


Epidemiology
Women > men
4th - 6th decade of life
Aetiology
Acute trauma
Degenerative tears - 60% of > 70 year old patients have partial tears
Hip osteoarthritis
Hendry et al Arch Orthop Trauma Surg 2012
- 835 consecutive THA
- 25% had abductor mechanism tears
Post THA via anterolateral approach
Anatomy

| Gluteus medius | Gluteus minimus | |
|---|---|---|
| Origin | Iliac crest from ASIS to PSIS | AIIS to PIIS along superior gluteal line |
| Insertion |
Greater trochanter - superoposterior facet - lateral facet |
Greater trochanter - anterior facet - under gluteus medius Capsule |
| Innervation | Superior gluteal nerve | Superior gluteal nerve |
| Action |
Anterior & middle components vertical / aid in initiating hip abduction Posterior component is horizontal and stabilizes the hip during gait |
Muscle is horizontal and stabilizes the hip joint during gait
|
Symptoms
Lateral pain
Limp
Trendelenburg gait
Signs
Hip lag sign
- patient on sign, asked to hold the affected leg abducted
30 second single leg stance
- lateral hip pain
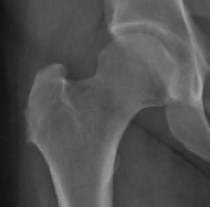
Xray

Greater trochanter cortical irregularities
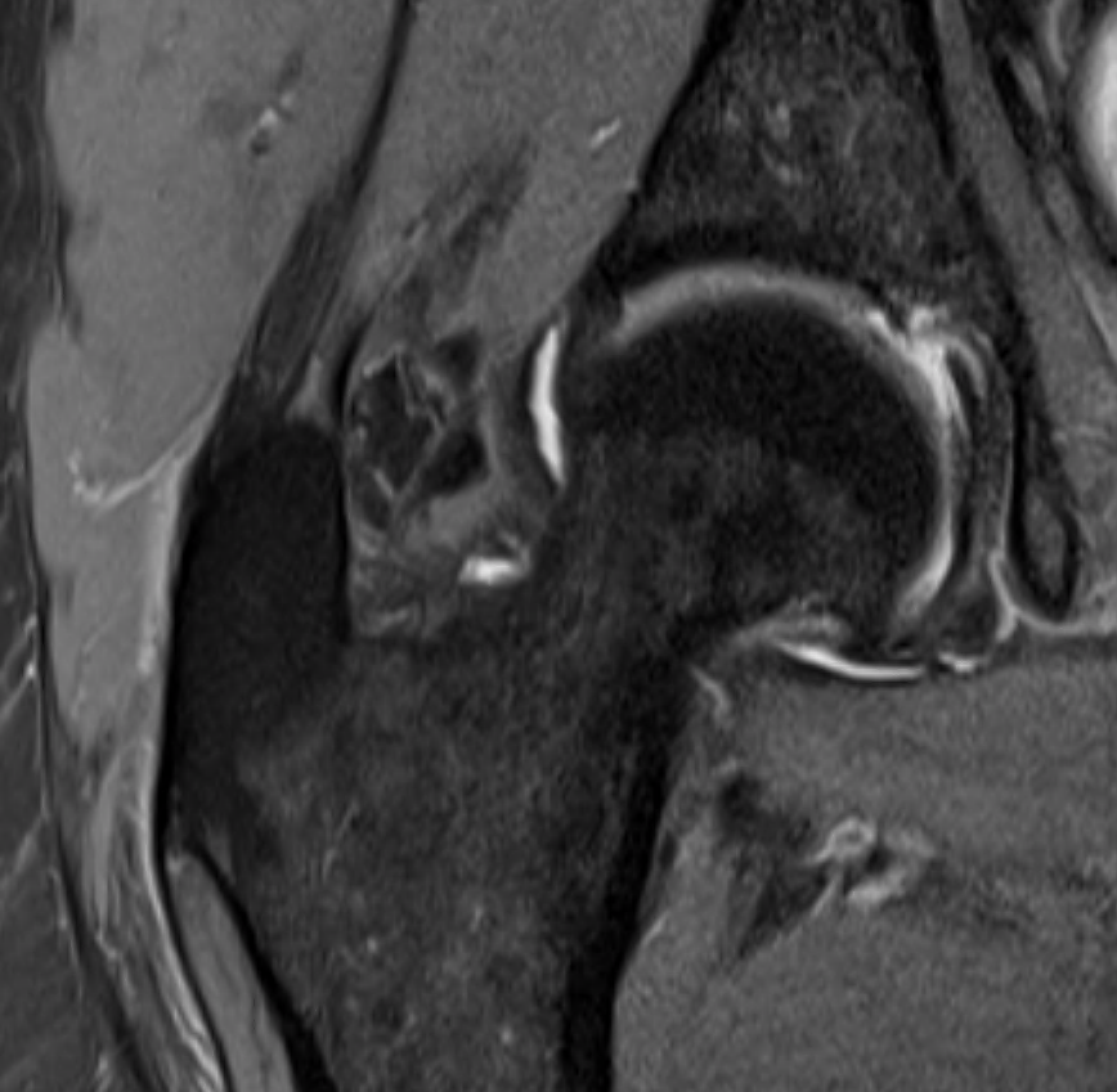
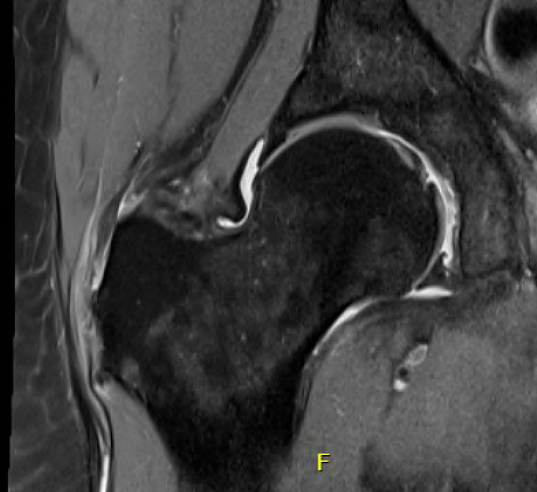
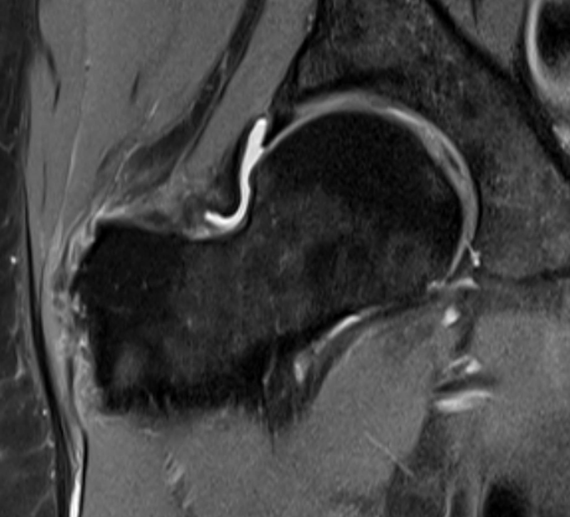
MRI

Intact gluteus medius insertion



Torn gluteus medius and minimus



Acute tear gluteus medius
Non operative Management
Physiotherapy
Cortisone
Platelet rich plasma
Shock wave therapy
Operative Management
Options
Open v Arthroscopic
Longstaffe et al J ISAKOS 2021
- systematic review of open v arthroscopic repair of abductor tendon tears
- 22 studies with 611 hips
- 78% of cases were partial tears
- complication rate 1% endoscopic versus 8% open
- retear rate 3% endoscopic versus 4% open
Open gluteus medius repair
Technique
Arthroscopy techniques open double row G medius repair PDF





Double row open gluteus medius repair
Results
Makridis et al Orthop Traumatol Surg Res 2014
- open double row repair in 67 patients followed for 4.5 years
- 16% failure rate
- increased risk with muscle atrophy
Arthroscopic gluteus medius repair
Technique
Results
Parker et al. Orthop Journal Sports Med 2020
- systematic review and meta-analysis of arthroscopic abductor tendon repair
- ITB split versus ITB sparing
- 13 studies
- improved outcomes and reduced failure rate with ITB split
- however, ITB sparing patients tended to be younger
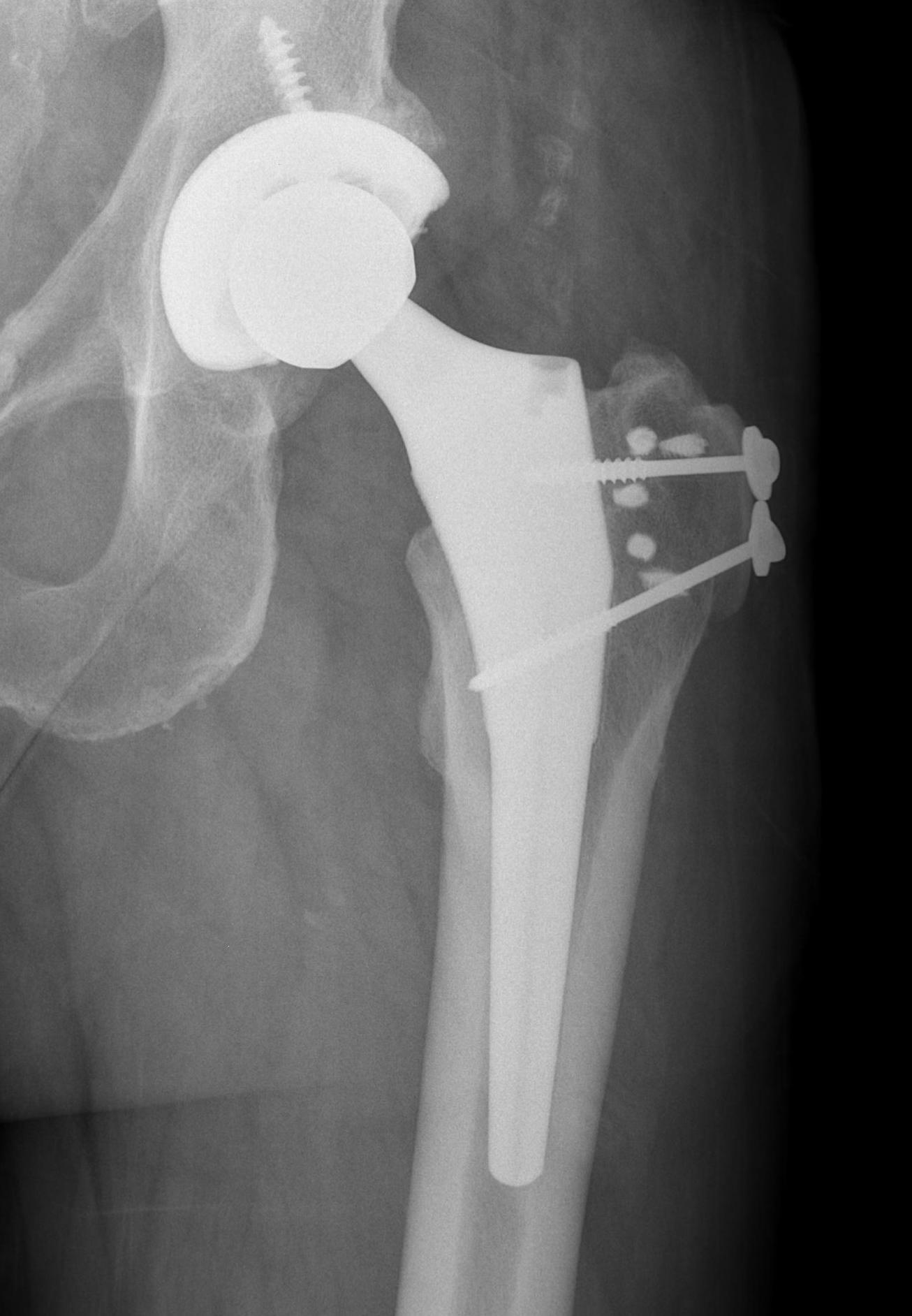
Post Total Hip Arthoplasty
Miozzari et al J Arthroplasty 2010
- late abductor repair in 12 patients following transgluteal THA
- 25% failure rate
Reconstruction
Indication
Chronic, retracted, atrophied tears
Typically seen after total hip arthroplasty
Options
Synthetic ligament
Collage patch
Allograft
Gluteus maximus transfer


Patella tendon allograft reconstruction of chronic gluteus medius tear