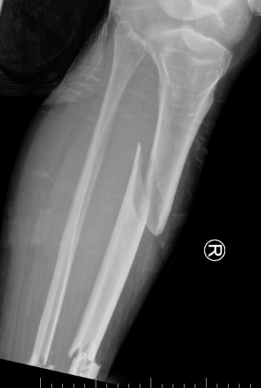
Midshaft Tibial Fracture

Epidemiology

Tibial Midshaft Fracture

 

Most common long bone fracture

 

Aetiology

 

Young patients / sports

 

Elderly / simple falls

 

MVA - often compound

 

Tscherne Soft Tissue Classification

 

Grade 0

- nil ST injury

 

Grade 1

- superficial abrasion / contusion

- ST injury from pressure from within

 

Grade 2

- deep contusion / abrasion

- due to direct trauma

 

Grade 3

- extensive contusion and crush

- subcutaneous tissue avulsion

- severe muscle injury

 

Operative v Nonoperative

 

Acceptable alignment

 

Lindsey et al. JAAOS 1996

- coronal plane > 5o

- saggital plane > 10o

- rotation > 5o

- shortening > 1 cm

- displacement > 50%

- comminution > 50%

https://journals.lww.com/jaaos/Fulltext/1996/01000/Closed_Tibial_Shaft_Fractures__Which_Ones_Benefit.5.aspx

 

Nonoperative treatment

 

Advantages cast

- no infection

- no knee pain

- no hardware to remove

 

Advantage IMN

- faster union

- reduced non union

- reduced malunion

- earlier ROM

- able to weight bear early

 

Swart et al. Injury 2021

- 334 patients treated nonop

- fractures reduced, and placed in cast

- 70% converted to surgery due to inability to maintain alignment or patient issues

https://pubmed.ncbi.nlm.nih.gov/33046252/

 

Puno et al. CORR 1986

- IMN nonunion rate 2%, malunion 0%, infection 3%

- cast nonunion rate 10%, malunion 4%, infection 0%

https://pubmed.ncbi.nlm.nih.gov/3769277/

 

Operative Treatment

 

Options

 

1.  IM Nail

2.  Plate

3.  External Fixation

 

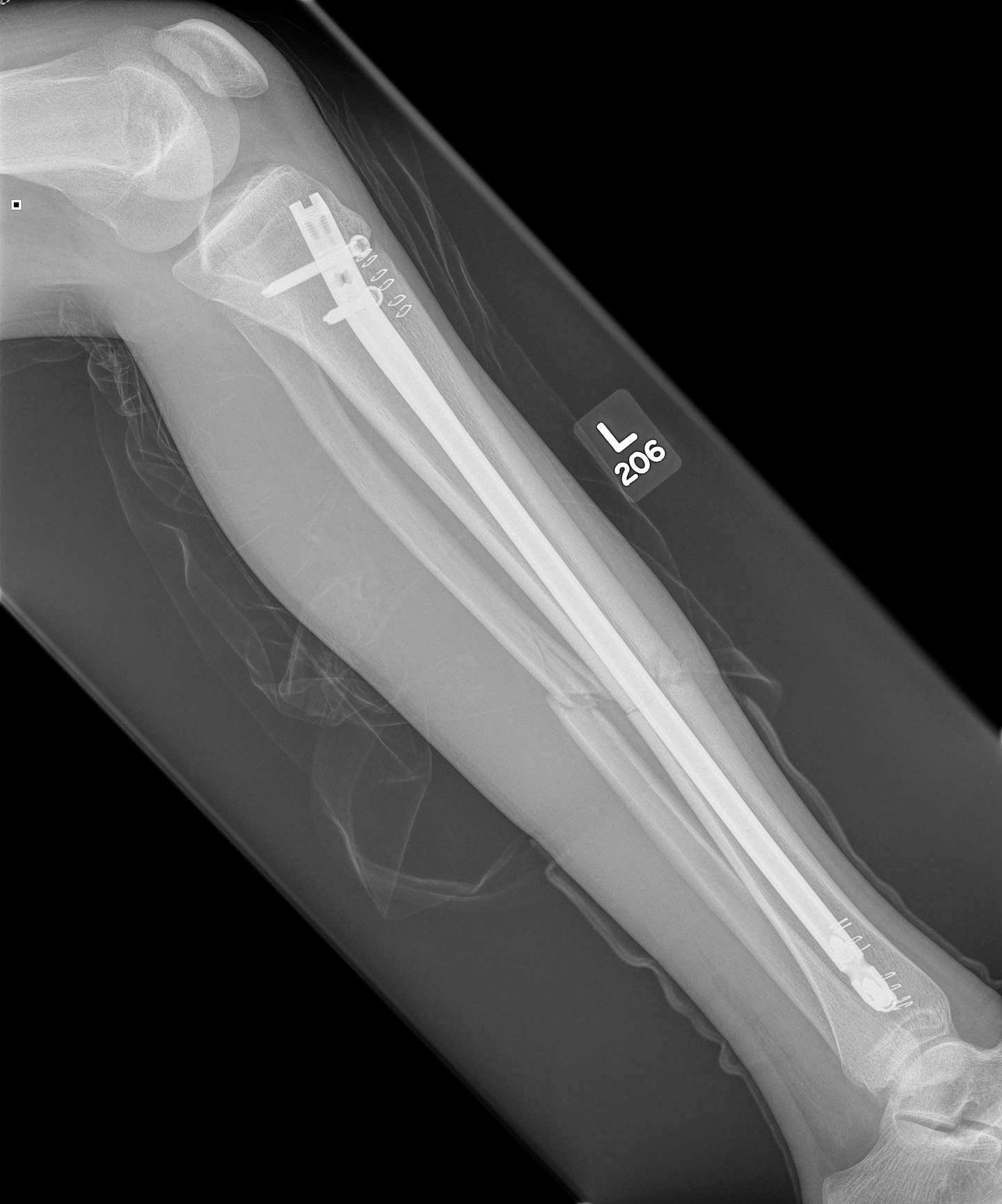
1.  IMN Tibia

 

Tibial Nail 1Tibial Nail 2

 

Reaming

 

Xia et al. Orthopedics 2014

- meta-analysis of 9 RCT, 1200 patients

- reaming reduced risks of nonunion, reoperation, need for dynamisation and exchange nailing

https://pubmed.ncbi.nlm.nih.gov/24762836/

 

Infrapatellar Flexed v Suprapatellar Semi-Extended

 

Gao et al. Medicine 2018

- meta-analysis of 4 RCTs

- suprapatellar approach reduces blood loss, and reduces fluoroscopy time

- suprapatellar appraoch improves postop pain, and has improved knee outcomes scores

https://www.ncbi.nlm.nih.gov/pmc/articles/PMC6023710/pdf/medi-97-e10917.pdf

 

Surgical technique article

https://www.ncbi.nlm.nih.gov/pmc/articles/PMC4894781/pdf/bco-27-107.pdf

 

Vumedi video

- potential techniqual advantages suprapatellar

- easy lateral xrays

- easier to obtain perfect starting point

- better to obtain and maintain the reduction for proximal tibial fractures

https://www.vumedi.com/video/suprapatellar-vs-standard-nailing-of-tibial-shaft-fractures-what-should-you-do-on-call-and-how-do-yo/

 

Post operative weight bearing

 

Gross et al. J Orthop Trauma 2016

- RCT weight bear v NWB in 90 fractures (exclude OTA 42C - segmental or severely comminuted)

- no difference in union rates, or complications

- concluded that immediate weight bearing is safe in stable fractures

https://pubmed.ncbi.nlm.nih.gov/27049908/

 

Segmental shaft fractures

 

Segmental tibia 1Segmental tibia 2

 

Corey et al J Orthop Trauma 2018

- 95 treated with IMN

- nonunion rate 10%

https://pubmed.ncbi.nlm.nih.gov/29432320/

 

2. Plate fixation

 

Tibial Midshaft PlateTibial Midshaft Plate Lateral

 

Risk

- poor skin / blood supply / muscle cover

- excessive soft tissue stripping

 

Technique

- minimally invasive

- indirect reduction techniques

 

Results

 

He et al. Clinics 2014

- meta-analysis of 11 studies

- MIPO plate v IMN

- faster union rates with plate

- no increased infection or reoperation

https://www.ncbi.nlm.nih.gov/pmc/articles/PMC3971355/pdf/cln-69-04-234.pdf

 

3.  External fixation

 

Indications

 

Contaminated wound

Vascular injury

Damage Control Orthopedics

Segmental bone loss - Ilizarov

 

Technique

 

Unilateral

- 4 or 5 mm half pin

- predrill to decrease thermal necrosis

- 2 near fracture and 2 far from cortex

- 2 bars / close to skin (2 cm)

 

Complications

 

Compartment syndrome

 

Incidence

 

Shadgan et al. J Orthop Traumatol 2015

- 1,125 patients with tibial shaft fractures

- 7% rate of acute compartment syndrome

- 64/87 required fasciotomy following surgery fixation

https://www.ncbi.nlm.nih.gov/pmc/articles/PMC4559534/pdf/10195_2014_Article_330.pdf

 

Symptoms / signs

- excessive pain not managed by opiates

- tight compartments

- pain on passive stretch of affected compartment

- parathesia

 

Compartment pressure monitoring

 

Normal compartment pressures

- > 30 mm Hg less than DBP

- < 30 mm Hg

 

Management

 

2 incision, 4 compartment release

 

Anterior Knee Pain after IMN

 

Incidence

 

Leliveld et al. Eur J Trauma Emerg Surg 2021

- systematic review

- incidence knee pain with infra-patellar approach 38%

- incidence knee pain with supra-patellar approach 10%

https://pubmed.ncbi.nlm.nih.gov/32772136/

 

Nail Removal

 

Zhang et al. J Orthop Surg 2017

- 57 patients with significant AKP following tibial IMN

- removal of nail helped

- espeically with < 10 mm between nail tip and tibial plateau

https://pubmed.ncbi.nlm.nih.gov/28193138/

 

Infection

 

Incidence

 

Hendrickx et al. Injury 2020

- systematic review of > 8000 patients

- deep infection 3.2%

https://www.injuryjournal.com/action/showPdf?pii=S0020-1383%2820%2930352-1

 

Nonunion

 

Definition

- 9/12 since injury

- 3 consecutive months with no signs union

- when the fracture has not healed in what you would expect to be a normal time period

 

Incidence

 

Hendrickx et al. Injury 2020

- systematic review of > 8000 patients

- nonunion after tibial IMN 10%

https://www.injuryjournal.com/action/showPdf?pii=S0020-1383%2820%2930352-1

 

Risk Factors

 

1.  Injury factors

- displacement

- high energy injuries - comminution, bone loss, segmental fractures

- compound / open injuries

- vascular injuries

 

2.  Patient factors

- malnutrition / smoking / diabetes / alcoholic

- immunosuppression / NSAIDS

- Paget's / renal osteodystrophy

 

3.  Surgeon Factors

- fracture left displaced or distracted

- excessive soft tissue stripping

- infection

- nil reaming

 

Tian et al. J Orthop Surg Res 2020

- systematic review of 41,000 fractures

- risk factors for non union

- > 60, male

- smoking, BMI > 40, diabetes

- NSAIDS

- open fractures, OA Type C, high energy fractures

https://pubmed.ncbi.nlm.nih.gov/32883313/

 

Management Nonunion

 

Types

 

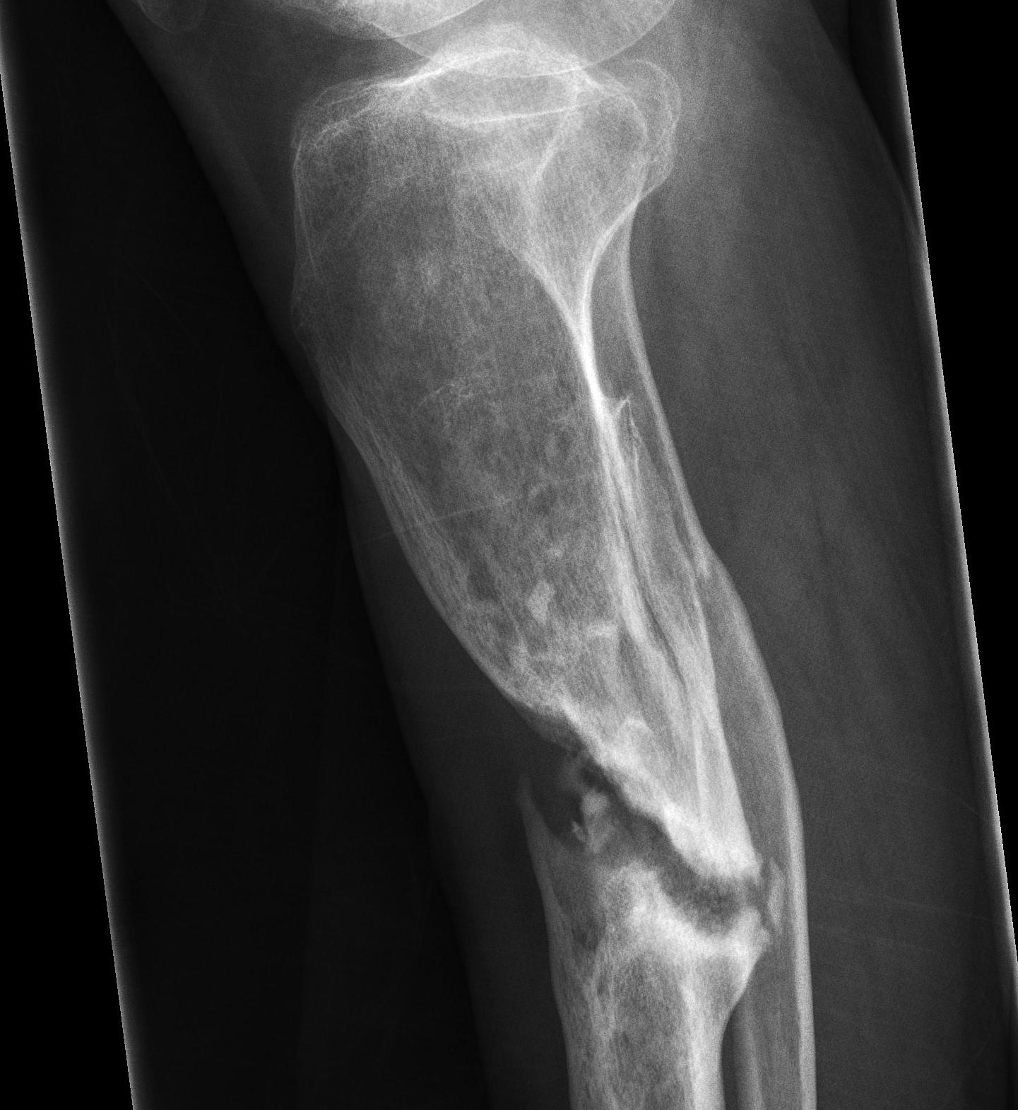
A.  Hypertrophic

- abundant callous

- adequate blood supply, insufficient stability

 

Tibial Hypertrophic Nonunion

 

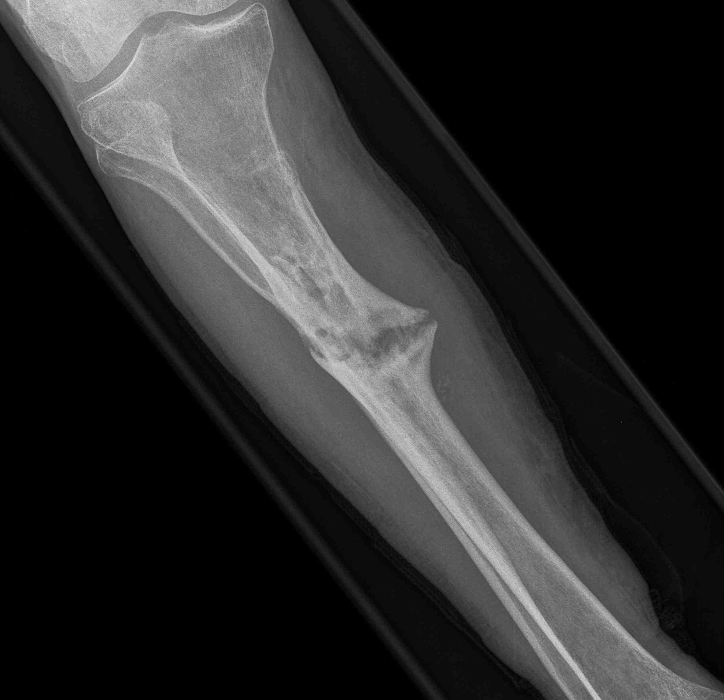
B.  Oligotrophic

- minimal callous

- still have adequate blood supply

- due to inadequate contact between fracture surfaces

 

Tibial Oligotrophic Nonunion

 

C.  Atrophic 

- no callous

- deficient biology, adequate stability (too adequate)

 

Surgical Options (After excludIng infection)

 

Adjuncts - low intensity pulsed ultrasound

Dynamisation

Exchange nailing

Compression plating

Posterolateral bone grafting

External Fixation / Ilizarov technique


Dynamisation

 

Indications

- well aligned fracture

- mild gap

- no significant bone loss or comminution

- early - 3/12 or < 6/12

 

Advantages

- simple, day surgery

- minimal risks / complications

 

Technique

- take out screws furtherest from fracture

 

Results

 

Vaughn et al. Orthopedics 2016

- dynamisation effective in 50%

https://pubmed.ncbi.nlm.nih.gov/27575039/

 

Exchange nailing

 

Contraindications

 

1.  Bone defect

- less likely to heal if > 50% cortex missing for > 2cm

- combine with posterolateral bone graft

 

2.  Presence of infection

- much less likely to succeed

 

Technique

 

Remove old nail

- no preoperative ABx

- ream +++

- insert at least 1mm larger nail

- routinely send reamings for culture

 

Results

 

Tsang et al. Bone Joint J 2016

- 102 tibial non unions

- overall union rate 63% with single exchange nail

- union rate in setting of infected nonunion 35% (11/31)

- risk factors failure atrophic nonunion / bone gap > 5mm / infection

https://pubmed.ncbi.nlm.nih.gov/27037437/

 

Issues

 

1.  Fibular Osteotomy

2. Dynamic v static locking

 

Abadie et al. J Orthop Trauma 2016

- exchange nailing for tibial nonunion

- fibular osteotomy associated with faster union by 3 months

- no difference static v dynamic locking

https://pubmed.ncbi.nlm.nih.gov/27437613/

 

Compression plating

 

Binod et al. Arch Orthop Trauma Surg 2016

- 35 tibial atrophic nonunion

- Judet's osteoperiosteal decortication and buttress bone plating

- 100% union

https://pubmed.ncbi.nlm.nih.gov/27317343/

 

Cancellous Bone grafting

 

Indications

- bone defect < 2cm

 

Options

- iliac crest

- reamer / irrigator / aspirator

 

Approaches

 

Anterolateral approach

- poor skin healing

- limited amount of bone graft

 

Posterolateral approach

- middle and distal thirds tibia

- patient prone or lateral

- incision medial to fibula

- between FHL and peroneal tendons

- elevate FHL and soleus taken off tibia

- debridement non union

- tissue sent for MCS

- recanalise medullary canal for blood supply

- create troughs in bone segment cortex with burr

- longitudinal troughs in cortex with burr to bleeding bone

- pack in BG, overlapping cortical bone by at least 1 cm

- apply bone graft

- close fascia over BG and drain

 

Posteromedial approach

- proximal tibia

 

Results

 

Foster et al. Injury 2017

- posterolateral bone grafting in 59 patients with distal 2/3 tibial nonunion

- 75% union rate

https://pubmed.ncbi.nlm.nih.gov/28736122/

 

Le Baron et al. Orthop Traumatol Surg Res 2019

- compared iliac crest bone graft v reamer/irrigator/aspirator (RIA)

- aseptic nonunion with bone defect < 2cm

- 90% union in both groups

- reduced operative time / analgesia requirements / inpatient stay with RIA

https://pubmed.ncbi.nlm.nih.gov/30885818/

 

Ilizarov

 

Indication

- infection

- malunion

- acute shortening for skin loss

- bone transport for large segmental defects

 

Advantage

- allows compression

- allows immediate weight bearing

 

Adjuncts

 

Low intensity pulsed ultrasound

 

Hannemann et al. Arch Orthop Trauma Surg 2014

- may accelerate time to union in fractures treated without surgery

https://pubmed.ncbi.nlm.nih.gov/24895156/

 

Bone Morphogenic Protein

 

Govender et al JBJS Am 2002

- RCT of patients with open tibial fractures treated with IMN

- +/- addition of BMP 2 on absorbable collagen sponge at time of wound closure

- BMP group increased union rate and faster union

- BMP group had faster wound healing and fewer infections

https://pubmed.ncbi.nlm.nih.gov/12473698/

 

Mangement of Infected Nonunion

 

Options

 

Antiobiotic covered nail

Masquelet Technique

Coversion to external fixation

 

IM Abx covered rod

 

Technique

- remove IMN, ream and irrigate

- make Abx rod

- use chest tube with guide wire in it

- pour PMMA with Abx (3G vanco, 3G Fluclox)

- cut off plastic sleeve

- insert rod

- treat infection with 6/52 of appropriate Abx

- return at 6/52 for definitive management of non union (exchange nail / ilizarov)

 

Masquelet technique

 

See below for treatment of segmental bone defect

Use of first stage with antibiotic cement can help eradicate infection

 

Ilizarov Technique

 

Technique

- remove metal work / IMN

- take multiple cultures

- ream / rrrigate +++

- apply Ilizarov

- manage non union

 

Option 1

- fibular osteotomy

- acute compression over next 10 days

- wait bear as tolerated

- watch for union

 

Option 2

- excise dead bone / non union

- acutely shorten and compress distally

- proximal corticotomy and bone transport

 

Results

 

Yin et al PLoS One 2015

- systematic review infected nonunion of the tibia

- 97.5% union rate

https://pubmed.ncbi.nlm.nih.gov/26529606/

 

Case

 

12 months of persistant sinus drainage

- nail removed

- Ilizarov applied with fibular osteotomy and acute compression of non union

- 6/52 IV Abx

 

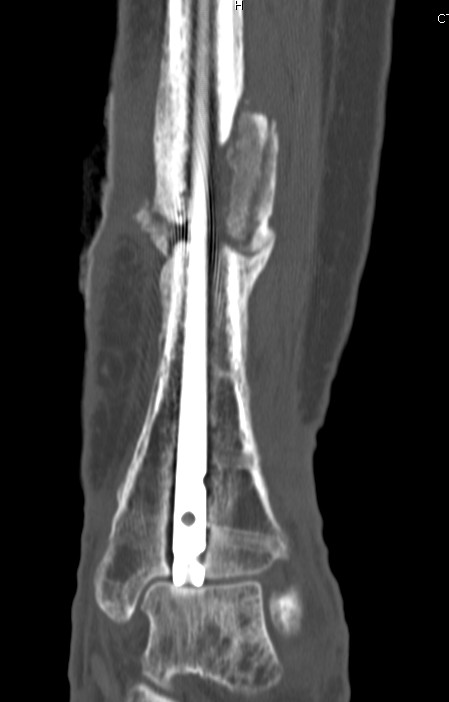
Infected Tibial Non Union XrayInfected Tibial Nonunion CT

 

Infected Tibial Non Union Ilizarov APInfected Tibial Non Union Ilizarov Lateral

 

Segmental Bone Defects

 

Causes

- acute trauma

- resection of dead / contaminated bone

- resection infected bone

- resection infected non union

 

Options

 

1.  Acute shortening < 1 cm

2.  Autologous non-vascularised BG 1 - 3 cm

3.  Masquelet

4.  Bone transport distraction osteogenesis < 10 cm

5.  Free vascularised fibula transfer < 12 cm

6.  Bulk structural Allograft 

7.  Amputation

 

Acute shortening

 

Advantage

- allows healing to begin immediately

- improves stability

- relaxes soft tissues

- may allow primary closure

 

Disadvantage

- create LLD

- can address at later stage

 

Autologous bone grafting

 

As above for non union

 

Masquelet technique

 

Technique

- induced membrane technique

- two stage tecnique

- first stage is insertion of PMMA spacer in bone defect

- maintain stability i.e. external fixation

- induces a foreign body reaction with a thick vascularized membrane

- at 6 - 8 weeks perform second stage

- the membrane is opened and bone grafted

- stabilise with plate / nail / external fixation

 

Results

 

Morelli et al. Injury 2016

- systematic review

- union rate 90%

- eradication of infection 91%

https://pubmed.ncbi.nlm.nih.gov/28040090/

 

JBJS Surgical Technique

https://www.ncbi.nlm.nih.gov/pmc/articles/PMC6687485/pdf/jbjsest-9-e22.pdf

 

Bone Transport Distraction Osteogenesis

 

Technique

- proximal metaphyseal corticotomy

- 5 day latency period

- 1 mm/day distraction

- bridge diaphyseal segment

- bone graft docking site at second OT

- await consolidation (2 x transport times)

 

Free Vascularised Fibula Graft

 

Technique

- fibula segment 4cm longer than defect

- allows overlap 2 cm each end

- must leave 5 cm fibula distally, 7 cm fibula proximally

- vascular anastomosis performed

- secured with screws and protected by external fixator

 

Issues

- technically demanding

- bone needs to hypertrophy

- risk of fracture / non union

- donor site morbidity

 

Results

 

Feltri et al. Arch Orthop Trauma Surg 2021

- systematic review

- union rate 80%

- 40% rate of complications (fracture, nonunion, delayed union, infection, thrombosis)

https://pubmed.ncbi.nlm.nih.gov/34110477/