Apophyseal Avulsions

Pelvic apophyseal avulsions

 

Mechanism

 

Rapid muscle contracture

Typically seen in adolescent athletes

 

Injuries

 

Calderazzi et al Acta Biomed 2018

- systematic review of apophyseal avulsion fractures of the pelvis

- mean age 14.5

 

AIIS avulsion 46%

ASIS avulsion 32%

Ischial tuberosity avulsion 12%

Iliac crest avulsion 11%

Lesser trochanter avulsion 2%

Pubic symphysis avulsion 1%

 

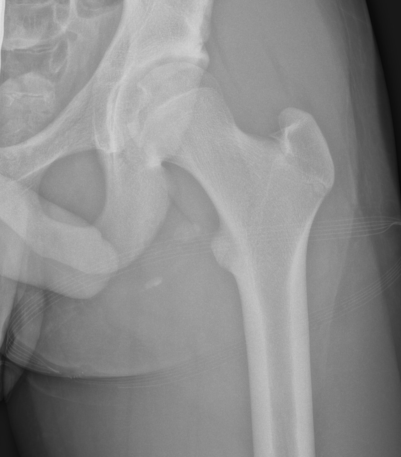
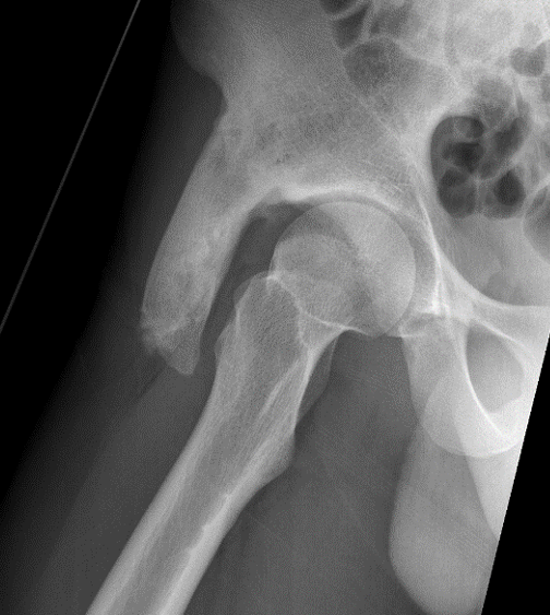
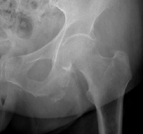
ASIS Avulsion

 

ASIS avulsion

 

Attachments

 

Sartorius & Tensor fascia lata

 

Imaging

 

ASIS displaced 1ASIS displaced 2

 

ASIS CT 1ASIS CT 2ASIS CT 3

 

Management

 

Good results reported with nonoperative treatment of both minimally displaced and displaced

 

Results

 

Kautzner et al Int Orthop 2014

- 10 patients with minimally displaced avulsions treated nonoperatively

- 13 patients with displaced fractures treated with surgery

- complete union and full return to sports in all patients at comparable times

- faster recovery in operative groups

- 5 minor cases of heterotopic ossification in operative group

 

Cai et al Orthop Traumatol Surg Res 2020

- compared operative v nonoperative treatment of ASIS displaced > 1.5 cm

- faster return to sport with operative group

- no difference between two groups at 6 months

 

Technique

 

Surgical technique PDF ASIS avulsion

 

ASIS surgery

 

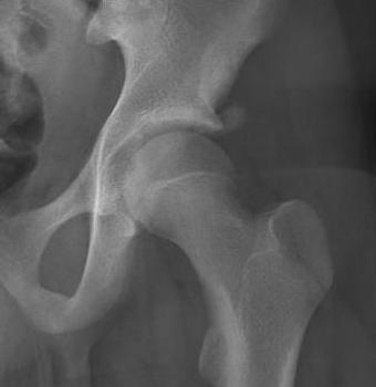
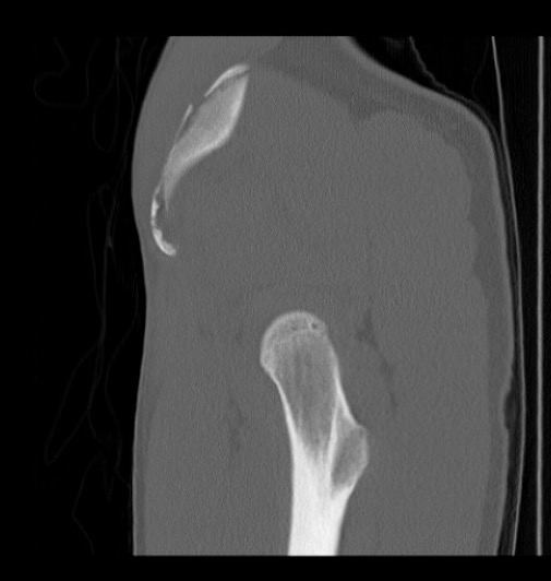
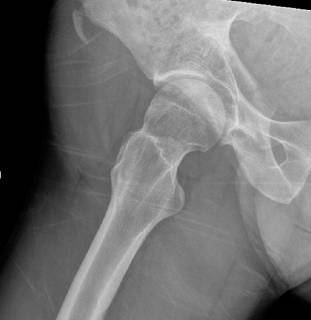
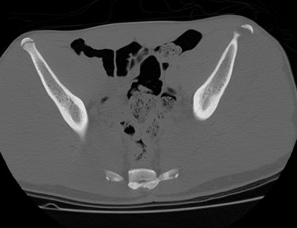
AIIS Avulsion

 

AIIS avulsion 1AIIS avulsion 2AIIS avulsion 3

 

Attachment

 

Rectus femoris

 

Nonoperative Management

 

Serbest et al Medicine 2015

- 5 cases managed nonoperatively

- all patients reported pain relief and full return to activities

 

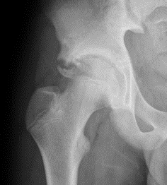
Issues

 

1.  Can develop hip impingement / subspine impingment

 

ASIS subspine impingement

 

2.  Heterotopic ossification

 

AIIS HO 1AIIS HO 2

AIIS HO 1AIIS HO 2

 

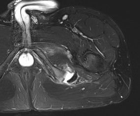
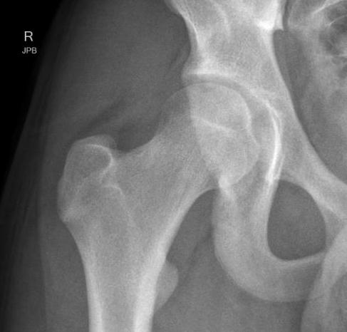
Ischial Tuberosity avulsion

 

Attachments

Semimembranosus / Conjoint tendon / +/- adductor magnus

 

Xray

 

Ischial tuberosity avulsion 1Ischial tuberosity avulsion 2

 

Ischial tuberosity avulsion

 

MRI

 

Ischial tuberosity avulsion 3Ischial tuberosity avulsion 2

 

 

 

Indications for surgery

 

> 1.5 cm displacement

 

Results

 

Mitchell et al JBJS Am 2021

- 45 patients

- small lateral fragments had semi-membranosus and conjoint

- larger fragments also had adductor magnus attachment

- 50% nonunion rates

 

Ferlic et al KSSTA 2014

- 4 patients with displacement < 15 mm treated nonoperatively all did well

- 2/4 patients with displacement > 15 mm treated nonoperatively did well despite pseudoarthrosis

 

Vadhera et al J Paediatr Orthop B 2022

- systematic review of 90 cases of bony avulsion ischial tuberosity

- average age 15

- return to sport with operative management 95%

- return to sport with nonoperative management 73%

 

Technique

 

Arthroscopy Technique Ischial Tuberosity Avulsion

 

Lesser trochanter avulsion

 

Psoas Avulsion

 

Attachment

 

Iliopsoas tendon

 

Results

 

Volpi et al Cureus 2021

- 31 cases with average 5 mm displacement

- average age 14

- 100% return to sport at mean of 2.5 months

 

Technique

 

Arthroscopic lesser trochanter avulsion repair

 

Iliac crest apophysis avulsion

 

Attachment

 

External oblique / transversus / internal oblique

Typically minimal displacement

 

Indications for surgery

 

Significant displacement

 

Results

 

Li et al Injury 2014

- ORIF of 10 patients with avulsion of iliac crest apophysis

- cannulated screws

- all good outcomes