Acute management

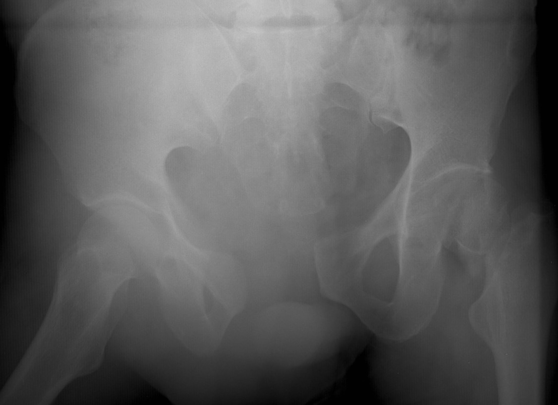
Pelvic fracture APC

 

Pelvic hemorrhage

 

Mortality

 

Constantini et al J Trauma Acute Care Surg 2016

- multi-centred prospective study of 1339 patients with pelvic fractures at Level 1 trauma centers

- overall mortality 9%

- pelvic trauma with shock has 30% mortality

 

Dente et al Am J Surg 2005

- 44 open pelvic fractures

- overall mortality 45%

- concurrent intra-abdominal injury 89% mortality

- pelvic sepsis 60% mortality

 

EMST / ATLS principles

 

Blood transfusion protocols

1:1:1 Plasma / Platelets / RBC

 

Transexamic acid

Loading dose 1g over 10 min then infusion of 1g over 8 h

 

Abdominal FAST scan to identify intra-abdominal bleeding

 

Rectal and vaginal examination

 

Patients in persistent shock despite blood transfusion (systolic 70 - 80 mmHg) go to operating room

 

Provisional Stabilization in the Emergency Room

 

Concept

 

Reduce pelvic volume and stabilize pelvic ring

 

Options

 

Sheet / Pelvic Binder/ C-clamp

 

Results

 

Pizanis et al Injury 2013

- 207 patients treated with sheet (16%) v pelvic binder (15%) v C-clamp (69%)

- higher incidence of lethal bleeding with sheet (23%) v pelvic binder (4%) v C clamp (8%)

 

Audretsch et al Sci Rep 2021

- compared 40 patients with type C fractures with no stabilization v pelvic binder v C-clamp

- shorter time to application with pelvic binder

- no evidence of advantage of C-clamp over pelvic binder

 

Schmal et al Injury 2019

- use of C-clamp resulted in 5 fold increase infection for subsequent SI joint screws

 

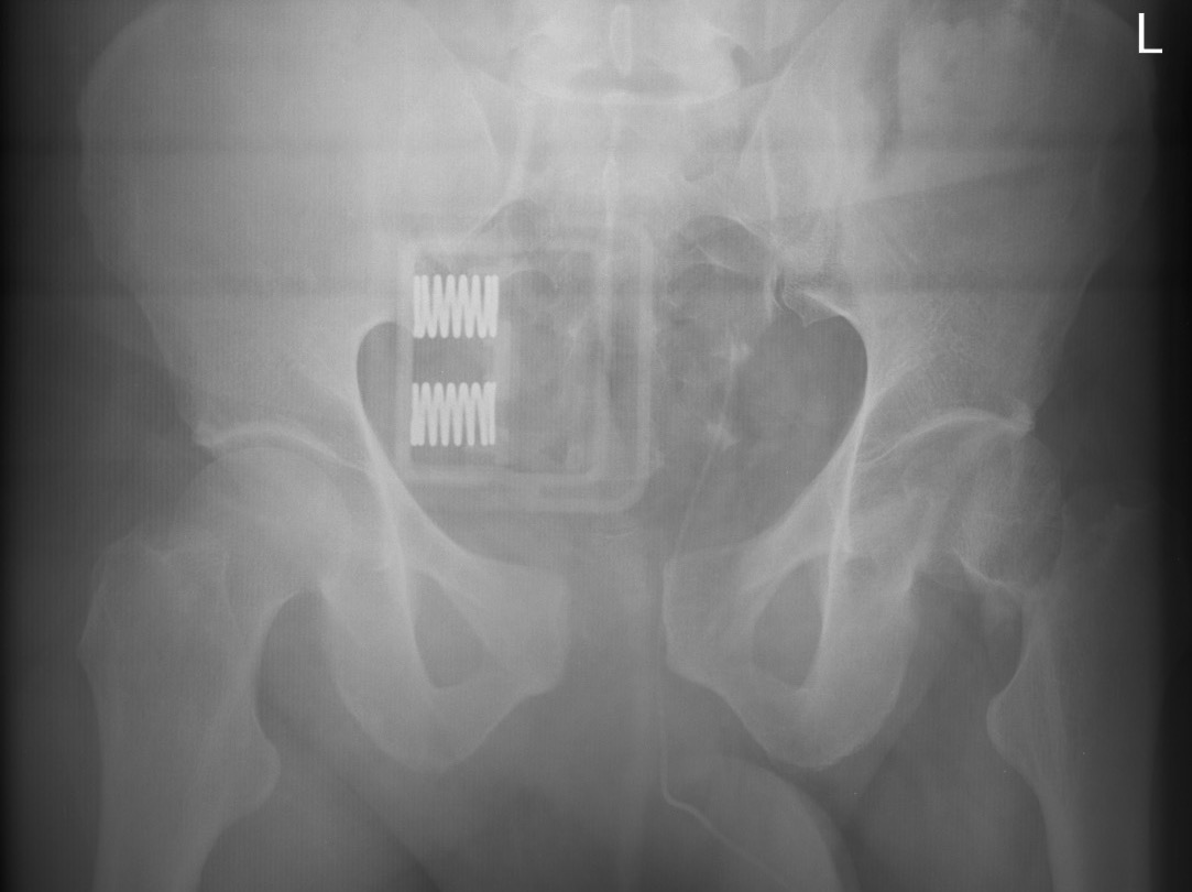
Pelvic binder

 

Simple, easy to use

Apply over greater trochanter

 

Pelvic binder 1Pelvic binder 2Pelvic binder

 

APC pre binderAPC post binder

APC fracture pre- and post binder (note improper position cranial to trochanters)

 

C clamp

 

C Clamp 1C clamp 2C clamp 3C clamp 4

 

Contra-indications

 

Contra-indicated in iliac wing fracture / can over compression in cases with sacral comminution

 

Technique

 

AO foundation technique

Synthes surgical technique PDF

 

Entry point of steinmann pins

- intersection of 2 lines

- line parallel with femur / line back from ASIS

 

Management of hemodynamically unstable pelvic fractures

 

Sources of hemorrhage

 

Arterial bleeders 15%

 

Abboud et al BMC Emerg Med 2021

- CTa of 127 consecutive pelvic fractures

- 12% had intra-pelvic arterial bleeders

- most common:  obturator artery / superior gluteal / inferior gluteal arteries

- others: internal iliac / internal pudendal / fifth lumbar / lateral sacral / ilio-lumbar

- APC > Vertical shear > LC

 

Venous bleeding 85%

 

Presacral or lumbar venous plexus

Fracture site

 

Options

 

External fixation + extra-peritoneal pelvic packing

Pelvic angiography + embolisation

 

Pelvic packing versus Angiography

 

In the hemodynamically unstable patient with a bleeding pelvic fracture

- early pelvic packing and external fixation

- +/- subsequent embolization as needed

 

Osborn et al Injury 2016

- RCT of 56 patients with hemodynamically unstable pelvic ring fractures

- pelvic angiography (ANGIO) versus retroperitoneal pelvic packing (PACK)

- median time to ANGIO was 102 minutes versus 77 minutes to PACK

- 9/27 (33%) ANGIO patients required packing for persistent bleeding

- 6/29 (21%) in the PACK group required angio for persistent bleeding

- 2 patients in ANGIO group died from exsanguination

- 0 patients in PACK group died from exsanguination

 

Chiara et al World J Emerg Surg 2017

- 78 patients with hemodynamically unstable pelvic fractures where pelvic was major source of bleeding

- extra-peritoneal packing reduced mortality from 50% to 20%

 

Tai et al J Trauma 2011

- hemodynamically unstable pelvic fractures

- treated with angiography versus packing +/- subsequent angiography as needed

- mortality 70% in ANGIO group versus 36% in PACK and subsequent angio group

 

Li et al J Orthop Traumatol 2022

- meta-analysis of packing v angiography

- 8 studies and 480 patients

- packing thought to reduced mortality and transfusion

 

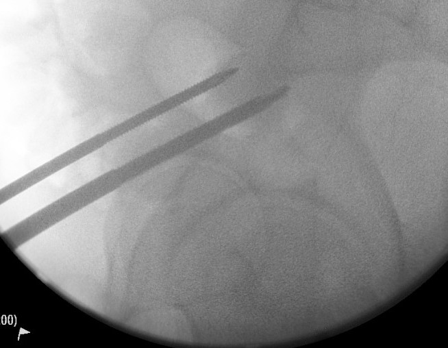
Retro-peritoneal packing + external fixation

 

Pelvic packing

 

Vumedi video of peritoneal packing

 

Packs need to be removed at 48 hours due to infection risk

Ensure bladder decompressed with foley catheter

 

Retroperitoneal packing 1Retroperitoneal packing 2

Retroperitoneal packing in unstable patient with pubic diastasis and pelvic bleeding

 

Pelvic ex fixPelvic ex fix 2

 

External fixation technique

 

Indications

 

Hemodynamically unstable patients

Anterior pelvic ring injuries

Can be definitive treatment for those with open or visceral injuries precluding anterior internal fixation

 

Options

 

Iliac crest frame

 

Supra-acetabular frame

- pins in AIIS

- requires fluoroscopy

 

Technique iliac crest

 

Vumedi video sawbones iliac crest external fixation

 

Vumedi video intra-operative iliac crest external fixation

 

Technique supra acetabular

 

AO foundation pelvic supra acetabular external fixation technique

 

Vumedi video supra acetabular external fixation

 

Pelvic ex fix 1Pelvic ex fix 2

 

Pelvic ex fix 3Pelvic ex fix 4