Complications

Complications

 

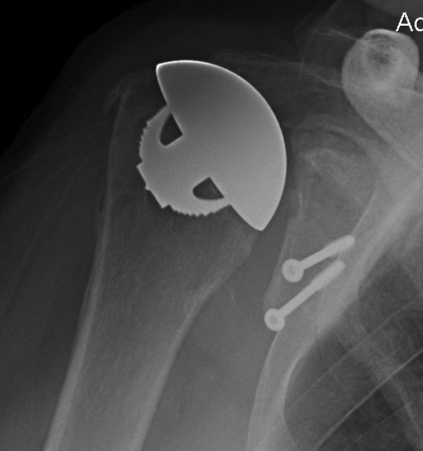
Subscapularis failure

Rotator cuff failure

Instability

Infection

Periprosthetic fracture

Aseptic loosening

Neurological injury

 

Incidence

 

Parada et al. J Should Elbow Surg 2021

- 2224 aTSA complication rate 11%, revision rate 5.6%

- 3% cuff failure, 2.5% aseptic glenoid loosening, 1.3% infection rate

 

Australian Joint Registry 2024

 

Stemmed aTSA

 

complstemmed

 

Stemless aTSA

 

stemlessstemless

 

Subscapularis Failure

 

Causes

 

Failure of repair

Acute trauma

Overstuffing

Humeral anteversion / anterior offset

Denervation

 

Incidence

 

Levy et al. Int J Shoulder Surg 2016

- systematic review of the incidence of subscapularis retears after aTSA

- incidence 3%

- reoperation rate 0.6%

 

Diagnosis

 

Often asymptomatic

 

May complain of pain / weakness / dysfunction

 

May have anterior instability

 

Armstrong et al. JSES 2006

- 13% incidence of subscapularis retear on ultrasound

- majority asymptomatic

 

Options

 

1.  Re-repair

2.  Pectoralis major transfer

3.  Allograft reconstruction

4.  Reverse TSA

 

Entezari et al. JSES 2020

- 25 patients with failed subscapularis after aTSA

- 36% reported injury, remainder insidious onset

- 17 underwent repair with 52% reoperation rate

- 8 underwent revision to rTSA with no revisions

 

Elhassan et al. JBJS Br 2008

- pectoralis major transfer for failed subscapularis after aTSA

- 7/8 failed

- failure associated with anterior subluxation of the humeral head

 

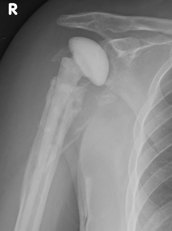
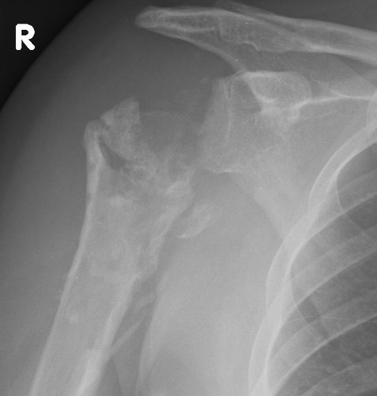
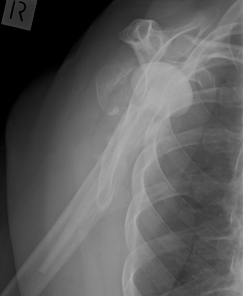
Superior rotator cuff failure

 

Cause

 

Humerus overstuffing

Glenoid superior tilting

Failed rotator cuff repair

 

aTSA overstuffing

 

Prevention

 

Must ensure don't leave humeral head proud

- restore Shenton's line

 

Issue

 

Results in eccentric loading of the superior aspect of glenoid component & loosening 

- "rocking horse glenoid"

 

Diagnosis

 

Superior migration of humeral head on xray

 

Shoulder Hemiarthroplasty Rotator Cuff FailureTSR Superior EscapeaTSA failed cuffTSR Failed Rotator CUff

 

Incidence

 

Young et al. JBJS Am 2012

- 5 year follow up of 518 aTSA

- incidence of cuff failure of 17%

 

Options

 

Overstuffed aTSARevision to revTSA

 

Revision to reverse TSA

 

Shield et al. JAAOS 2019

- revision for cuff failure to rTSA compared to primary rTSA

- increased complications and worse patient outcomes in the revision group

 

Instability

 

Anterior  

 

Cause

- mal-rotation humeral component

- subscapularis rupture

- anterior deltoid dysfunction

- glenoid component loosening

 

TSR Anterior Instability LateralTSR Anterior Instability AP

 

Posterior

 

Cause

- excess retroversion of glenoid or humerus

- posterior glenoid erosion

- soft tissue imbalance

 

TSR Posterior DislocationRevision for Posterior Dislocation TSR Combined Anterior Posterior Approach

 

Inferior  

 

Post fracture with shortening of humerus

- important to re-establish humeral length to restore resting tension of cuff & deltoid

 

Management

 

Kany et al. JSES 2017

- 27 cases of postoperative instability following aTSA

- 10 subscapularis tears, 6 massive rotator cuff tears, 8 component malposition, 2 component loosening, 1 humeral shortening

- patients undergoing revision to rTSA did better than those undergoing other procedures

- other procedures included component revision, bone blocks, or subscapularis repairs

 

Abdel et al. Bone Joint Journal 2013

- 33 unstable aTSA revised to rTSA

- 31/33 (94%) stable at final follow up

- 30% of patients unsatisfied

 

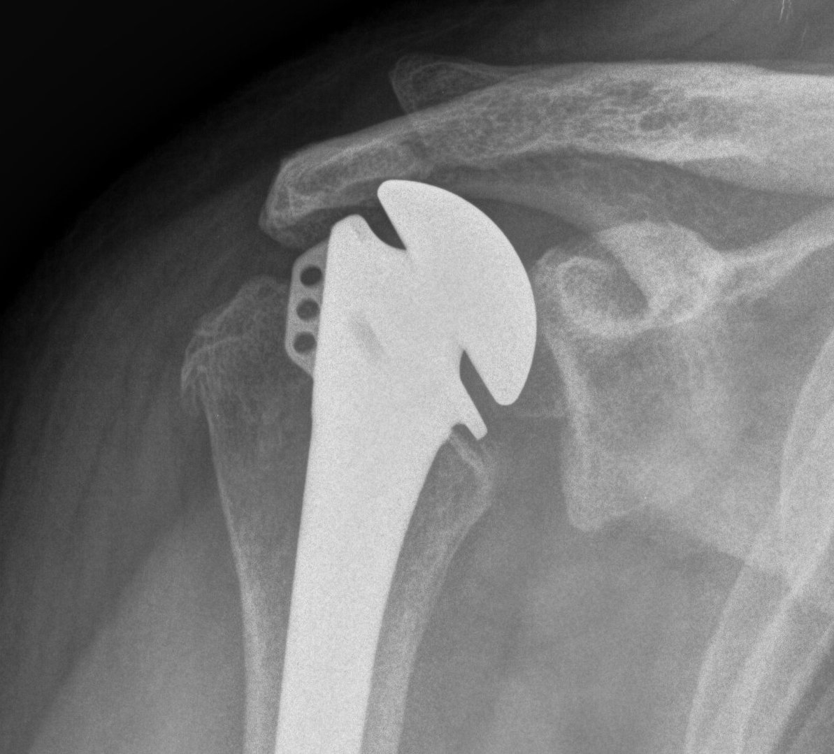
Aseptic loosening

 

TSR Loose glenoidaTSA loose glenoid

 

Glenoid Component LooseningHumeral resurface loose

 

Incidence

 

Schoch et al. JSES 2019

- 492 aTSA at 5 year follow up

- 308 (63%) had no radiolucent lines

- 184 (37%) had peri-glenoid lucency

- those with glenoid lucency had decreased ROM and patient-reported outcomes

 

Melis et al. JSES 2012

- 37 patients with loose glenoids revised to rTSA

- all had glenoid bone deficiency

- 29/37 required bone grafting

- 8/37 (21%) required reoperation - glenoid loose (3) / anterior instability (3) / humeral subsidence (2)

 

Infection

 

TSR InfectedInfected hemi

 

Microbes

 

Propionibacterium acnes renamed Cutibacterium acnes

- gram postive anaerobe

- commensal skin flora

 

Pottinger et al. JBJS Am 2012

- 193 revision arthroplasties performed for pain, loosening or stiffness

- Propionibacterium acnes / Cutibacterium acnes cultured in 70%

 

Brown et al. Shoulder Elbow 2020

- P acnes, Staph aureus, coag negative Staph, and Staph epidermidis commonest

 

Diagnosis

 

Symptoms such as fever and redness often absent

Low virulence organisms such as P acnes and S epidermidis

 

Musculoskeletal Infection Society

 

Four of the following six criteria

1.  Elevated ESR or CRP

2.  Elevated synovial WBC count

3.  Elevated synovial neutrophil percentage

4.  Pus in the joint

5.  Isolated of a microbe in one culture

6.  Greater than 5 neutrophils per high power field in 5 fields at x400

 

Prevention

 

Stull et al. JSES 2020

- RCT of 140 patients with the addition of 3% hydrogen peroxide to skin preparation

- positive skin culture C. acnes 17% hydrogen peroxide group versus 34% traditional preparation

- spacer, six weeks antibiotics, negative aspirate

 

Rao et al. JBJS Am 2018

- RCT of 56 patients with the addition of preoperative IV doxycycline

- no difference in intra-operative culture rate

 

Revision options

 

Options

 

Single stage revision

Two-stage revision

Resection arthroplasty

Permanent spacer

 

Infection TSAresection shoulder arthroplasty for infection

Cement spacer                                               Resection arthroplasty

 

Two stage technique article

 

Brown et al. Shoulder Elbow 2020

 

Shoulder spacerSpacer revision to revTSA

 

Results

 

Grubhofer et al. CORR 2018

- insertion of gentamycin / vancomycin spacer in 38 patients

- IV Abx for 2 weeks then oral antibiotics for 10 weeks

- revision to rTSA or hemiarthroplasty if glenoid deficient

- 14 / 38 spacer left in situ

- 36 / 38 (95%) had successful infection control

 

George et al. BMC Musculoskeletal 2016

- systematic review of cure rates

- resection arthroplasty 87%

- single stage revision 95%

- two stage revision 91%

- permanent spacer 96%

- not statistically significant

 

Xiao et al. JSES 2022

- systematic review of resection arthroplasty v permanent spacer for salvage

- resection 82% infection eradication

- permanent spacer 85% infection eradication

- improved clinical outcomes with spacer

 

Intra-operative fracture

 

Athwal et al. JBJS Am 2009

- 45 intra-operative fractures

- increased risk with press fit (1.7%) versus cemented (0.6%) humeral components

- increased risk with revision (3.3%) versus primary (1.2%) arthroplasty

- all united at a mean of 17 weeks

 

TSR Humeral Fracture TSR Humeral Fracture United

 

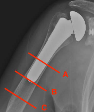
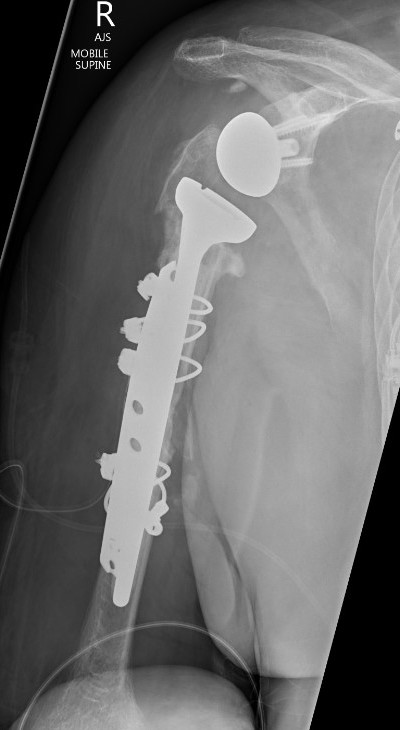
Peri-prosthetic Fracture

 

Cause

 

1.  Trauma

2.  Atraumatic - stress riser / loosening

 

Wright and Cofield Classification

 

Cofield Classfication

 

A:  Fracture centred at the tip and extends proximally greater than 1/3

B:  Fracture at tip only

C:  Fracture distal to tip of the prosthesis and extends into distal metaphysis

 

Options Humeral Shaft Fracture

 

A.  Non operative Management

- well-fixed prosthesis

- acceptable alignment

 

TSR Periprosthetic FractureTSR Periprosthetic Fracture

 

B.  ORIF

- displaced tuberosity fractures

- well-fixed prosthesis and fracture distal to prosthesis

 

Anterolateral approach and plate

 

C.  Revision

- loose humeral prosthesis / osteolysis

 

Long stem > 2 cortical diameters past fracture

 

aTSA fracture 1aTSA fracture 2revTSA following fracturerevTSA for fracture

 

Results

 

Kumar et al JBJS Am 2004

- 11 / 16 patients with periprosthetic humeral fractures treated nonoperatively

- 6 healed after 180 days of non operative treatment

- 5 required operation after 123 days for non union

- recommended all fractures can be treated nonoperatively if well aligned and prosthesis stable

- if not united by 3 months, recommend intervention

 

Neurovascular injury

 

Incidence

 

Florcynski et al. JBJS Am 2021

- incidence of clinically apparent nerve injury after aTSA is 0.63%

 

Dangers

 

Musculocutaneous nerve

Axillary nerve

Brachial plexus

 

1.  Musculocutaneous nerve

 

Branch lateral cord

- penetrates coracobrachialis 2-8 cm distal to coracoid

- palpate MCN under conjoint tendon

- place finger under tendon and sweep downwards to palpate

 

Most common cause of damage is overzealous retraction

 

2.  Axillary nerve

 

Terminal branch of posterior cord

- arises inferior to coracoid

- crosses anteroinferior border of subscapularis muscle

- exits quadrangular space with posterior circumflex humeral artery

 

Palpate

- slide finger downwards over SSC muscle

- hook finger to feel nerve

- relatively tight cord running posteriorly

- relatively protected with adduction & ER

 

Quadrangular space

- below subscapularis anteriorly

- between Teres minor and Teres major posteriorly

- between long head triceps medially and humerus laterally

- contents: axillary nerve and the posterior circumflex humeral artery

 

Splits into 2 trunks 

1. Posterior to teres minor & posterior deltoid

- terminates as superior lateral cutaneous nerve

2. Anterior passes to middle then anterior deltoid

 

Brachial Plexus

 

Diffuse injuries

Mixed picture

Thought to be secondary to stretch / traction

  

Heterotopic Ossification