Liposarcoma

 

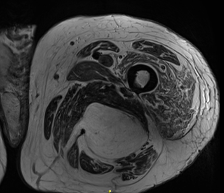
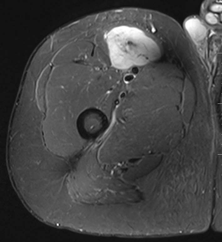
Liposarcoma Buttock MRILiposarcoma 2LS 2

 

Epidemiology

 

Most common sarcoma - 20 - 25%

Rarely arise from lipoma

 

MRI

 

Deep to fascia / heterogenous

 

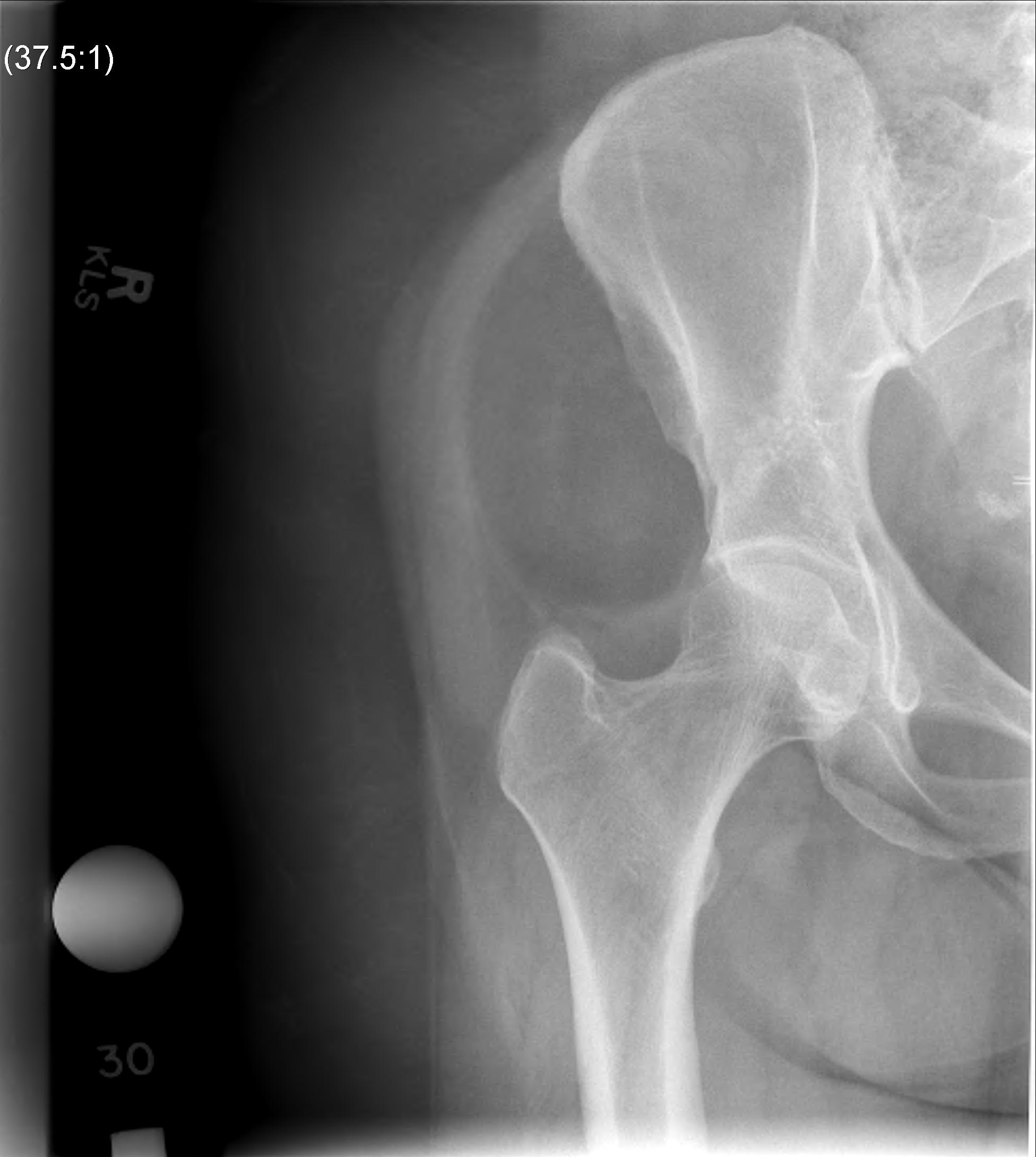
Liposarcoma XrayLiposarcoma Buttock MRILiposarcoma MRI 2

Liposarcoma pelvis

 

Liposarcoma 2Liposarcoma 1Liposarcoma 3

Liposarcoma posterior thigh

 

LS 3LS 2LS 1

Liposarcoma anterior thigh

 

Differential diagnosis

 

Liposarcoma vs Atypical Lipoma

 

Liposarcoma

- > 5 cm

- rapidly growing

- deep to fascia

- non homogenous on MRI

 

Lipoma

 

Lipoma 1Lipoma 2

Lipoma tibia

 

Lipoma 1Lipoma 2Lipoma 3

Lipoma shoulder - superficial to fascia

 

Prognosis

 

Depends on histological subtype

 

Type Genomics Local recurrence Metastasis Chemo-sensitive Radio-sensitive 5 year survival
Well differentiated Amplification oncogenes MDM2, CDK4, and HMGA2 Low Low Low Moderate 93%
De-differentiated Amplification oncogenes MDM2, CDK4, and HMGA2 Moderate Low Low Moderate 44%
Myxoid translocation of FUS and DDIT3 (CHOP) genes Low Low High High 90%
Round Translocation of FUS and DDIT3 (CHOP) genes Moderate High High High 60%
Pleomorphic Loss of tumor suppressors p53 and Rb Moderate High High Moderate 50%

 

Management

 

Primary disease

- Wide resection

- Neo-adjuvant treatment (XRT/Chemo) not indicated in primary disease

- De-differentiated liposarcoma is typically contained within lipoma, hence a positive fat margin can be accepted as long as not the malignant component

 

Metastatic disease

- Consider chemotherapy +/- XRT

 

Surveillance

- CXR + whole body STIR MRI