Offset

Definition

 

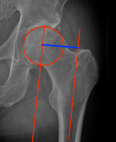
Femoral offset

- perpendicular distance

- from the centre of the femoral head

- to the long axis of the femur

 

Rubin et al J Arthroplasty 2019

- CT of 628 French patients (226 asian, 406 caucasian)

- males: 44.3mm; females: 40.6mm

- caucasian: 43.1mm; asian: 42.4mm

 

 

Femoral offsetFemoral offset

 

Acetabular offset

- perpendicular distance

- from the center of rotation of the femoral head

- to the vertical trans-teardrop line

 

Acetabular offset

 

Effect of short offset

 

Abductor weakness / Trendelenburg gait

Impingement

Lax soft tissues increase risk of instability / dislocation

 

Effect of increased offset

 

Theoretical increase in torque forces on stem and cement

? perception increased leg length

? abductor tendonitis

 

Factors affecting offset

 

Zimmer

Zimmer Taperloc offset options   

 

Neck shaft angle

Head neck length

Anteversion

Femoral osteotomy level

Position of acetabulum

 

Exeter offsetExeter offset

Stryker Exeter offset options

 

Mechanisms of altering offset in THA

 

S&NLateralised stems

Smith & Nephew Anthology offset options

 

1. Decrease neck shaft angle

- more varus neck shaft angle increases offset

 

2. Increase head neck length

- improves abductor tension

- lengthens leg

 

3.  Lateralized femoral stems

- stem is latealized, neck is medialized

- common design with high offset stems

 

4.  Acetabular component

 

Lateralised liners

- increase offset whilst preserving leg length

 

Medialising acetabulum / centre of rotation

- decreases offset

 

Methods of restoring offset

 

1.  Radiographic 2D preoperative templating

 

TemplateTemplate

 

Issues

 

1.  Affected by rotation

- take xrays with hip internally rotated by 20 degrees

- to account for femoral anteversion

- anteversion varies between patients

 

2.  Accuracy

 

Merle et al JBJS Am 2012

- 100 patients with OA with xrays and CT scans

- AP pelvis underestimated offset by 13%

- AP hip and CT scan hip correlation

 

2.  3D xray preoperative templating

 

EOS imaging system

- acquisition of simultaneous and orthogonal AP and lateral images of the patient

- create 3D reconstructions

 

Buller et al J Arthroplasty 2021

- EOS templated femoral and acetabular size to within 1 in 98% of cases

- femoral offset predicted in 83% of cases

 

2.  3D CT scan preoperative templaing

 

Stryker CT

Stryker CT preoperative templating - compares offset from midline NOT femoral offset

 

Bishi et al EFORT Open Rev 2022

- meta-analysis

- 3D > 2D

- CT most accurate

 

2. Intra-operative measurement

 

Offset jigs

 

Measurement jigs

- 2 fixed reference points

- pelvic landmark and femoral landmark

- limb in consistent position

- measure length and offset

 

3.  Intraoperative maneuvers

 

Shuck test

- distraction of hip joint with in line traction

 

Dropkick test

- hip extended, bend knee to 90o

- if too tight, rectus femoris is taut and passively extends the knee

 

4. Intra-operative xrays

 

Debbi et al J Arthroplasty 2020

- 100 patients with intra-operative xrays

- limb length within 5 mm in 100%

- offset within 5 mm in 97%

 

5. Computer navigation

 

stryker CT navigation

Stryker Mako Robot Navigation

 

Clave et al Orthop Traumatol Surg Res 2015

- 325 cases THA with computer assistance

- 83% of leg length restored to within 5 mm of contralateral hip

- 88% of offset restored to within 5 mm of contralateral hip