Atypical Femur Fractures

 

Atypical FFCT AFF

 

Characteristics

 

Atypical femoral fractures (AFFs)

- femoral stress fractures

- transverse

- begin laterally

- associated with lateral thickening initially

- caused by minimal or no trauma

 

Risk factors / associations

 

1. Medications

- prolonged suppression of bone remodelling by medications

- > 5 years bisphosphonates

- Autoimmune disease and long standing glucocorticoid use

- Denosumab / Romosozumab for osteoporosis

 

2. Lower limb alignment

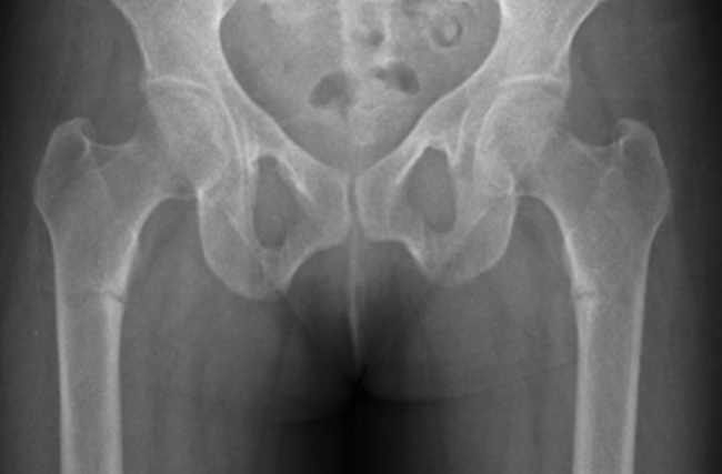
- associated with bilateral AFFs

- head neck varus

- lateral femoral bowing

 

Oh et al J Orthop Sci 2014

- 13 cases of AFFs in Asian women

- 12/13 had significant lateral femoral bowing

- 7/13 on bisphosphonates

- only 3/13 had taken bisphosphonates for > 5 years

 

Site

 

Subtrochanteric most common

Lateral femoral shaft less common

 

Shane et al J Bone Miner Res 2014

- bilateral 28%

- mandatory careful inspection of contralateral femur

 

Bisphosphonates

 

Black et al NEJM 2020

- reduction of hip fracture risk v risk of atypical femur fracture

- 10 year period

- 196,000 women over 50 years old - 277 atypical femur fractures

- increased risk in Asian race

- Caucasian women over 3 years: prevented 149 hip fractures and caused 2 atypical femur fractures

- Asian women over 3 years: prevented 91 hip fractures and caused 8 atypical femur fractures

 

Dell et al Osteoporosis International 2018

- recommendations for drug holidays

- consider femur DEXA scan or other imaging every 3 - 5 years

- look for any focal or generalised lateral femoral cortical changes

 

Clinical

 

History of thigh pain

 

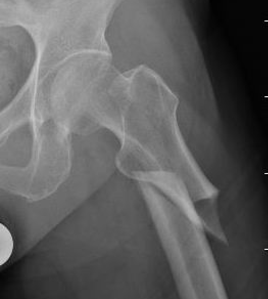
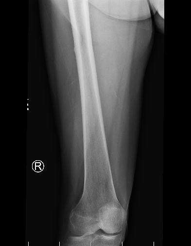
Xray

 

Periosteal stress reactions / beaking

 

Thickening of the lateral cortex

- tension side

- most common in the subtrochanteric region

- can be in shaft

 

CT / MRI should be performed to exclude incomplete fracture

 

Atypical femur fracture xrayAtypical femur fracture CTAtypical femur fracture CT 2

Lateral beaking subtrochanteric region

 

Lateral beaking femoral shaft

 

Fractures

 

Transverse fractures

- begin laterally

- minimal comminution

- incomplete versus complete

 

Atypical FFAFF incomplete

Incomplete subtrochanteric AFF

 

Stress Fracture Lateral

Incomplete femoral shaft AFF / dreaded black line

 

Femoral stress fracturecomplete AFF

Complete AFF

 

Diagnosis

 

2013 ASBMR task force criteria of atypical femoral fractures

 

Major Criteria Minor Criteria

Minimal or no trauma

- fall from standing height or less

Generalized cortical thickening

Fracture is transverse and originates from lateral cortex

- incomplete fractures lateral cortex only

- complete fractures may have medial spike

Prodromal symptoms such as groin or thigh pain
Minimal comminution Delayed fracture healing
Localised periosteal thicking or beaking at lateral cortex  

 

Management

 

Nonoperative

 

Natural history

 

Png et al Osteoporosis Int 2019

- non operative treatment

- lateral thickening: 21/115 (18%) progressed to incomplete fracture

- incomplete fracture (black line): 14/35 (40%) progressed to complete fracture

 

Medical

 

Cease bisphosphonates

Calcium and Vitamin D

 

Salamah et al Arch Orthop Trauma Surg 2024

- systematic review of use of Teriparatide (recombinant PTH) for AFFs

- improved healing times and union rates

 

Surgery

 

Indications

 

Complete fracture

 

Incomplete fracture / lateral thickening

- high risk

- continued need for steroids

- bowing / varus necks

- significant femur / groin pain

- radiographic progression

- failure to improve with nonoperative care

 

Options

 

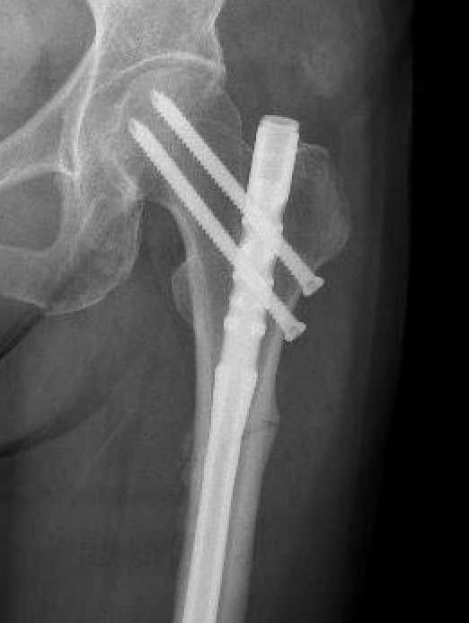
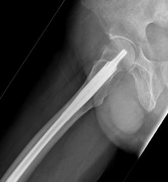
1. Cephalomedullary nail

- be careful of bowed femurs in Asian women

 

2.  Lateral plate and screws

- high failure rate

- consider in setting of severe bowing

 

Nail aptypical 1Nail atypical 2

 

Femoral stress fractureFemoral Stress Fracture IMN

 

complete AFFNail AFF

 

Results

 

Koh et al. Bone Joint J 2017

- systematic review of 77 studies and 834 AFFs

- incomplete fractures: nonoperative treatment failed 47%

- incomplete fractures: surgery achieved union in 97%

- complete fractures: IMN nonunion rate 12.9%

- complete fractures: plate fixation nonunion rate 31%

- must discontinue bisphonates

- mean time to union 7 months post surgery

 

Compression Stress Fractures

 

Medial femur

 

Rare

- associated with osteomalacia

- compression side

- incomplete can heal

- nail complete

 

Stress Fracture MedialBilateral medial stress #