

Definition
Rotator cuff tendinopathy
- inflammed tendon without tears causing pain
- likely on the degenerative continuum of rotator cuff tears
Impingement syndrome
- pain from tendinopathy was historically thought to be caused by subacromial impingement
- it has bee proven that there is no efficacy of performing acromioplasty with flat or curved acromions
Etiology
| Extrinsic / CA arch impingement | Intrinsic |
|---|---|
|
Thought historically to be main factor May be related to muscle weakness |
Rotator cuff inflammation / tendinopathy / degeneration |
|
Acromial spurs Thickened CA ligament Degenerative AC joint Os acromiale |
Older age Medical issues Shoulder overuse - athletes - physical labor |
- systematic review of risk factors for rotator cuff tendinopathy
- age > 50
- diabetes
- work above shoulder height
Pathology
Codman's Critical Impingement Zone
- zone of hypoperfusion
- centered on supraspinatus tendon insertion
Acromial Morphology
Bigliani / Assess on Supraspinatous Outlet View / Scapula Lateral
| Type 1: Flat | Type II: Curved | Type III: Hooked |
|---|---|---|
![]() |
![]() |
![]() |
Andrea et al Skeletal Radiol 2024
- 850 patients with suspected shoulder impingement
- type III in 16%
- meta-analysis of acromial morphology and rotator cuff tears
- type III acromial spurs associated with rotator cuff tears
- type I and II are not


Type III acromial spur associated with a full thickness rotator cuff tear
Symptoms
Pain with overhead use
Examination
| Painful arc | Neer impingement sign | Hawkins sign |
|---|---|---|
| Pain with abduction 70-120° |
Stabilize scapula from behind patient Passively elevate arm in scapula plane
|
Forward flex arm Bend elbow Internally rotate arm |
![]() |
![]() |
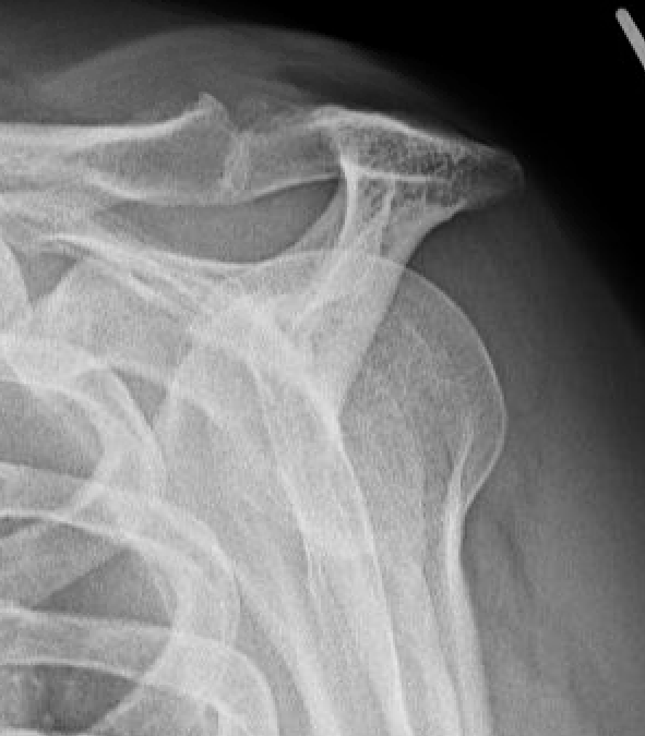
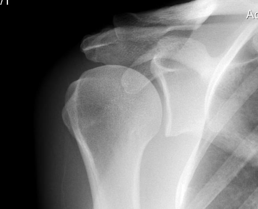
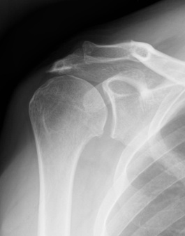
X-ray
| AP | Supraspinatus outlet view | Axillary lateral |
|---|---|---|
|
Sclerosis greater tuberosity / acromion Lateral Acromion spur |
Acromial morphology | Os acromiale |
![]() |
![]() |
![]() |
Ultrasound
Dynamic impingement
Bursitis
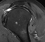
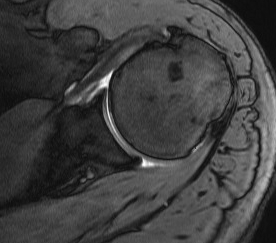
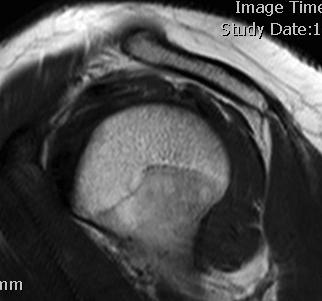
MRI
Inflammation and thickening of the rotator cuff tendons


Mild inflammation of the supraspinatus tendon insertion


Thickening and edema of the supraspinatus and infraspinatus tendon


Subscapularis tendinosis
Nonoperative management
Physiotherapy
Rotator cuff strengthening - subscapularis and infraspinatus exercises with therabands
Ravichandran et al J Exercise Rehab 2020
- systematic review of scapula stabilization for impingement syndrome
- evidence of efficacy
Gutierrez et al Phys Ther Sport 2020
- systematic review of home exercises and physiotherapy
- both effective for impingement syndrome
ESCW
Harudy et al Am J Phys Med Rehab 2024
- meta-analysis of 9 RCTs using ESCW for non calcific tendinopathy
- small improvement in pain
- no improvement in function
Cortisone injection
- systematic review of cortisone for rotator cuff tendinosis
- small transient relief for 4 - 8 weeks
- no difference compared to placebo at 3 months
PRP injections
Ziroglu et al Orthop J Sports Med 2024
- RCT of exercise v exercise + 2 x PRP injections for impingement syndrome
- superior outcome with addition of PRP
Roy et al J Orthop Case Rep 2025
- meta-analysis of 30 RCT comparing PRP to placebo and corticosteroids
- PRP superior up to 1 year
Operative Management / Acromioplasty
Acromioplasty
Indication
Large / type III acromial spur
Not indicated for flat (type I) or curved (type II) acromions
Results
- RCT of subacromial decompression v diagnostic arthroscopy for shoulder impingement
- 175 patients with 5 year follow up
- no differences between the groups
Arthroscopic acromioplasty
Technique
Beach chair / lateral
- posterior viewing portal subacromial space
- lateral working portal
- bursectomy with shaver
- electrocautery to release / resect CA ligament
- use burr to perform anterior acromioplasty

CA ligament above shaver and cuff


Large acromial spurs


Spur resection
Open acromioplasty
Technique
Beach chair
- incision along anterolateral border acromion
- release anterior deltoid from acromion
- split anterior / middle deltoid raphae
- release CAL ligament
- protect underlying cuff with retractor
- use oscillating saw to resect anterior acromion level with anterior clavicle
- +/- resect distal clavicle
- +/- resect bursa / inspect rotator cuff
- reattach deltoid No. 2 ethibond intraosseous sutures





