tibia

Anatomical Approach to Biopsy

Region specific approaches

 

Theory

- want to traverse one muscle / one compartment

- keep away from NV bundle

- as a rule perform open biopsy through compartment the tumour is in

- this is the compartment that will require surgical removal in wide excision

- direct approach without going through muscle if possible i.e. tibia, distal ulna

 

Lower Limb

 

Thigh

 

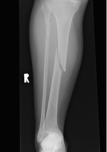
Tibial Stress Fractures

EpidemiologyTibial Stress Fracture

 

Athletic / high impact exercises

 

Aetiology

 

First described in ballet dancers (Burrows 1956)

- tension side of bone / lateral side

- progression to complete fracture has been well documented in athletes

 

Signs

 

Point tenderness

- lateral aspect of tibia

 

Over time develop bony lump