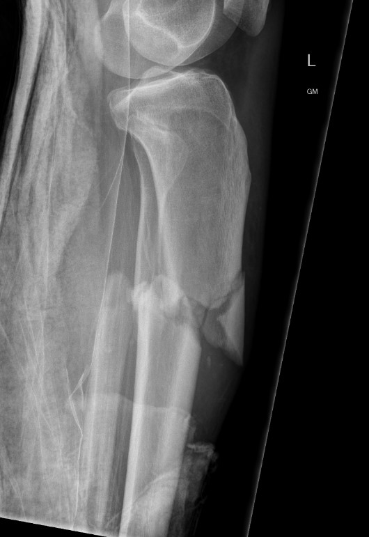
Definition
Metaphysical / extra-articular
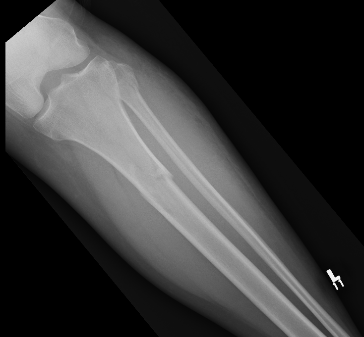
Deformity
- abductors/hamstrings (pes) = varus of proximal fragment = valgus of fracture
- patella tendon = extension of proximal fragment = procurvatum of fracture


Characteristic valgus deformity with extension of the proximal fragment
Treatment options
IMN
Plate
Results
Jindal et al. Indian J Orthop 2020
- systematic review
- no different in malunion
- infection more common in plate
- anterior knee pain more common with nail
- faster time to weight bearing and union with nail
Meena et al. J Orthop Traumatol 2015
- RCT plate v IMN for proximal tibial fractures
- 58 patients
- reduced time to union and weight bearing IMN
- no significant different for infection / nonunion / malunion
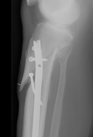
IMN Proximal tibial fractures
Issue
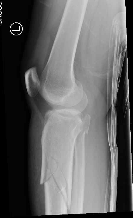
High incidence malunion
- coronal plane valgus
- saggital plane flexion / procurvatum
- posterior translation of distal segment



Residual proximal tibial fragment flexion - entry point too anterior


Residual valgus - entry point too medial
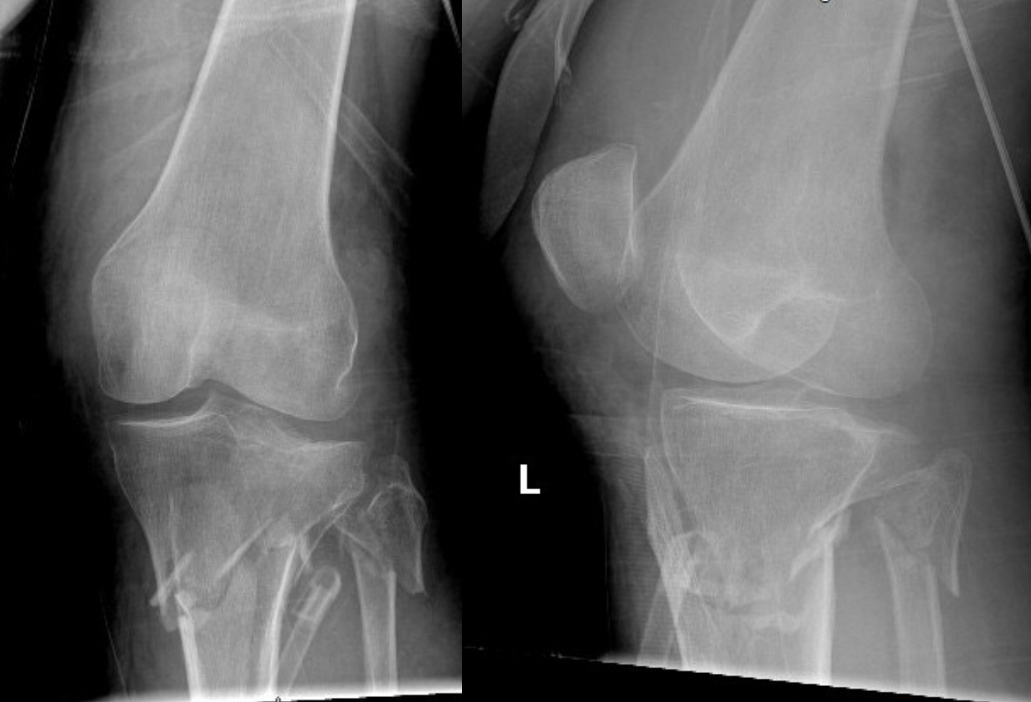
Reason
Standard medial and anterior entry points
- mismatch to distal canal
- canal becomes triangular
- pushes fracture into the above deformities
Techniques
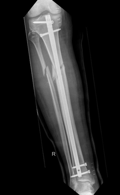
1. Change entry point
- match entry point to distal IM canal
- lateral in line with lateral tibial spine
- posterior
2. Blocking screws
- also lateral and posterior
- functionally narrow IM canal
- on concave side of deformity at the level of the fracture
- same positions as entry point
- posterior in proximal segment adjacent to fracture
- lateral in proximal segment adjacent to fracture
Smith and Nephew Tibial Meta Nail with Blocking Screws
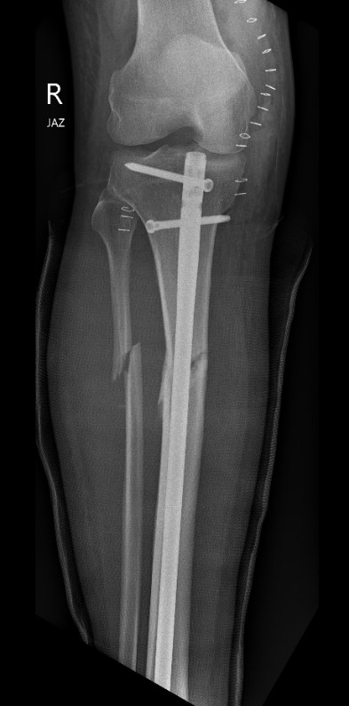
3. Supra-patellar approach with leg semi-extended
- flexed tibia tends to accentuate the deformity
- semi-extended reduces the deformity
- also easier to get lateral and posterior entry point
Smith & Nephew Semi-extended nail
Vumedi Proximal Tibial Nailing Presentation
Results
- series of 43 proximal tibial fractures
- treated with suprapatella nail in semi-extended position
- malunion in 4/43 (9%)
- nonunion in 1/43 (2%)
Plate Proximal Tibia Fractures




Nail + Plate fixation


Indications
Elderly
Allow early weight bearing
Technique