Floating Shoulder

 

floatfloatfloat

 

Definition

 

Combination of scapular neck fracture and

- ipsilateral clavicle fracture

- ACJ dislocation / CC ligament disruption

- coracoid process fracture

 

Double disruption of the superior shoulder suspensory complex (SSSC)

 

Epidemiology

 

High velocity injuries - MVA, fall from height

 

Anatomy

 

Superior shoulder suspensory complex (SSSC)

- osseous-ligamentous ring

- sole articulation of the arm with the axial skeleton

- coracoclavicular ligaments / coracoid process / glenoid process / acromial process / ACJ / lateral clavicle

 

Floating shoulder

- disrupts the suspensory mechanism of the shoulder

- changes biomechanics

- subacromial pain / impingement

 

Nonoperative management

 

Indication

 

Minimally displaced fractures of clavicle and scapula

Base indications for surgery upon individual fracture configurations

 

Results

 

Dombrowsky et al JSES 2020

- systematic review of 371 floating shoulders

- nonoperative treatment of minimally or non displaced scapular neck fractures

- displaced scapular neck fractures - fixation of both clavicle and scapular neck

- no difference in outcomes between nonoperative and operative

 

Operative Management

 

Indications

 

Displaced clavicle fractures

Unstable ACJ dislocations

Displaced scapular neck fractures

 

Options

 

ORIF clavicle

ORIF scapula

ORIF clavice + scapula

 

ORIF clavicle

 

Minimally displaced glenoid fracture

 

Floating ShoulderFloating Shoulder Clavicle ORIF

 

floatfloatFloat

 

floatfloat

 

ORIF glenoid and clavicle

 

Displaced scapular neck

- > 40o angulation

- > 2 cm medial displacement

- glenopolar angle < 22 degrees

 

www.boneschool.com/scapular-fractures

Gl

floatfloatFloat

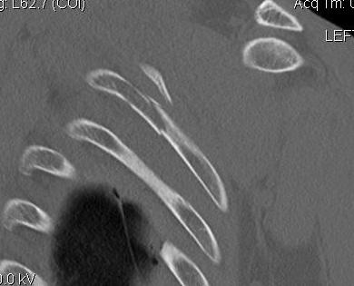
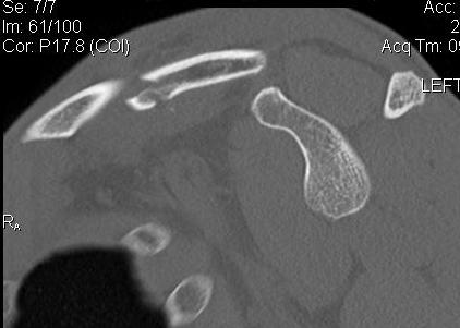
Scapular neck fracture with clavicle fracture

 

floatfloatfloat

Scapular neck fracture with clavicle fracture

 

FloatFloatfloat

Glenoid fracture + lateral clavicle fracture + acromial fracture

 

Floatfloatfloat

Glenoid fracture + lateral clavicle fracture + acromial fracture