Calcific tendonitis

 

Supraspinatous CalciumShoulder MRI T1 Calcific TendonitisCalcific Tendonitis Arthroscopy 2

 

Definition

 

Characterized by calcium deposits in the rotator cuff tendon or subacromial bursa

Will spontaneously regress in majority of cases

 

Epidemiology

 

40 - 60 years of age

Female > Male

Supraspinatus > infraspinatus > subscapularis

 

Etiology

 

Local ischemia / degeneration / calcification

Associated with diabetes and hypothyrodism

 

Classification of calcific stage

 

Formative Stage  Resting Stage Reabsorptive Stage
Minimal pain   Acute pain
Chalk appearance   Toothpaste / fluffy appearance

 

Symptoms

 

Acute pain

- may present to emergency with severe pain

- DDx infection

 

X-ray

 

Supraspinatous CalciumCalcific Tendonits LateralSupaspinatous Large Deposits

Supraspinatus calcification

 

Calcific Tendonitis APSubscapularis CalciumSubscapularis Calcium Lateral

Subscapularis calcification

 

MRI 

 

Calcium has low signal intensity on all sequences

 

Shoulder MRI T1 Calcific TendonitisShoulder MRI Calcific Tendonitis T2

 

calciumcalciumcaclum

 

Ultrasound

 

Ultrasound Calcific TendonitisUltrasound Calcium Supraspinatous

 

Management

 

Non operative Management

 

Options

 

Corticosteroid injection

Shock wave therapy

Ultrasound guided needling

 

Extracorporeal shock wave therapy (ECSW)

 

Extracorporeal Shock Wave Machine

 

Bannuru et al Ann Intern Med 2014

- systematic review of 20 RCTs

- ECSW for calcific tendonitis

- high energy ECSW superior to placebo

 

Verstraelen et al CORR 2014

- systematic review of 5 RCT

- comparing high energy to low energy ECSW

- better results with high energy ECSW

 

Ultrasound guided needle aspiration and irrigation / lavage / Barbotage

 

Technique

 

Vumedi ultrasound guided needling video

 

Ultrasound guided procedure under LA

- one needle into deposit, inject saline

- one needle into deposit, aspirate

- create inflow outflow

- want minimal punctures for this to work

- usually supplement with cortisone injection to reduce pain

 

Results

 

Forogh et al J Orthop 2024

- systematic review of 700 patients and 22 studies

- comparing ECSW to ultrasound guided needling

- over long term follow up, needling more effective at decreasing pain and calcium size

 

Operative Management

 

Options

 

Debridement of calcium deposit +/- rotator cuff repair

Open / mini open / arthroscopic

 

Results

 

Angileri et al JSES 2023

- systematic review of operative versus nonoperative management

- operative management: 85% complete resolution of calcium

- ultrasound guided needling: 67% complete resolution of calcium

 

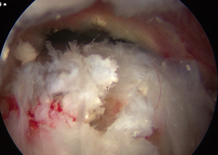
Arthroscopic Technique

 

Technique

 

Vumedi arthroscopic treatment of calcific tendonitis video

 

Locate calcium lump

- remove bursa with shaver

- deposit may be obvious

- however may have to use needle: get cloud of calcium when find deposit

- longitudinally split tendon and currette calcium

- repair rotator cuff

 

Calcium NoduleCalcium Needle

Location of calcium deposit under vision and with needle

 

Calcium IncisionCalcium in TendonCalcific Tendonitis Arthroscopy 4

Longitudinal incision of rotator cuff / debridement of calcium / rotator cuff repair