


Epidemiology
Repetitive plantar flexion
- compression of structures between posterior tibia and calcaneus
- soccer players, ballet dancers, cricket, volleyball, basketball
Cause
Os trigonum - non fused talus ossicle
Steida's process - elongated lateral process of the talus
FHL tenosynovitis
Synovitis / capsule impingement
Symptoms
Deep posterior ankle pain caused by plantar flexion of the ankle joint
Examination
Plantar flexion test
- posterior ankle pain with forced plantarflexion
- pain anterior to tendo achilles
Pain with resisted FHL
Differential diagnosis
Tarsal tunnel syndrome
- neurological symptoms
http://www.boneschool.com/lower-limb/foot-and-ankle/miscellaneous/tarsal-tunnel-syndrome
Os trigonum / Stieda's process
Impinge against plafond with forced plantarflexion
Can cause FHL tenosynovitis
| Os Trigonum | Stieda's process |
|---|---|
|
Non fused talus ossicle Secondary center of ossification of talus lateral to groove for FHL |
Elongated lateral process of the talus |
|
Rafare et al Surg Radiol Anat 2024 - systematic review of 17,000 ankles - incidence of os trigonum 10% |
Kalbouneh et al International J Morphology 2021 - 1500 ankle CT - Stieda's process / elongated lateral tubercle: 26% - os trigonum: 21%
|

Variations of posterolateral tubercle of the talus from Kalbouneh et al International J Morphology 2021: License CC BY-NC 4.0
Kalbouneh et al International J Morphology 2021
- 1500 ankle CT
- Type 1: absent lateral tubercle 7%
- Type 2: normal lateral tubercle 46%
- Type 3: Stieda's process / elongated lateral tubercle 26%
- Type 4: os trigonum 21%
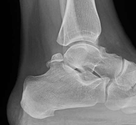
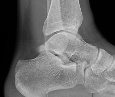
Xray


Os trigonum

Stieda process - elongated lateral process of talus
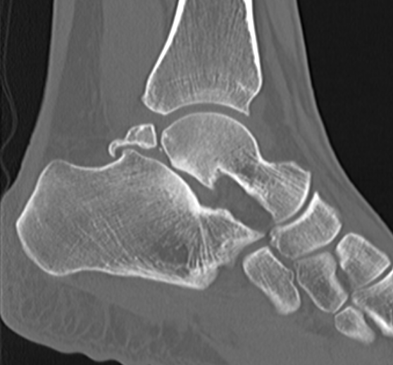
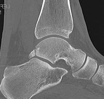
CT


Os trigonum
Fractured Stieda process


Os trigonum with osteochondral fracture posterior tibia
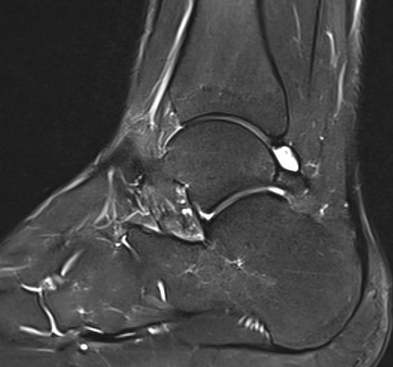
MRI
Findings
- synovitis over posterolateral process talus
- fluid in sheath about FHL
- edema around os trigonum
- edema posterior tibia bone
- thickened posterior capsule


Os trigonum FHL tenosynovitis with posterior ankle joint soft tissue

Stieda's process with ankle joint effusion


Management
Non Operative
Options
Physiotherapy
US guided cortisone and local anesthetic
Heel lifts
Operative
Goals of surgery
Remove os trigonum / debride Stieda's process
Release FHL
Options
Open FHL release and os trigonum excision
Endoscopic FHL release and os trigonum excision
- RCT of open versus endoscopic excision os trigonum in 50 athletes
- no difference in outcome
- faster return to sport with endoscopic:
- lower complication rate with endoscopic: 4 v 23%
- systematic review of treatment posterior ankle impingement
- no difference in outcomes
- open: 91% good or excellent results, 11 weeks return to sport
- endoscopic: 86% good or excellent results, 9 weeks return to sport
- increased minor complications with open
Open FHL release and os trigonum excision
Vumedi open excision os trigonum
Posteromedial approach
- incision between medial malleolus and T achilles
- divide superficial retinaculum
- neurovascular bundle immediately anterior
Identify FHL by moving great toe
- open FHL fibro-osseous tunnel releasing FHL compartment
- retract FHL anteriorly
Open posterior capsule over os trigonum and excise


Posteromedial approach and identification of FHL fibro-osseous tunnel


FHL identified and released, retracted anteriorly, capsule incised and os trigonum exposed


Arthroscopic FHL release and os trigonum excision


Technique
Vumedi arthroscopic os trigonum resection 1
Vumedi arthroscopic os trigonum resection 2


FHL exposure in posterior ankle arthroscopy
