![]()


Epidemiology
Carpometacarpal joint (CMC) - trapezium-thumb joint
Commonest hand joint involved in OA
- SLAC wrist second
- STT OA third
CMC OA associated with STT OA in 50%
van der Oest et al Osteoarthritis Cartilage 2021
- meta-analysis of base of radiographic prevalence of thumb OA
- age 50: male 6%, female 7%
- age 80: male 33%, female 39%
Anatomy
Carpometacarpal joint
- saddle shaped joint
- extremely mobile due to minimal bony confinement
- flexion & extension / adduction & abduction / opposition
Beak ligament
- oblique palmar ligament
- volar tubercle trapezium to ulna base of thumb metacarpal
- provides stability
Dorsal radial ligaments
Etiology
Primary - compressive overload during pinch
Secondary - trauma / RA / ligamentous laxity
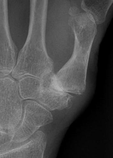
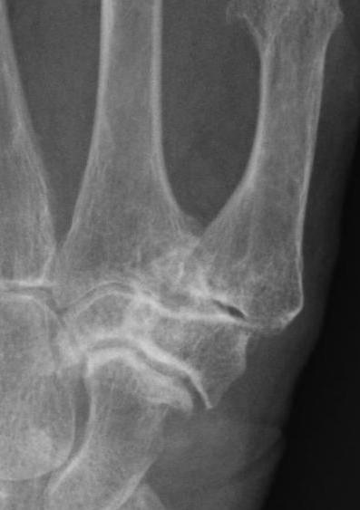
Eaton Classification
| Stage I | Stage II | Stage III | Stage IV |
|---|---|---|---|
|
Xray normal Synovitis |
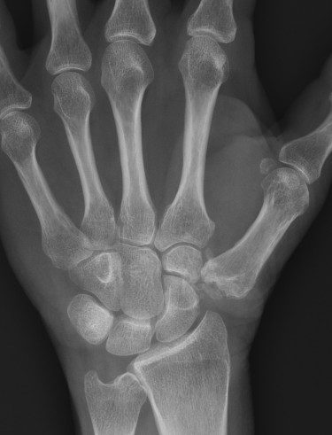
Joint space narrowed Mild subluxation |
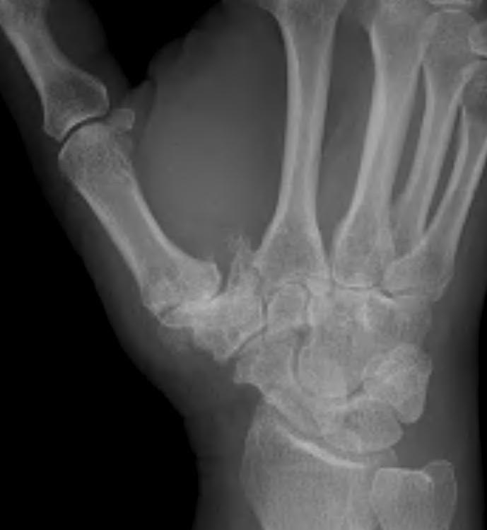
Severe joint space OA Radial subluxation of joint |
CMC + STT OA |
![]() |
![]() |
![]() |
Clinical
![]()
Swan neck deformity
History
- pain at base of thumb especially with pinch grip
- weak pinch grip
Examination
- swelling and tenderness base of thumb
- Swan neck deformity - hyperextension of MCPJ secondary to dorsal subluxation of CMCJ
- Positive grind test - passive thumb circumduction and axial loading causes pain
Nonoperative management
Options
Physiotherapy
Splints
Injections
Joint denervation
Physiotherapy
Karanasios et al Healthcare 2024
- meta-analysis of physiotherapy for CMC OA
- 14 RCTs and 1280 patients
- evidence for short term effects
Splinting
Outcomes
Buhler et al Osteoarthritis Cartilage 2019
- systematic review of splints for CMC OA
- 12 studies and 1300 patients
- evidence for reduction in pain in medium term (one year)
Night splints
Rannou et al Ann Intern Med 2009
- RCT of 112 patients with half given rigid splint to wear at night
- no effect at 1 month but improved pain and function at 1 year
Custom thermoplastic versus soft prefabricated splints
Baradaran et al Arch Bone Joint Surg 2018
- meta-analysis of prefabricated soft splints versus custom made thermoplastic splints
- 5 RCTS and 230 patients
- improved outcomes with prefrabricated soft splints
Injections
Cortisone
Estee et al BMC Musculoskeletal disorder 2022
- systematic review of cortisone injections for CMC OA
- no effect on pain or function after 4-6 weeks
Hyaluronic acid
Monfort et al Bone Joint Spine 2015
- RCT of 88 patients of ultrasound guided HA v cortisone
- improved efficacy of HA at 3 and 6 months
PRP
- RCT of PRP v saline in 90 patients with CMC OA
- no between group difference at 6 months
Operative Management
Options
Trapeziectomy +/- ligament reconstruction and tendon interposition (LRTI)
Arthroscopic partial trapeziectomy
CMC arthrodesis
Arthroplasty
Results
Trapeziectomy +/- LRTI
Liu et al Arch Orthop Trauma Surg 2022
- meta-analysis of trapeziectomy +/- LRTI
- 8 RCTs and 600 cases
- no difference in pain relief or function at one year
- LRTI better grip and pinch strength
- more complications with LRTI
CMC arthrodesis v trapeziectomy
Chen et al Acta Orthop Belg 2023
- systematic review of arthrodesis versus trapeziectomy + LRTI
- 5 studies and 200 cases
- no differences in outcome regarding pain / strength / function
- RCT of arthrodesis versus trapeziectomy + LRTI in women > 40
- 40 patients, prematurely ceased RCT
- no difference in outcomes
- increased complications in arthrodesis group
Arthoplasty versus trapeziectomy
Liukkonen et al Acta Orthop 2024
- meta-analysis of 4 RCTs and 420 patients
- arthroplasty v trapeziectomy
- no difference in pain and function at one year
Trapeziectomy +/- ligament reconstruction and tendon interposition (LRTI)


Dorsal approach through 1st extensor compartment
Vumedi trapeziectomy dorsal approach video
Arthrex trapeziectomy dorsal approach + LRTI video
Dorsal incision at base of thumb over CMCJ
- protect sensory branches of superficial radial nerve
- first dorsal extensor compartment opened
- go between APL and EPB
- protect radial artery as it passes dorsally over snuff box
- open capsule and excise trapezium
Volar / radiopalmar approach (Wagner)
AO surgery reference radiopalmar approach to base of thumb
Youtube Wagner approach trapeziectomy video
Incision at base of thumb between dorsal and volar skin
- protect dorsal radial nerve sensory branches
- first extensor compartment dorsal
- reflect thenar muscles from base of first metacarpal in volar direction
- CMC capsulotomy
LRTI
Arthrex trapeziectomy and LRTI technique PDF
Vumedi dorsal trapeziectomy and LRTI with FCR video
Slip of FCR / palmaris longus / APL
- pass through drill hole in metacarpal to stabilize (ligament reconstruction)
- place ball of tendon in gap (tendon interposition) to prevent shortening of metacarpal into void
- +/- stabilize with K wire holding metacarpal reduced and out to length
Results
Saab et al Bone Joint Open 2021
- systematic review of 823 trapeziectomies
- satisfaction rate of 91% at mean 8 years
Arthroscopic partial trapeziectomy
Technique
Vumedi arthroscopic partial hemi-trapeziectomy video
Results
Edwards et al J Hand Surg Am 2010
- 23 Eaton Stage III patients treated with arthroscopic partial trapeziectomy
- 83% good results
CMC Arthrodesis
Indication
Young manual workers
Post traumatic arthritis
Disadvantages
Limited mobility of thumb - loss of abduction & adduction / unable to put palm flat on table
Nonunion
Prominent hardware
Risk of subsequent scapho-trapezium OA
Technique
Dorsal approach
- protect superficial radial nerve branches
- first extensor compartment between APL and EPB
- protect radial artery as it passes dorsally over STJ
- transverse incision capsule
- cut articular surfaces with saw
Position
- distal phalanx of thumb rests over middle phalanx of index finger when in a fist
- ensure can pinch grip with index and middle finger
- plate +/- bone graft
Results
Rizzo et al J Hand Surg Am 2009
- arthrodesis in 126 thumbs with mean 12 year follow up
- bone graft used in 70%
- 13% nonunion
- 7% revision arthrodesis / trapeziectomy
- 6% developed symptomatic ST OA
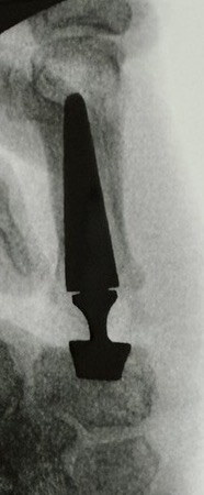
Arthroplasty


Indications
Stage III and IV disease
Low-demand patient
Options
Total joint arthroplasty
Spacer implants
Technique
Vumedi CMC total joint arthroplasty video
Results
Tchurukdichian et al J Hand Surg Eur 2020
- 10 year follow up of 95 total joint replacement (IVORY prosthesis)
- 95% survival rate
- 7% dislocation rate
- 5% revision for fracture or dislocation
Smeraglia et al Int Orthop 2022
- 112 patients with pyrocarbon implant with mean 5 year follow up
- 7 year survivorship 95%
- subluxation rate 17%
- dislocation rate 3%


