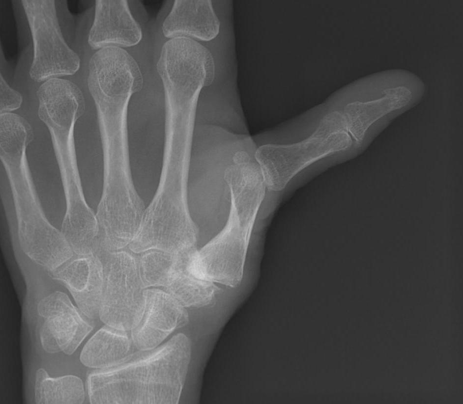
Nalebuff Classification
Type I - Boutonniere
- commonest
- MP flexion / IP hyperextension
- usually EPB rupture with EPL subluxation
![]()
Type II
- Boutonniere & Swan Neck
- doesn't exist according to Nalebuff
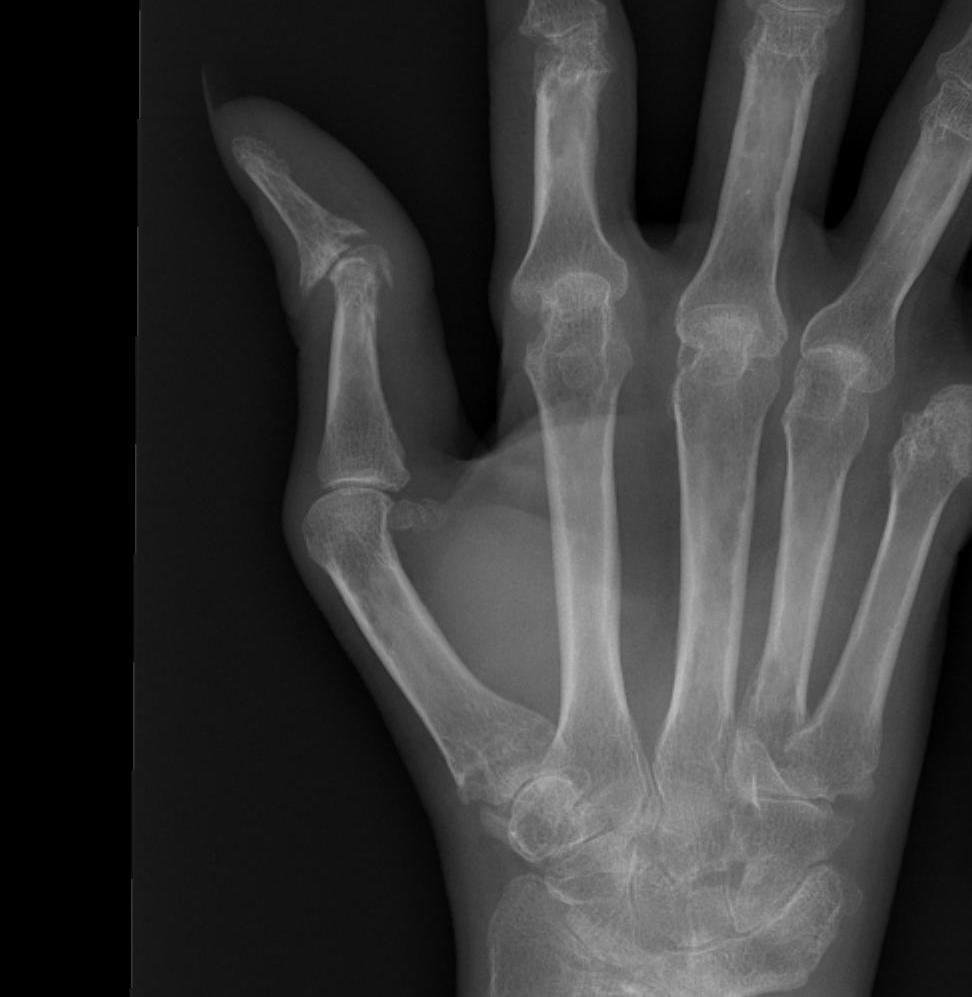
Type III - Swan Neck
- second most common
- primary deformity is OA and dorsal subluxation of CMC
- hyperextension MPJ / IPJ flex
![]()
Type IV - Gamekeepers
- due to MCPJ synovitis
- stretches UCL
- either synovectomy / UCL reconstruction
- or fusion
![]()
Type V - Stretched Volar Plate MCPJ
- differentiated from Swan Neck by no CMC disease
- fusion of MCPJ
Type VI - Arthritis Mutilans
- destruction and instability MCPJ / IPJ
- arthrodesis only option
![]()
Boutonniere Deformity
![]()
Aetiology
Synovitis of MCPJ
- extensor Hood stretched
- EPB ruptures
- EPL tendon displaced Ulnarward & Volarly
- becomes flexor
Management
1. Flexible MCPJ
A. Synovectomy of MCPJ
B. EI to EPB / EPL Centralisation
C. EPL transfer + fusion IPJ
- divide EPL over P2 and reattach to base P1
- good correction early
- but 66% recurrence
2. Fixed MCPJ / Flexible IPJ
Arthrodesis / Arthroplasty MCPJ
- arthrodesis better suited for young, high demand
- arthroplasty better suited to low demand
![]()
3. Fixed IPJ and MPCPJ
A. Fuse both
- best option
B. IPJ fusion / MCPJ arthroplasty
- with arthroplasty have to balance soft tissues
- reroute EPL as above
Swan Neck
Aetiology
![]()

Disease at CMCJ
- leads to dorsal subluxation of CMCJ
- beak ligament is not functional
- result is adduction contracture
MCPJ hyperextension
- ? volar plate stretches
IJP flexion
- ? Mallet rupture
Management
A. Trapeziectomy and LRTI
![]()
B. +/- MCPJ fusion
![]()