

Definition
Spontaneous osteonecrosis of the navicular
Clinical
Midfoot pain
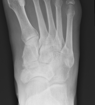
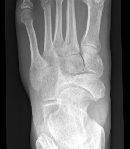
Xray
Sclerosis / Fragmentation
Talonavicular osteoarthritis
Talocuneiform osteoarthritis
Midfoot collapse





MRI


Management
Nonoperative
Orthotics
Harnroongroj et al Foot Ankle Int 2021
- 68 patients with Mueller-Weiss disease
- nonoperative treatment failed in presence of TN osteoarthritis
Operative
Arthrodesis
Depends on joints involved
Depends on degree of collapse
Arthroscopic technique isolated TN arthrodesis
Talonavicular-cuneiform (TNC) arthrodesis
Uzer et al Acta Orthop Belg 2024
- 8 cases of Mueller-Weiss disease
- treated with TNC arthrodesis with plate + bone graft
- fusion 7/8 feet
TN versus TNC arthrodesis
Cao et al J Orthop Surg Res 2017
- 30 cases Mueller Weiss
- half treated with talonavicular arthrodesis and half with TNC arthrodesis
- no difference in outcomes
TNC versus triple arthrodesis
Zhang et al J Orthop Surg Res 2017
- 11 cases of Mueller Weiss
- half treated with TNC arthrodesis, half with triple arthrodesis
- no difference in outcomes