

Definition
Fibrous proliferative lesion in plantar fascia
Ledderhose disease
Epidemiology
Rare < 1/2000 (commonly quoted <200,000 cases in the USA)
Men > women
Middle aged
Bilateral 25%
Associations - Dupuytren's disease, Peyronie's disease
Pathology
Usually affects medial and central bands of plantar fascia
Proliferative Fibroblastic lesion
- heavy strands of relatively acellular mature collagen
- may resemble fibrosarcoma histologically
Enneking 3 Stages
- proliferative phase - fibroblasts
- active phase - nodule formation
- residual phase - collagen maturation
Clinical picture


Slow growing nodule in medial or central plantar fascia
- doesn't involve skin
- rarely associated with contractions
As gets bigger, pain with walking / shoewear
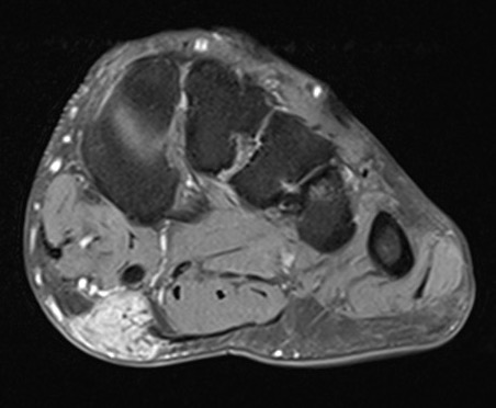
MRI
Focal oval shaped lesions within the plantar fascia








Differential diagnosis
Neurofibroma / neurilemmoma
Fibrosarcoma / other sarcomas
Nonoperative management
Options
Steroid injection - likely temporary relief, risk plantar fascia rupture
Verapamil - topical calcium channel blocker used in Peyronie's
Radiation therapy - typically reserved for recurrence
ECSW
- use of extra-corporeal shock wave therapy
- 10 cases of plantar fibromatosis
- effective pain relief
- doesn't change size of nodule
Collagenase
Case reports in plantar fibromatosis
- RCT of collagenase v placebo in 308 Dupuytrens
- ROM improved with collagenase from 44 to 81 degrees
Operative management
Options
Local resection
Wide resection
Subtotal fasciectomy
Anwander et al Foot Ankle Spec 2024
- systematic review of recurrence rates after surgery
- local resection 67%
- wide resection 42%
- fasciectomy 27%
Local resection
Youtube surgical technique video
Wide resection / partial fasciectomy (2-3 cm margin)
Technique
Youtube surgical technique video
Patient prone / supine with tourniquet
- S shaped incision on sole of foot
- avoid 1st metatarsal head and avoid weight bearing arch
- remove affected fascial band
- 2 cm normal fascia proximal and distal
- preserve lateral plantar nerve which is adherent to fascia on lateral side
- preserve common plantar digital nerves distally
Subtotal fasciectomy
Arthroscopy techniques endoscopic subtotal fasciectomy
Results
- 19 partial fasciectomy
- 6% recurrence
- 17% scar related problems
- partial plantar fasciectomy / resection medial band in 17 feet
- recurrence 29%
- wound dehiscence 17% (1 requiring plastic surgery)