Types
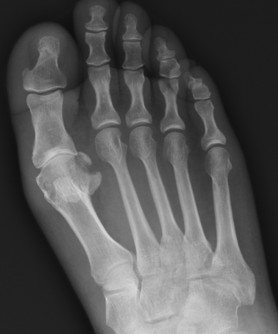
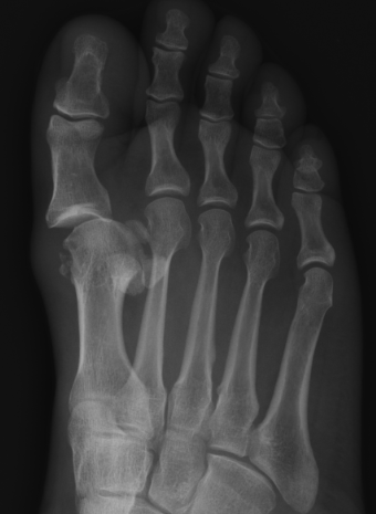
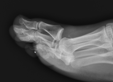
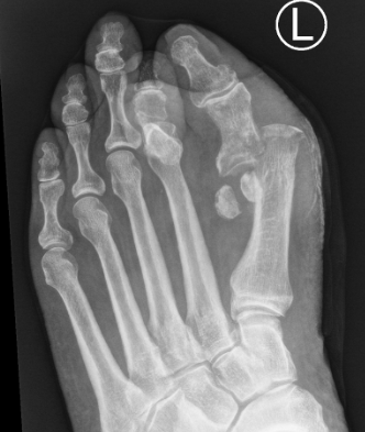
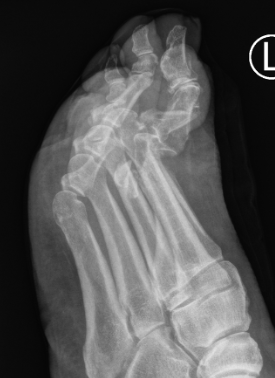
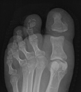
1st MTPJ dislocation
Interphalangeal joint dislocation
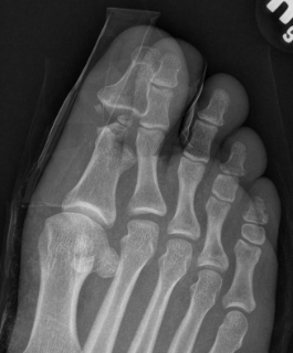
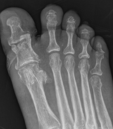
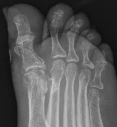
Great toe MTPJ dislocation



Pathology
Hyperdorsiflexion
Metatarsal head dislocates plantar
- tear of plantar plate / disruption bipartite sesamoid
- may buttonhole through capsule / plantar plate
Xray


Blocks to closed reduction
Capsule / plantar plate
Sesamoids
Inter-sesamoid Ligament
Open Reduction
Dorsal approach
- protect dorsal superficial nerve (branch of SPN)
- divide capsule medial to EHL
Reduce and repair plantar plate / bipartite sesamoid
+/- K wire
Surgical approach to 1st MTPJ dislocation
Interphalangeal joint dislocation



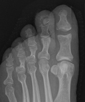
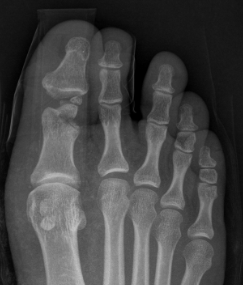
Pathology
Hyperdorsiflexion
P1 head dislocates plantar
Fractures
Xray






Blocks to closed reduction
Sesamoid interposition
Open Reduction
Dorsal Approach
- protect dorsal superficial nerve
- divide capsule medial to EHL
Reduce +/- K wire
Surgical approach to interphalangeal joint dislocation