Anatomical Approach to Biopsy

Region specific approaches

 

Theory

- want to traverse one muscle / one compartment

- as a rule perform open biopsy through compartment the tumour is in

- keep away from NV bundle

 

Rules

- need to be done under guidance or by tumour centre

 

Anatomical guidelines to core biopsy PDF

 

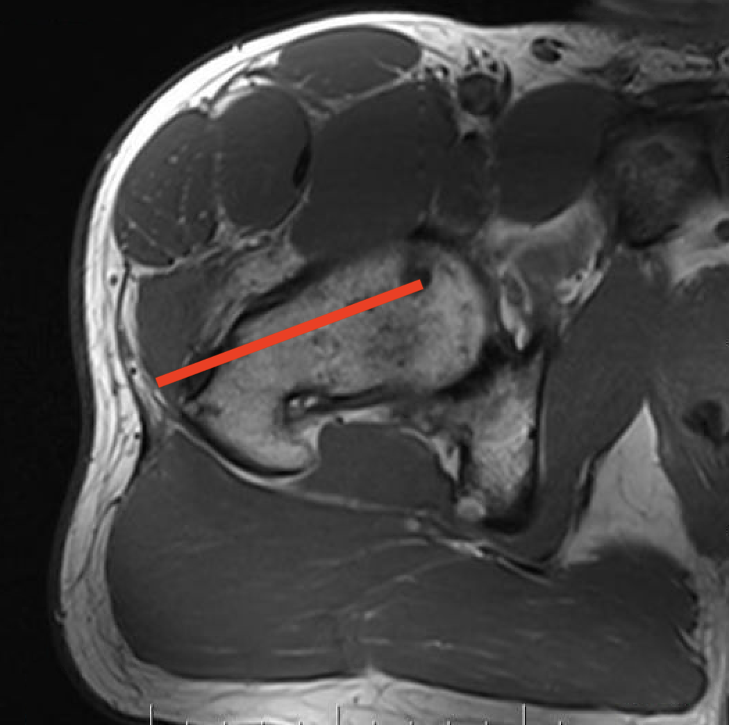
Lower Limb

 

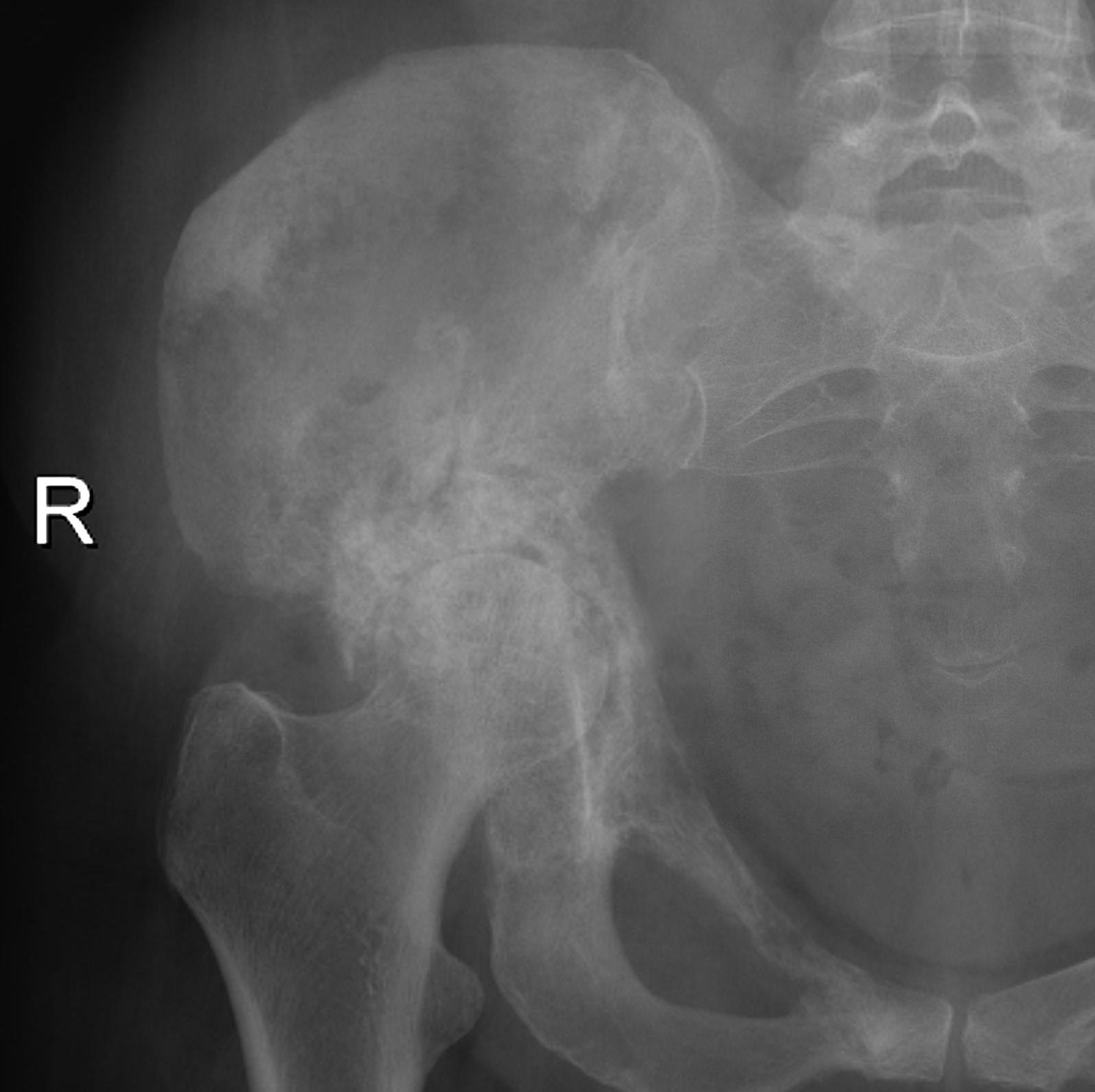
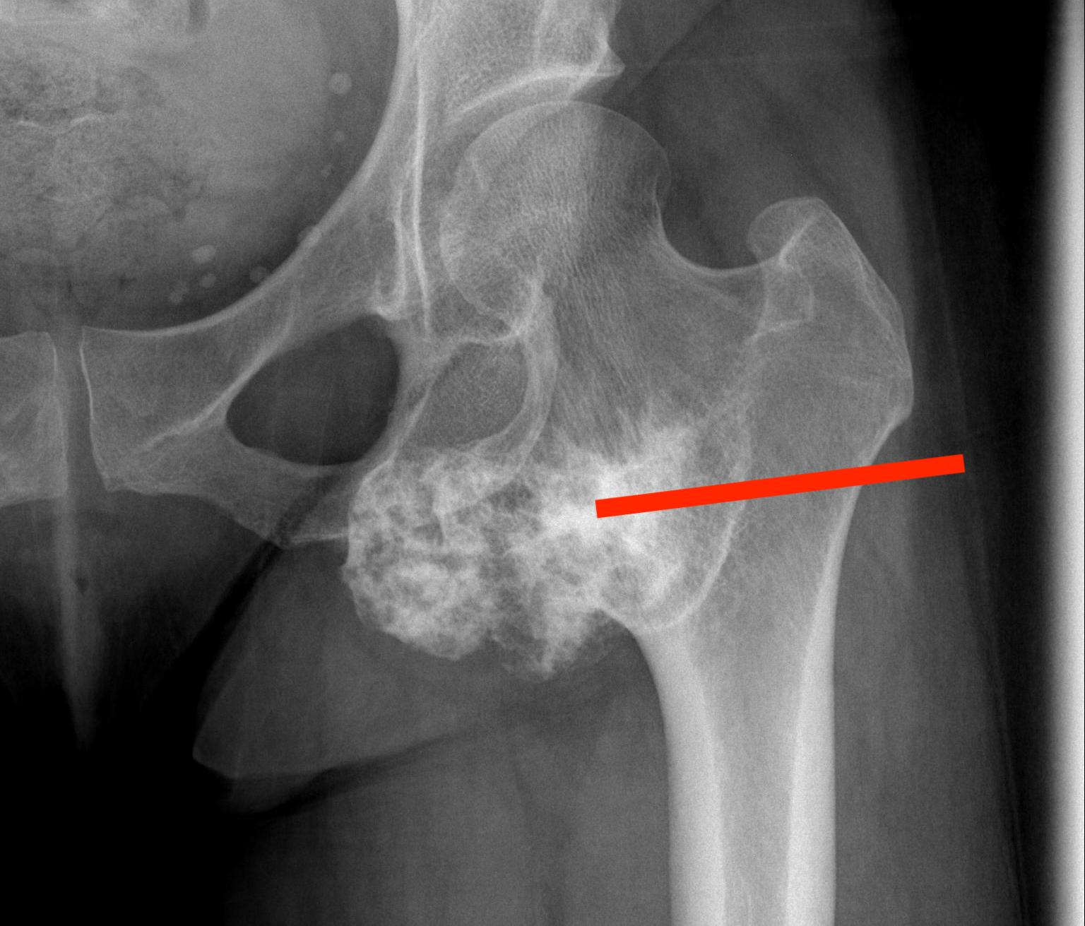
Femur

 

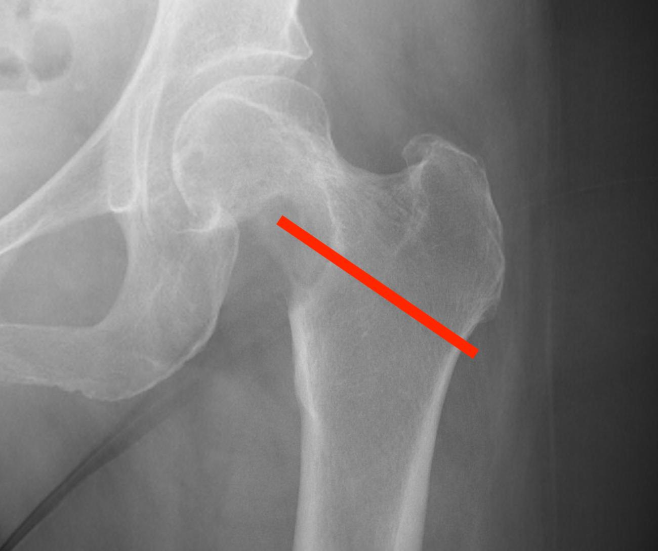
1.  Femoral head / neck

- lateral approach

- trans trochanteric

- avoid NV bundle and quadriceps

 

Proximal Femur TumourProximal femur biopsyFem neck biopsy

 

Proximal Femur Bony Tumour0001Proximal Femur Bony Tumour0002Proximal femur biopsy

 

2.  Subtrochanteric / femoral shaft

- lateral approach

- aim anterior or posterior to lateral intermuscular septum depending on compartment

- avoid rectus femoris / vastus intermedius

- ok to resect part of vastus lateralis or biceps femoris

 

Tumour Subtrochanteric FemurFemoral Shaft Bony LesionFemoral shaft biopsy

 

3.  Condyles

- medial: incision through vastus medialis

- lateral: anterior to vastus lateralis

 

Bony Lesion Lateral Distal FemurFem condyle biopsyFem condyle biopsy

 

Thigh

 

1.  Lateral compartment soft tissue tumour

- lateral approach through ITB

- through vastus lateralis / anterior to lateral intermuscular septum

 

2.  Medial compartment soft tissue tumour

- medial approach through gracilis

- keep away from NV bundle

 

3.  Posterior compartment soft tissue tumour

- posterior approach / transmuscular

 

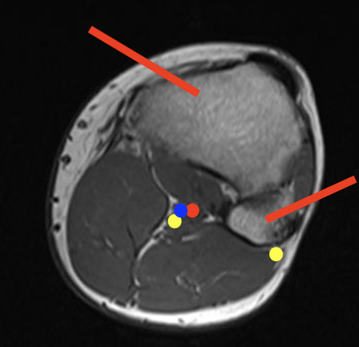
Popliteal fossa

 

Popliteal fossa / parosteal OS

- posterior approach

- go through hamstrings or gastrocnemius

- depending on whether lesion medial or lateral

 

Parosteal Osteosarcoma

 

Patella

 

Direct anterior

 

Patella Lytic Lesion

 

Tibia and fibular

 

Tibia: direct medial approach directly onto bone

Fibula: direct lateral or through peroneus, anterior to intermuscular septum

 

Proximal Tibial Lytic Epiphyseal Lesion XrayTibia biopsy 1

 

Tibial Shaft LesionTibia biopsy 2

 

Distal Fibular Lucent LesionTibia biopsy 3

 

Leg

 

1.  Proximal posterior compartment soft tissue tumour

- medial to tibia

- preserve anterolateral compartment

 

2.  Proximal anterolateral compartment soft tissue tumour

- direct approach through tibialis anterior

- will likely not be able to preserve CPN

 

Talus

 

1.  Head and neck

- medial approach between Tibialis anterior and Tibialis posterior

 

2.  Body

- lateral Ollier's approach between Peroneus tertius and Peroneus brevis

 

Calcaneum

 

Direct lateral approach

 

Calcaneal Bony Lesion CTCalcaneal Bony Lesion MRI

 

Foot

 

Navicular / Medial cuneiform Direct medial
Cuboid Direct lateral
Intermediate cuneiform

Between EHL and EDC

Away from dorsalis pedis

Lateral cuneiform Lateral to EDC
Metatarsals / phalangeals Dorsal approach
Soft tissue tumour Medial or lateral as required

 

Metatarsal tumourSoft tissue sarcoma medial foot

 

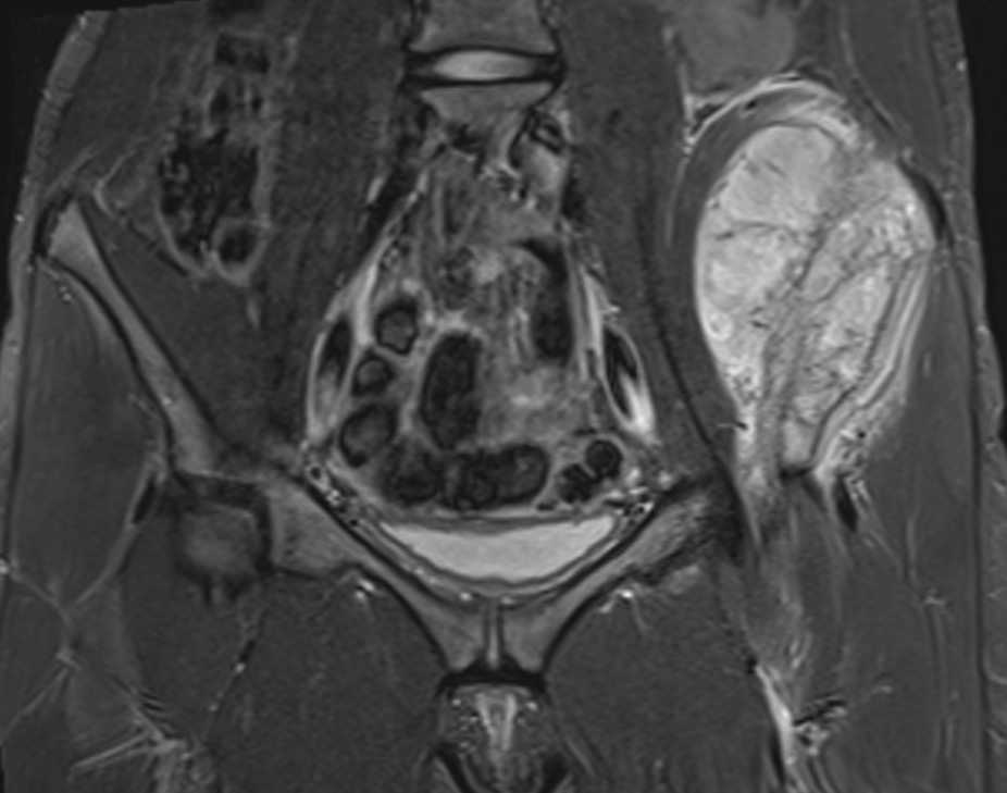
Pelvis

 

Ewings pelvisAcetab Met

 

Iliac crest Ilioinguinal approach
Anterior column Watson - Jones through G medius
Posterior column Kocher - Lagenbeck through G maximus
Pubis Pfannenstiel approach
Ischium Posterior approach
Sacrum Direct posterior approach

 

Upper Limb

 

Humerus

 

1.  Proximal humeral bony tumour

- direct lateral

- through deltoid muscle

- never deltopectoral (condemns patient to forequarter amputation)

 

Shoulder CSHumerus biopsy 1

 

2.  Shaft

- modified Henry

- lateral approach

- proximal: through deltoid

- distal: posterior to biceps, through brachialis

 

OS HumerusHumerus biopsy 2

 

3.  Distal humerus bony tumour

- lateral longitudinal to capitellum

- medial approach to trochlea

- both through brachialis

 

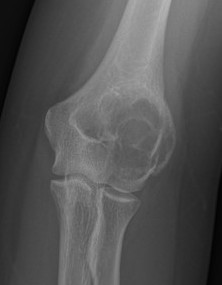
ABC elbow

 

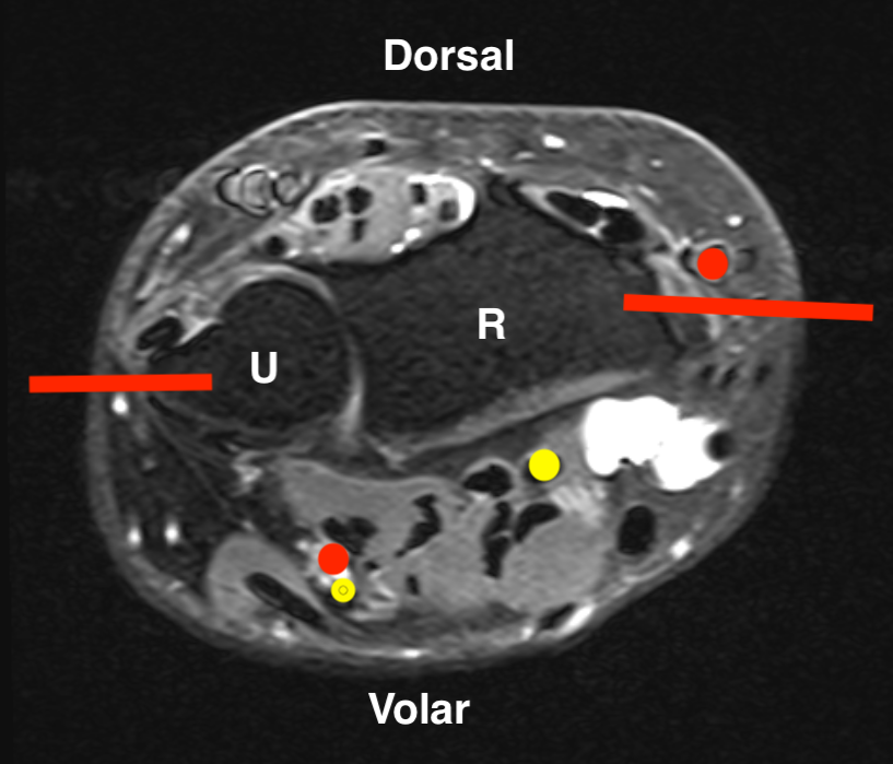
Radius and Ulna

 

Radius Ulna
Proximal - posterolateral Olecranon - direct posterior
Shaft - direct lateral Ulna shaft - direct medial
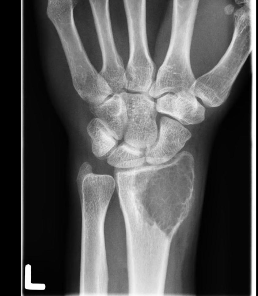
Distal radius - direct lateral  

 

Brown tumour proximal radius

 

Ulna tumourUlna biopsy

 

GCT distal radiusDistal radius biopsy

 

Wrist / Hand

 

Carpus / metacarpal / phalanges - dorsal approach

 

Sarcoma Finger

 

Clavicle

 

Clavicle - direct subcutaneous

 

Scapula

 

Acromion - deltoid split

Spine - transverse approach

Body - Judet posterior approach

Glenoid - posterior approach, through Teres major

Coracoid - deltopectoral approach