

Etiology
1. High grade partial tears / avulsions - previous injury
2. Proximal hamstring tendinopathy
Symptoms
Pain lower gluteal region
Worsened by
- sprinting
- prolonged sitting
Examination
Tender lateral ischial tuberosity
Pain with resisted knee flexion
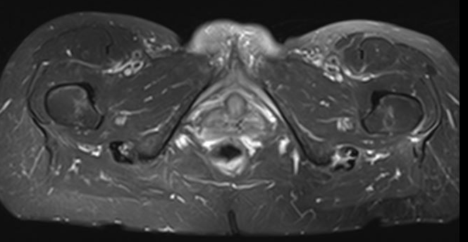
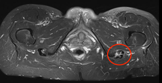
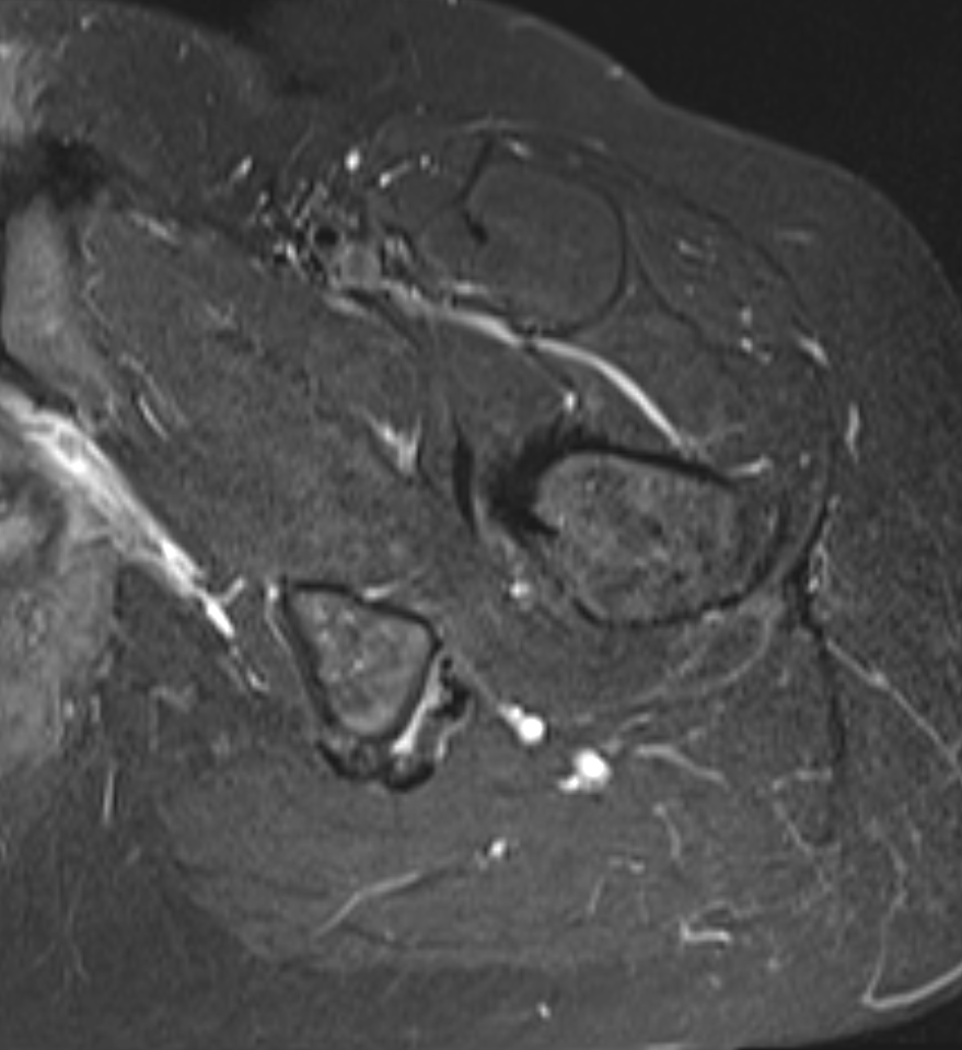
MRI
Peritendinous edema / low grade partial tears / tendinopathy




High grade partial tears




DDx
Ischiofemoral impingement
Piriformis syndome
Lower back pain / SIJ pain
Management
Nonoperative
Eccentric exercises
Shockwave therapy
- 40 patient RCT
- shockwave versus physiotherapy
- 50% reduction in pain in 85% of shock wave group
- 50% reduction in pain in 10% of therapy group
Cortisone
Nicholson et al Orthop J Sports Med 2014
- 18 athletes treated with guided cortisone
- at mean of 21 months, sporting activity increased from 30% to 70%
PRP
- 22 patients treated with leucocyte rich PRP
- 68% had < 50% reduction in pain
Operative
High grade partial tears / avulsions
Technique
Open approach to proximal hamstring
- protect sciatic nerve
- identify high grade partial tear
- peel off
- debride and repair


Elevate high grade tear with Cobb, exposing bare ischial tuberosity (*)


Post suture anchor repair
Vumedi open partial proximal hamstring repair
Vumedi arthroscopic partial proximal hamstring repair
Results
- 41 patients with chronic incomplete proximal hamstring injuries
- failure 6 months nonoperative care
- 95% satisfaction
- improvement in strength, function and pain
Proximal hamstring tendinopathy
Technique
Debridement, semimembranosus release, and sciatic nerve neurolysis
Approach to proximal hamstring
- identify hamstring muscle belly and conjoint tendon
- sciatic nerve lateral to conjoint
- semimembranosus anterior and medial to conjoint
- release semimembranosus tendon near insertion
- suture to conjoint tendon



Identify sciatic nerve lateral and semimembranosus tendon medial to conjoint muscle belly and tendon


Divide semimembranosus tendon and suture to conjoint tendon (star - sciatic nerve, # - conjoint tendon)
Results
Bernazzo et al J Orthop Traumatol 2013
- 17 high level athletes treated surgically
- returned to sport at 4.4 months post surgery
- excellent results in 88%, good results in 12%
- 103 cases with sciatic nerve release, semimembranosus release (+ suture to conjoint)
- 80/90 (89%) returned to pre-sporting activity level