



Issues
Poor bone
Poor skin
Poor wound healing
Poor union rates




Options
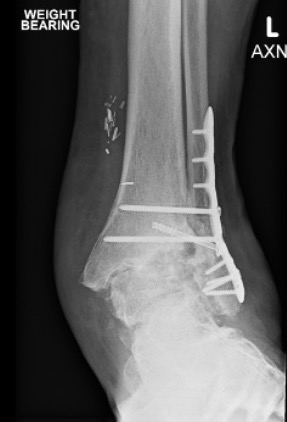
ORIF
- poor bone stock
- wound issues
- delayed weight bearing
Fibular nail
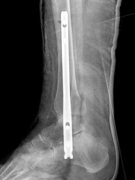
Hindfoot nail
- early weight bearing
- minimally invasive
- violates subtalar and ankle joint
External fixation
Results
ORIF
Aigner et al Foot Ankle Int 2017
- 237 ankle fractures > 65 years treated with ORIF
- complication rate 29%
- most common wound healing and wound infection
Fibular nail
- RCT 100 patients over 65 fibular nail versus plate
- significantly fewer wound complications with nail
- no difference in outcome
Hindfoot nail
- systematic review of hindfoot nail for fragility fractures
- union 90 - 100%
- allowed early rehabilitation and restoration of function
- RCT of ORIF v hindfoot nail for fragility fractures in 87 patients
- lower rate of complications with nail (8% v 33%)
- shorter hospital stay with nail
- no difference in outcome
External fixation
Hennings et al Eur J Orthop Surg Traumatol 2021
- 16 patients mean age 74 treated with triangular external fixation
- patients did better with addition of some percutaneous screws
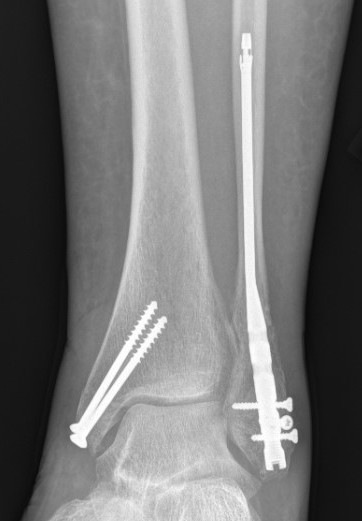
ORIF
Technique
Locking plates
Multiple syndesmotic screws


Hindfoot nail
Indications
Fragility fracture / osteoporosis
Compound wound
Poor skin
Co-morbidities - diabetes, smoking




Technique



Smith&Nephew Trigen Hindfoot Nail PDF
Smith&Nephew Panta2 TTC Arthrodesis nail PDF
Synthes Expert Hindfoot Arthrodesis nail PDF
Insertion point
- in line with 2nd metatarsal / center of heel pad
- junction of posterior 2/3 and anterior 1/3 heel
- should pass through anterior aspect posterior subtalar joint
- posterior to lateral plantar artery and nerve
Screw fixation
- distal screw fixation in calcaneum +/- talus with jig
- compression
- proximal screws medial to lateral
Fibular nail




Technique