Talar neck complications

 

 

Talus AVN 1talus nonunionPantalar fusion

 

Complications

 

Infection

Nonunion

Malunion

Osteoarthritis

Avascular necrosis

 

Infection

 

Halvorsen et al J Foot Ankle Surg 2013

- systematic review

- overall incidence 21%

- increased with open fractures

 

Nonunion

 

talus nonuniontalus nonunionTalus nonunion

 

Incidence

 

Alley et al J Orthop Trauma 2024

- 800 talar neck fractures

- 9% nonunion

 

Management

 

No collapse, AVN, or OA - bone graft +/- revision ORIF

Collapse, AVN or OA - arthrodesis +/- arthroplasty

 

Results

 

Dhillon et al Injury 2024

- 8 patients with talar neck nonunion

- ORIF + bone graft

- 5 patients also underwent subtalar fusion

- 7/8 united

- 1/8 progressive collapse - pantalar fusion

 

Mal-union

 

Varus malunion

 

Shortening of medial neck with varus secondary to medial comminution

 

Cavo-varus foot

- creates cavus foot with supination

- walk on lateral border of foot

- predispose to premature osteoarthritis

 

Options

 

No collapse or OA - medial opening wedge talus osteotomy

Collapse or OA - arthrodesis / arthroplasty

 

Results

 

Suter et al CORR 2013

- 7 patients with varus malunion

- talus medial opening wedge osteotomy for malunion technique

- one osteotomy nonunion treated with fusion

 

Osteoarthritis

 

Incidence

 

Most common complication

 

Jordan et al J Foot Ankle Surg 2017

- systematic review of incidence of subtalar OA

- Type I: 0%

- Type II: 54%

- Type III: 46%

- Type IV: 45%

 

Management

 

Subtalar fusion +/- pan talar fusion depending on location of OA

 

Avascular necrosis

 

Incidence

 

Jordan et al J Foot Ankle Surg 2017

- systematic review of incidence of AVN

- Type I: 0%

- Type II: 16%

- Type III: 39%

- Type IV: 55%

 

Risk factors

 

Alley et al J Orthop Trauma 2024

- 800 talar neck fractures

- increased risk of AVN with increasing severity of fracture / smoking / age / BMI / dual approaches

 

Hawkin's sign

 

Subchondral lucency under medial talar dome on xray

- appears 6 - 12 weeks post injury

- indicates vascularity

- presence excludes AVN

 

Natural history

 

Some AVN will revascularize without collapse over 2 years

Many patients asymptomatic

 

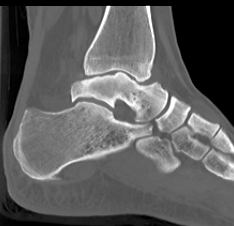
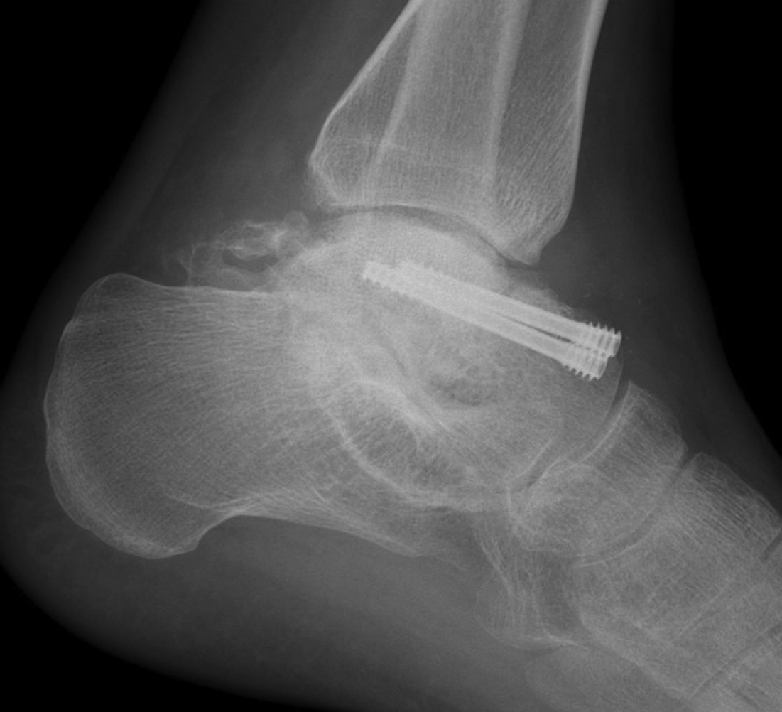
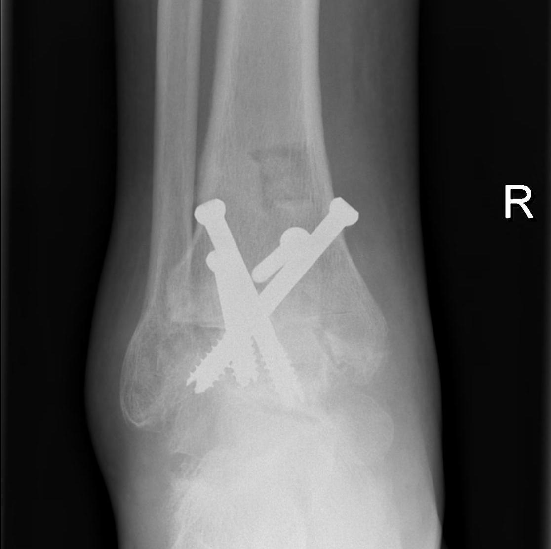
Xray

 

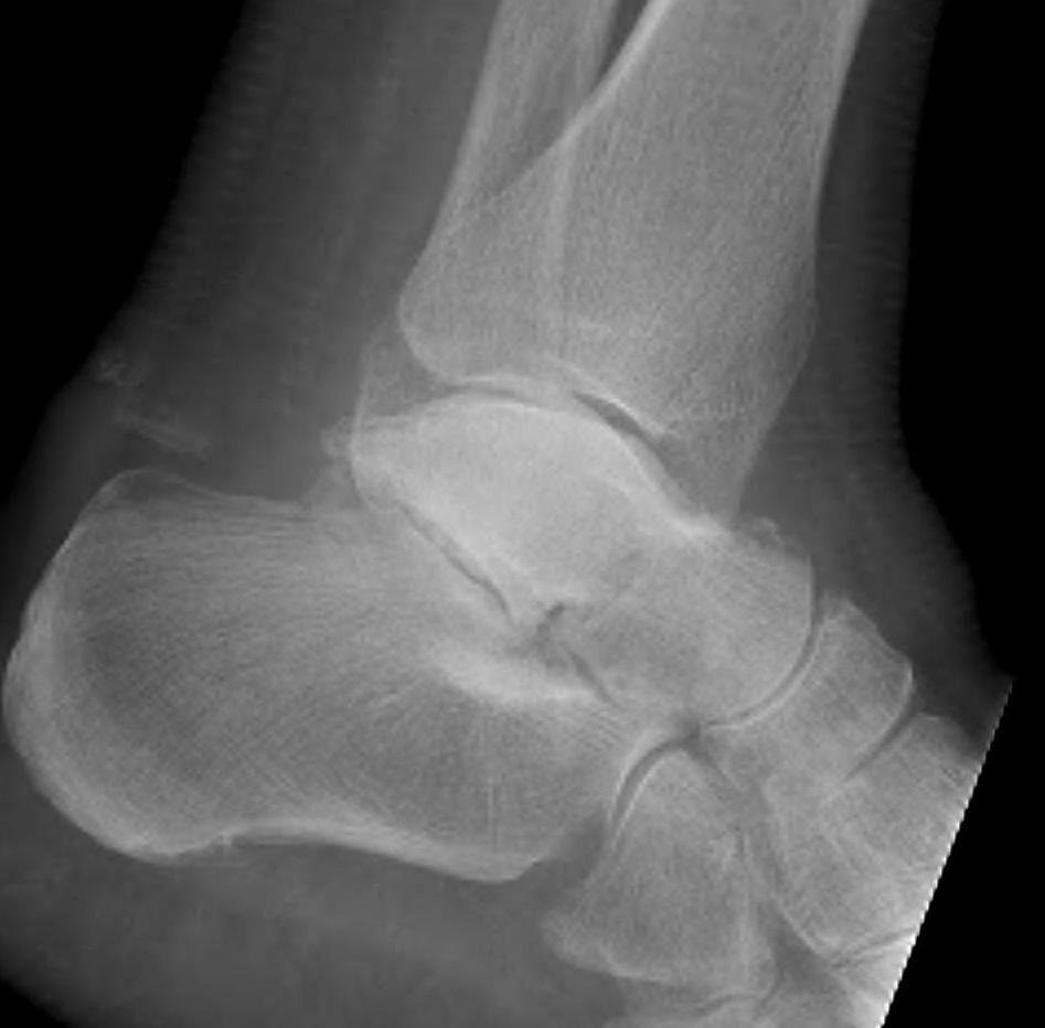
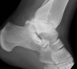
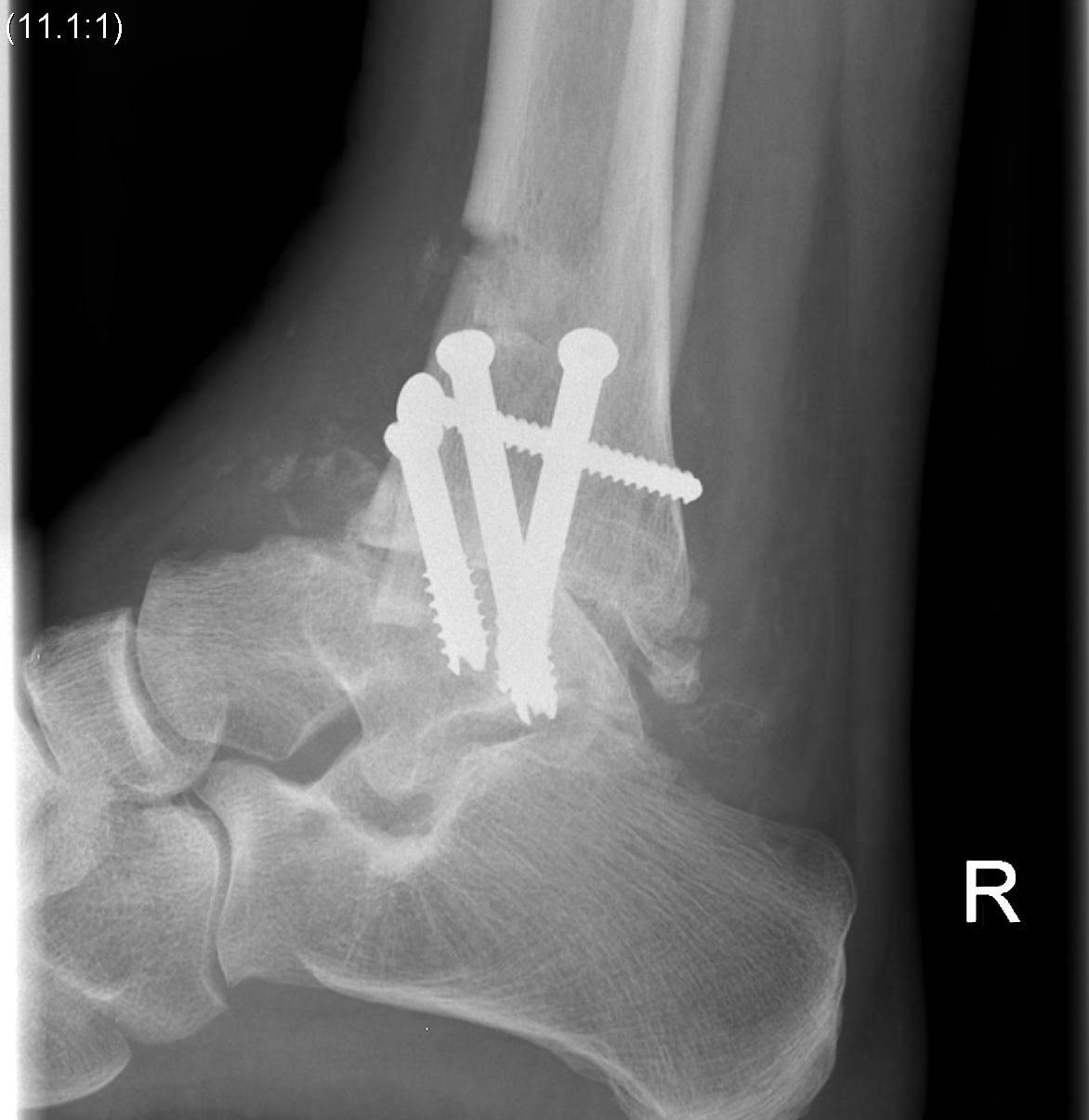
Talus AVN Post ORIFTalus AVN 1Talus AVN 2

 

Talus AVNtalus avn

 

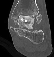
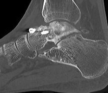
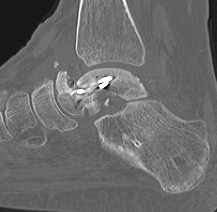
CT

 

Talus ACN CT 1Talus AVN CT 2

 

MRI

 

Talus AVN MRI

 

AVN without collapse

 

Options

 

Non weight bearing - unclear if affects outcome

 

Shock wave therapy

 

Bisphosphonates

 

AVN with collapse and OA

 

Issue

 

Necrotic talus with collapse and bone loss

- fusion difficult

- total ankle replacement likely contra-indicated due to poor talus bone stock

 

Options

 

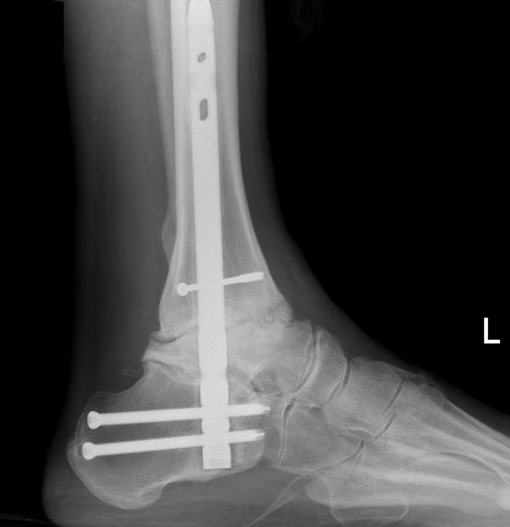
Arthrodesis

- Blair fusion - sliding tibial bone graft and tibio-talar fusion

- tibio-talar-calcaneal (pantalar) fusion with hindfoot nail

- talar excision + tibio-calcaneal fusion with Ilizarov frame and tibial lengthening

 

Arthroplasty

- partial talus replacement

- total talus replacement

- combined total talus replacement and total ankle replacement

 

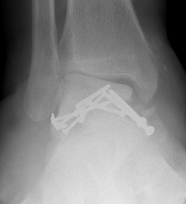
Pantalar fusion with hindfoot nail

 

talus avntalus AVNPantalar fusion

 

Blair fusion

 

Concept

- excise necrotic talar body

- preserve talar neck

- sliding anterior tibial bone graft

- fill void with bone graft

 

BlairblairAnkle Blair Fusion LateralAnkle Blair Fusion AP

 

Ilizarov Tibio-Calcaneal Fusion 

 

Concept

- excise talus

- tibio-calcaneal fusion

- leg 3 cm short

- Ilizarov frame

- proximal corticotomy and lengthening

 

Total talar replacement

 

Issues

 

Dislocation

Instability

Degenerative joint changes of ankle and subtalar joint

 

Technique

 

Custom prosthesis based on CT of contralateral talus

 

JBJS Total talar replacement video

 

Results

 

Bischoff et al Foot Ankle Spec 2023

- systematic review of total talar replacement

- 20 articles and 160 cases

- average follow up 3 years

- complication 9%

- some improvement in functional outcomes

- mild improvement in ROM

- one amputation for pain and deformity