



Epidemiology
Isolated medial malleolar fractures 3% of ankle fractures
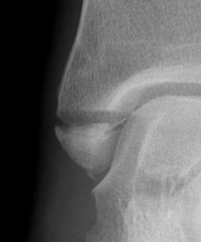
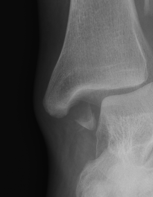
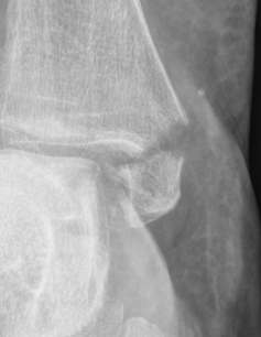
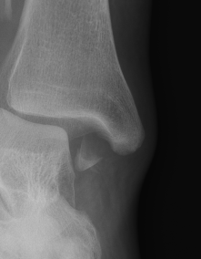
Herscovici Classification

| Type A | Type B | Type C | Type D |
|---|---|---|---|
| Avulsion fracture | Between tip and plafond | At level of plafond | Vertical fracture |
| Non operative |
Screw/s or TBW |
Screw/s or TBS | Buttress plate |
Management
Isolated medial malleolar fractures
Cast versus surgery
Lokerman et al J Foot Ankle Surg 2019
- systematic review of 18 studies and 2500 patients
- isolated medial malleolar fractures
- ORIF: nonunion 1.7%
- cast: nonunion 3.5%
Cast
- 57 isolated medial malleolar fractures treated in a cast
- mean displacement 3.8 mm
- 2/57 (3.5%) nonunions
- both had 3 - 4 mm displacement, required ORIF + bone graft
Displacement > 2 mm
Hanhisuanto et al Foot Ankle Surg 2017
- isolated medial malleolar fractures
- 60 treated with surgery: mean displacement 2 mm
- 53 non operative: mean displacement 1 mm
- worse outcomes with non operative management > 2 mm displacement
Bimalleolar / Trimalleolar fractures
Carter et al JAMA Netw Open 2024
- RCT of operative versus nonoperative medial malleolus
- 144 patients with ORIF fibular +/- posterior malleolus
- medial malleolus in satisfactory position
- nonunion: fixation 0%, non operative 20% (1/13 required surgery)
Operative management
Indications
> 2 mm displacement
Bimalleolar / trimalleolar fractures
Approach
Anteromedial / direct medial
Incision centered over distal aspect of medial malleolus
Protect saphenous nerve and great saphenous vein
Open anterior ankle capsule to visualize articular reduction
AO surgery reference anteromedial approach ankle
Posteromedial
AO surgery reference posteromedial approach ankle
Percutaneous fixation
Indicated in complex fractures / poor skin / poor host
Weinraub et al J Ankle Foot Surg 2017
- 490 medial malleolar fixation
- 6.5% fixed percutaneously
- at 8 weeks, open reduction more likely to have united
- thought to be due to interposition of soft tissue / periosteum
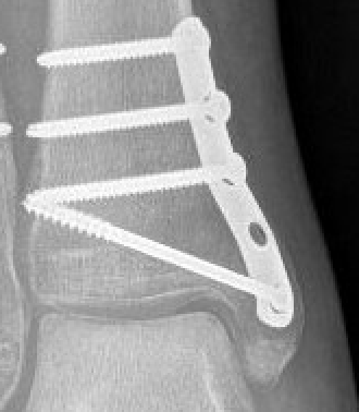
Fixation options
| Screw fixation | Tension band wire | Buttress plate |
|---|---|---|
| Type C: transverse fractures |
Type B: too small for two screws |
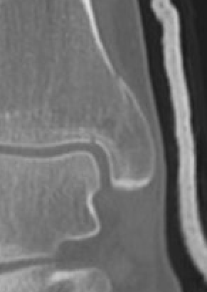
Type D: Vertical fractures |
![]() |
![]() |
![]() |
![]() |
![]() |
![]() |
Screw fixation
AO surgery reference medial malleolus lag screws
Tension band wire
AO surgery reference medial malleolus cerclage wire
Results
Two versus one screw

Buckley et al J Orthop Trauma 2018
- RCT of single versus double screw fixation
- 140 patients
- no difference in outcomes or complications
Unicortical versus bicortical screws
Ricci et al J Orthop Trauma 2012
- comparison of partially threaded screws to long bicortical screws
- 92 patients
- increased evidence of screw loosening with partially threaded screws
Fully threaded versus partially threaded screws
Afifi et al Eur J Orthop Surg Traumatol 2024
- partially threaded versus fully threaded cortical screws
- RCT of 68 patients with isolated medial malleolus fractures
- no difference in outcome
Complications
Non-union






