Revison ACL Surgery

Graft selection

 

A.  Synthetic Grafts

 

Good initial results but unacceptably high failure rate with longer follow-up

 

Problems

 

1.   Too stiff (low ultimate strain) 

- poor resistance to abrasion

- ligament failure by attrition most common

 

2.  Recurrent synovitis, infection, loosening and osteolysis

 

B.  Autograft

 

1.  Contralateral BPTB / hamstring

2.  Reharvested central BPTB 

 

C.  Allograft

- many advantages (shorter surgery, decreased morbidity, larger bone blocks)

- disadvantages (disease risk, slower incorporation, higher cost)

- irradiation has dose dependent effect on mechanical properties with significant effect at 3 Mrads

- higher failure rates

 

Heffner et al AJSM 2023

- over 1700 revision ACL from ACL registry

- repeat revision 14% allograft

- repeat revision 6% autograft

- 70% lower risk of repeat revision with autograft compared to allograft

 

Pre-operative Assessment

 

Crucial to good outcome

 

Patient expectations

- results not as good as primary

- aim for ADL's, sports may not be possible

 

History

- history infection

- history arthrofibrosis

- has knee ever been good or always unstable

- was it good then traumatic injury

 

Examination

 

Alignment

 

ROM

- patient hyperextension linked to poor outcomes

 

Confirm ACL deficient

- Lachman's / Anterior drawer / Pivot Shift

 

Check Secondary restraints

- assess PCL / PLC

- dial test important

- may need posterior and varus stress xrays

 

Old OT notes

 

Technique / graft

Fixation techniques

Tunnel sizes

 

Xray

 

AP and Lateral

- assess tunnel placement

- Assess metal work

- types of fixation

- metal v plastic

 

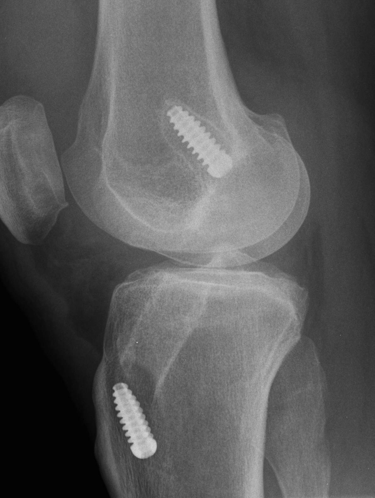
Revision ACL Lax Graft Anterior Femoral Tunnel

 

Stress xrays

- check PCL / PCL

 

MRI

 

1.  Is graft intact / non functional or ruptured

 

Revision ACL Intact but Lax GraftRevision ACL Graft Rupture

 

2.  Assess meniscus / chondral surfaces

 

3.  Evidence of other ligament injury (difficult)

 

CT

 

Assess for tunnel lysis

 

Arthroscopy / EUA

 

Confirm graft lax or torn / + Pivot Shift

 

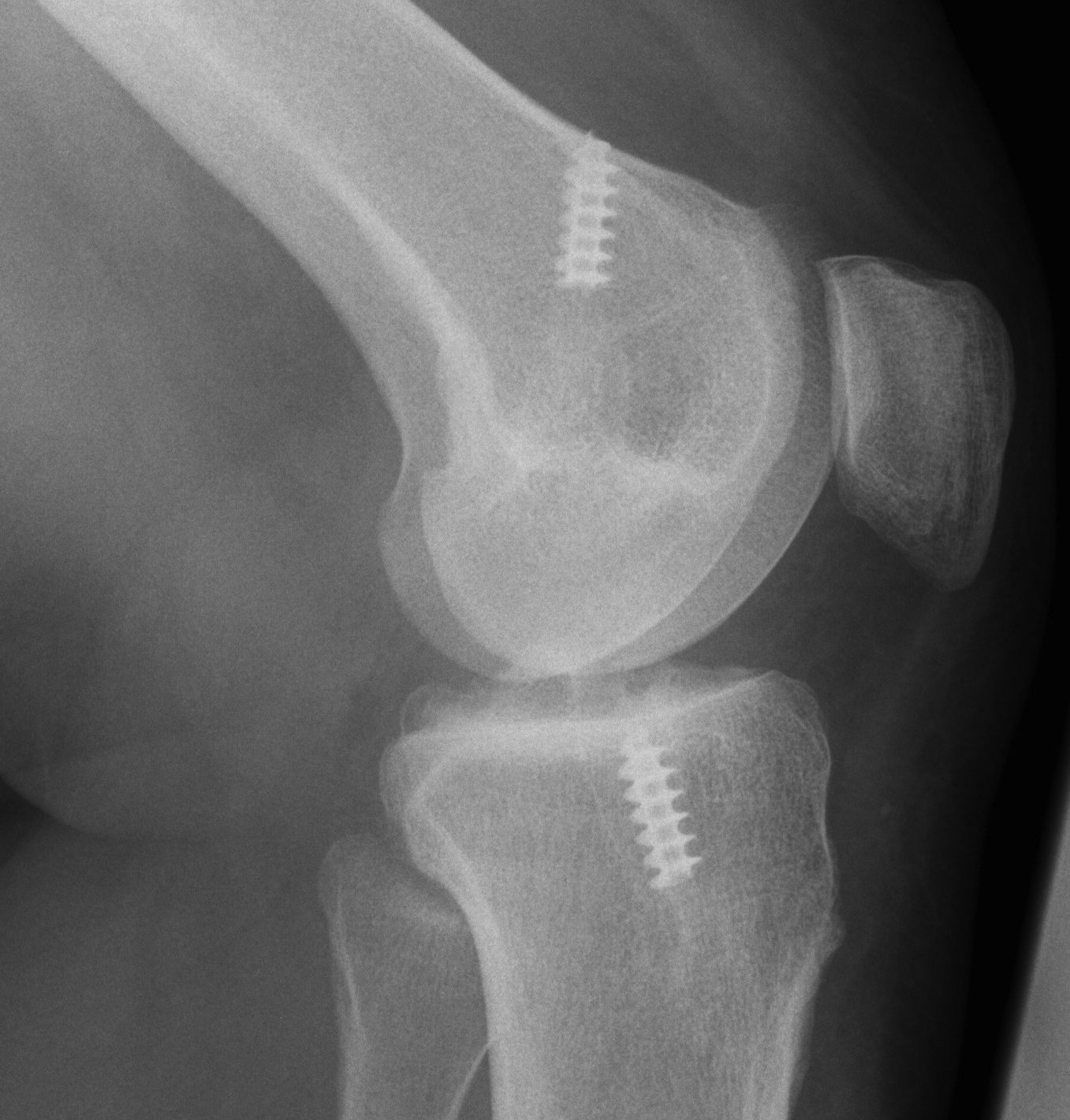
Revision ACL Lax BPTB Graft

 

4 Tunnel Situations in Revision Surgery

 

1.  Correct tunnel position, normal size

 

Reuse same tunnels

- remove hardware

- may require larger screws if some lysis

 

2.  Correct tunnel position, increased size secondary to lysis

 

Tibial and femoral tunnel Lysis

 

Staged bone grafting of tunnels

- use bone cores from iliac crest

- premade synthetic bone graft plugs

- wait for union / 3 - 6 months

- ACL revision

 

BTPB / Achilles allograft with larger bone block

 

3.  Slightly incorrect tunnel position

 

Staged bone grafting of tunnels

 

4.  Very incorrect tunnels

 

New tunnels anterior or posterior

- can leave old metalwork intact

 

Revision ACL Graft Placed posterior to old femoral tunnelRevision ACL New Posterior Femoral Tunnel

 

Surgery

 

Issues

 

1.  Skin incisions

 

2.  Hardware removal

- screwdrivers for metal RCI screws

- drill through bioabsorbable screws

- ignore endobutton

- careful removal of all material in tunnels

 

3.  Revision Notchplasty

- roof and lateral wall

- often osteophytes in this area

- must leave sufficient bone stock

 

4.  Bony tunnels

 

Find femoral tunnel

- pass beath pin

- decide if tunnel reusable

- will usually be larger

- can use screw if posterior wall remains

 

Usually do tibial tunnel last

- will lose vision as water escapes

- can be difficult to find tunnel

- use needle to find tunnel

 

5.  Graft

 

BPTB good option

- larger bone blocks useful in enlarged tunnel

 

Contralateral hamstring

- involve normal knee

- fixation difficult

 

6.  Fixation

 

Femoral

- screw if posterior wall remains

- otherwise endobutton

- can tie over screw on femur if need to 

 

Tibia

- usually scew +/- post

 

6.  Secondary restraints

 

A.  Posteromedial instability

- reconstruction / advancement

 

B.  Posterolateral

- valgising HTO

- reconstruction