonunion rate 4%
Stephens et J Hand Surg Am 2022
- systematic review of 30 studies and 1400 patients
- mean wrist flexion 41 and wrist extension 50%
- nonunion 6%
- conversion to wrist arthrodesis 4%
Distal scaphoid excision +/- tendon interposition +/- pyrocarbon implant
Issues
Open v arthroscopic
Tendon interposition / Pyrocarbon implants
Risk of DISI deformity - contra-indicated with DISI deformity
Technique
Vumedi arthroscopic distal scaphoid resection video
Results
- 17 isolated STT OA undergoing arthroscopic distal scaphoid excision
- 2/17 developed DISI deformity, associated with > 3 mm resection
Marcuzzi et al Acta Orthop Traumatol 2014
- distal scaphoid excision +/- pyrocarbon implant in 17 patients
- no difference between two groups
Trapeziectomy +/- partial trapezoidal excision

Results
Langenhan et al J Hand Surg Eur 2014
- trapeziectomy + LRTI in 15 patients with isolated STT OA
- no partial trapezoidal resection
- good outcomes
Dorsal approach through 1st extensor compartment
Vumedi trapeziectomy dorsal approach video
Arthrex trapeziectomy dorsal approach + LRTI video
Dorsal incision at base of thumb over CMCJ
- protect sensory branches of superficial radial nerve
- first dorsal extensor compartment opened
- go between APL and EPB
- protect radial artery as it passes dorsally over snuff box
- open capsule and excise trapezium
Volar / radiopalmar approach (Wagner)
AO surgery reference radiopalmar approach to base of thumb
Youtube Wagner approach trapeziectomy video
Incision at base of thumb between dorsal and volar skin
- protect dorsal radial nerve sensory branches
- first extensor compartment dorsal
- reflect thenar muscles from base of first metacarpal in volar direction
- CMC capsulotomy
LRTI
Arthrex trapeziectomy and LRTI technique PDF
Vumedi dorsal trapeziectomy and LRTI with FCR video
Slip of FCR / palmaris longus / APL
- pass through drill hole in metacarpal to stabilize (ligament reconstruction)
- place ball of tendon in gap (tendon interposition) to prevent shortening of metacarpal into void
- +/- stabilize with K wire holding metacarpal reduced and out to length