Primary Spinal Tumours

 

DDx

 

Primary

 

Benign

 

Osteoid Osteoma

Osteoblastoma

Osteochondroma

ABC

Hemangioma

Giant Cell tumour

EG

 

Malignant

 

Chordoma

Ewings

Osteosarcoma

Chondrosarcoma

Lymphoma

Multiple myeloma

 

Secondary

 

Leukaemia 

Prostate / Breast / Lung / Thyroid / Kidney

 

DDx by Site

 

Posterior elements

- OO, OB, ABC

- chordoma / osteosarcoma

 

Vertebral body

- giant cell

- hemangioma

 

Sacrum

- chordoma

- Ewing's

 

Benign Spinal Tumours

 

ABC

 

Patient in teens or twenties

Night pain

Posterior elements

 

Treatment

 

Embolisation

Surgical resection

- complete to prevent recurrence

 

Wong et al Paediatr Radiol 2022

- sclerotherapy in 14 patients with cervical spine ABC

- success in 12 / 14 patients

- one spasm of cerebellar artery, causing infarct

- 2 patients required surgery

 

Giant cell tumour

 

30 - 40 years

In sacrum

Present with pain

May have bladder and bowel dysfunction

 

Treatment

 

Wide excision

- may get incontinence

Adjunctive radiotherapy

Now using serial embolisation

 

Hemangiomas

 

Hemangioma Spine

 

Very common

- usually asymptomatic and incidental finding

- vertebral body or posterior element

- thoracic spine

 

Xray

- striations

 

MRI

- High signal on T2

 

Treatment

 

Indicated for collapse or neurology

Surgical excision

Embolisation

Radiotherapy

 

Osteoid Osteoma

 

Male between 20 - 40

 

Posterior elements lumbar spine

- < 2 cm

 

Can cause scoliosis

- in apex of convexity

 

Treatment

 

Surgical Removal / High frequency radioablation

Often scoliosis will then resolve if not too long standing

 

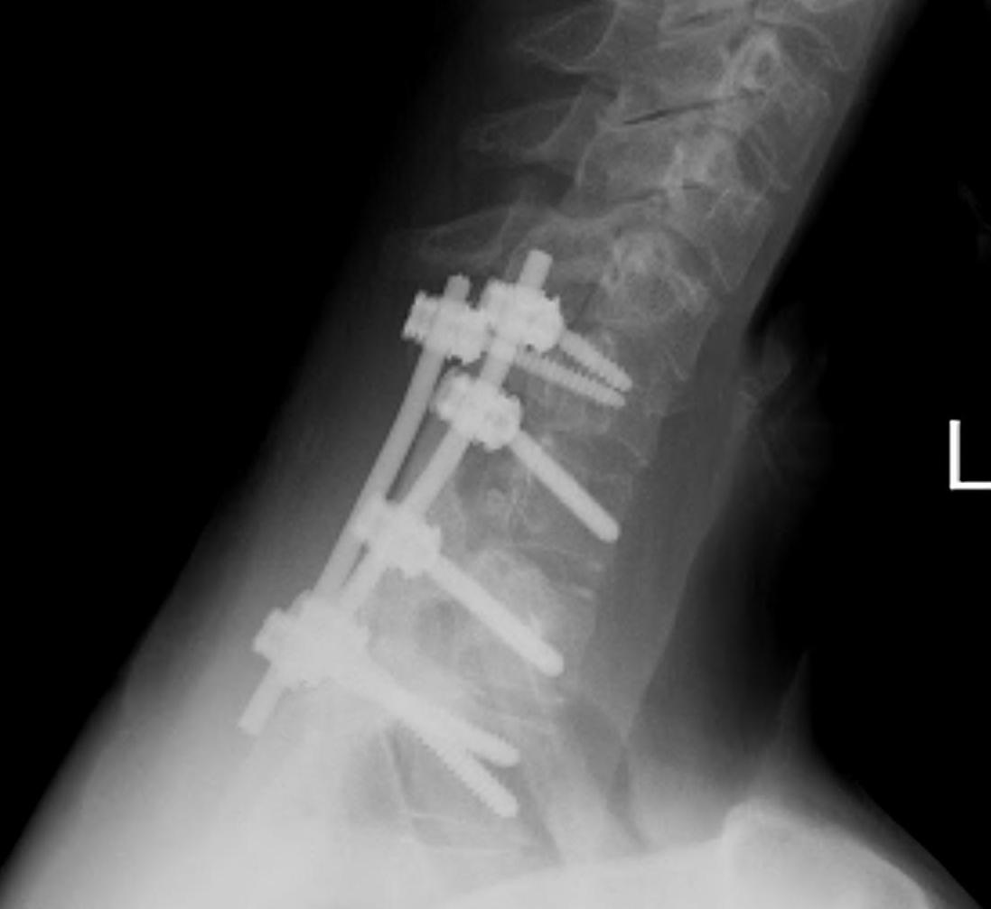
Osteoblastoma

 

Osteoblastoma Spine0001Osteoblastoma Spine0002Osteoblastoma Spine0003

 

Similar histology to OO

- > 2 cm

 

Much more aggressive / less common

 

Found in the posterior elements

- male teens, twenties

 

Treatment

 

Osteoblastoma Exision and Fusion0001Osteoblastoma Exision and Fusion0002

 

Wide excision +/- posterior fusion

 

Can recur

- life long follow up

 

Eosinophilic Granuloma

 

Vertebroplanar in young child < 10

 

Treatment

 

Self limiting

- will reconstitute up to 50% vertebral height

 

Primary Malignant Tumours

 

Chordoma

 

Rare slow growing malignant tumours

- arise from primitive nervous system

- slow to metastasise

 

50% sacrococcygea

 

Elderly patients

 

Treatment

 

Surgical Resection

- very difficult

 

Adjunctive Radiotherapy

 

Life expectancy 10 - 15 years after diagnosis

 

Osteosarcoma

 

Uncommon

Vertebral body

 

Treatment

 

Radical excision

Adjunctive radiotherapy and chemotherapy

 

Chondrosarcoma

 

Middle age or older

Males

Patient with Maffucci / Ollier's

Treatment

 

Wide surgical resection

Overall prognosis is poor as this is difficult

 

Lymphoma

 

vert lymphoma 1vert lymphoma 2

 

Can be solitary lesion

Anterior element

 

Treatment

 

Radiotherapy and Chemotherapy

Surgery if unstable / deformity

 

Ewing's

 

50% in sacrum

Young male in teens

 

Treatment

 

Surgical resection

Radiotherapy and chemotherapy

20% 5 year survival

 

Multiple Myeloma / Plasmocytoma

 

50 - 80 years

 

Treatment

 

Radiotherapy and chemotherapy

Surgery for instability

 

Spinal Cord Tumours

 

DDx by Location

 

Extramedullary

- neuroblastoma

- ganglioneuroma

- Ewings sarcoma

- leukaemia

- lymphoma

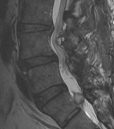
- synovial cysts

 

Spine Synovial Cysts MRI

 

Extramedullary Intradural

- dermoid

- epidermoid

- meningioma

- neurofibroma

 

Intradural

- astrocytoma

- ependymoma

- lipoma

 

Meningioma

 

Slow Growing

F:M 9:1

Intra-dural / extramedullary

 

Management

- intradural resection

- RTX for residual tumour which is growing

 

Thoracic Meningioma

 

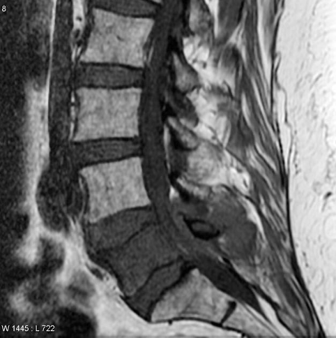
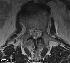
Ependymoma

 

Primary glial tumour of spinal cord

- intramedullary

- tend to be benign in spinal cord (c.f. intracranial

 

Ependymoma Conus MRI SagittalEpendymoma Conus Axial MRI

 

Management

- debulking

- radiotherapy