


Anatomy
Critical for Ulno-humeral stability
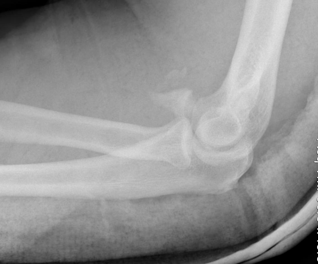
Coronoid process
- provides anterior buttress to ulno-humeral joint
- anterior capsule and brachialis attach to coronoid
- anterior band of the MCL attaches to coronoid distally and medially on sublime tubercle
Mechanism
Typically associated with elbow dislocations


Regan and Morrey classification of transverse coronoid fractures
Elbow stability related to size of coronoid fragment

| Type I | Type II | Type II |
|---|---|---|
| Small coronoid process fracture | 50% of coronoid process | > 50% coronoid process |
| Usually stable |
Capsular attachment Elbow unstable |
Capsule + MCL attachment Elbow unstable
|
![]() |
![]() |
![]() |
![]() |
![]() |
![]() |
O'Driscoll classification anteromedial coronoid facet fractures
| Type I | Type II | Type III |
|---|---|---|
| Transverse fractures | Anteromedial facet fractures | Basilar fractures |
| Lasso suture fixation |
Lasso suture fixation - small Medial buttress plate - large |
Dorsal +/- medial plate |
![]() |
![]() |
![]() |
Anteromedial coronoid facet fragment
- associated with varus posteromedial rotational force
- associated with tear of lateral ulna collateral ligament (LUCL)
- systematic review of anteromedial coronoid facet fractures
- 6% Type I, 62% Type II, 32% Type III
- 73% fixed with buttress plate
- 70% LUCL fixation
Operative Management
Approach
Skin incisions
1. Medial - for medial approach to coronoid
2. Lateral - for radial head / coronoid / LUCL
3. Universal posterior and make medial and lateral skin flaps - for medial and lateral approach
Approach options for coronoid fixation
- radial head arthroplasty - lateral approach through radial head
- olecranon fracture - through fracture bed
- medial approach - coronoid fixation without radial head fracture
Medial approach to coronoid fracture


AO surgery reference medial approach to coronoid
Vumedi Hotchkiss over the top coronoid fixation video
Vumedi FCU split coronoid fixation video
Vumedi Hotchkiss over the top coronoid fixation video
Vumedi medial approach to coronoid + lasso fixation + plate video
| Hotchkiss over the top | FCU split | Taylor and Scham |
|---|---|---|
|
Split flexor pronator mass - interval between FCU and palmaris longus - elevate pronator teres / FCR / palmaris longus - +/- detach from medial epicondyle - open capsule - detach brachialis from anterior coronoid process
|
Dissect out ulna nerve - follow into FCU - open two heads of FCU - elevate flexor pronator mass off capsule
|
Elevate entire flexor - pronator mass - subperiosteal elevation from ulna - posterior to anterior
|
| Access to tip of coronoid | Access to anteromedial facet | Access to base of coronoid |
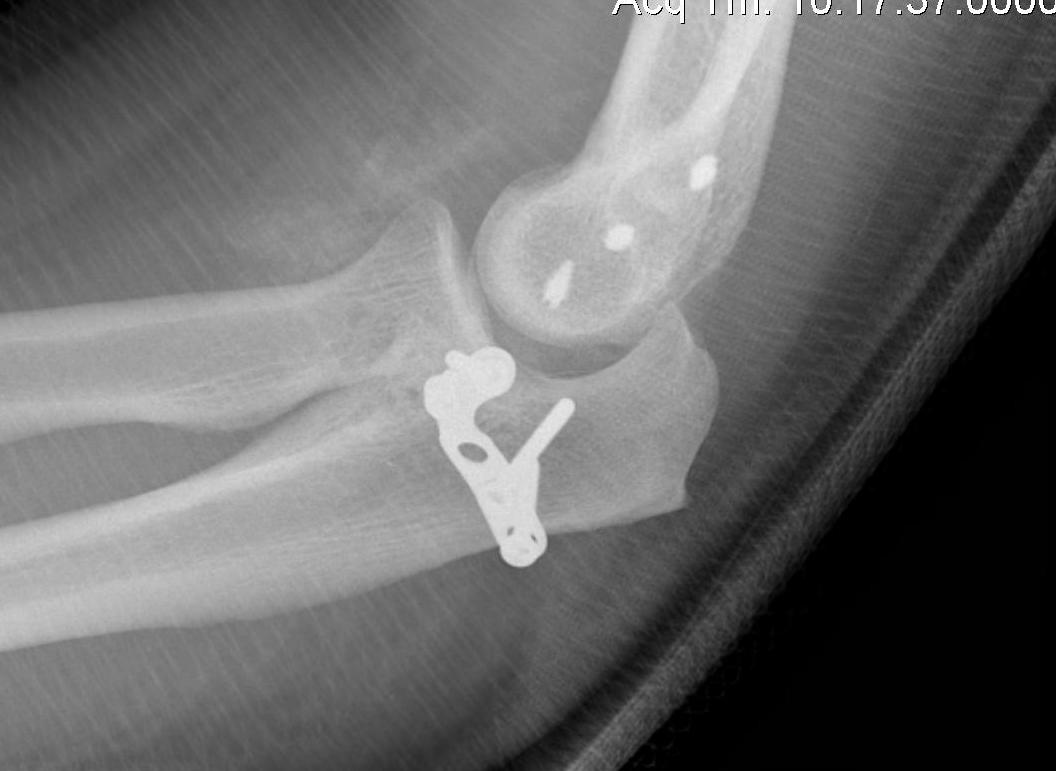
Fixation
AO surgery reference coronoid fixation
Lasso Suture bone + capsule - pass through drill holes in ulna and tie over button
Screw fixation - AP or PA
Buttress plate - medial approach to anteromedial fragment
Unrepairable - reconstruct with radial head / iliac crest / allograft
Medartis radial head and neck plating system
Acumed coronoid plating system


Approach through radial head, suture fixation and repair over button


Medial approach and screw fixation


Medial approach and buttress plate with LCL repair

Universal posterior approach with radial head replacement and medial approach with medial buttress plate



Medial approach and buttress plate for basilar fracture with olecranon fracture





