Conditions
Acro-osteolysis
SLE
Scleroderma
Psoriasis
Acro-osteolysis

Definition
Absorption of distal tuft of phalanx
DDx
Psoriasis
Scleroderma / Raynauds
Frost Bite
Hyperparathyroidism
Diabetes
Vasculitis
Leprosy
RA rarely
Gout
SLE
Pathology
Similar hand appearances to RA
- no joint destruction even in setting gross deformity
Pathophysiology
Autoimmune disorder
Distension of joint from synovitis rather than destruction of joint
Pannus not as aggressive as RA
Symptoms
Migratory poly arthralgia
Flexor tenosynovitis
MP and PIP arthritis
Raynaud's
AVN of carpus
Other
- butterfly rash
- lymphadenopathy
- pleuritis / pericarditis / Glomerulonephritis
- haemolytic anaemias
Xray
Effusions
Juxtacortical osteopenia
Subluxation / dislocation
Bone infarction and abnormal calcification
Joint destruction = Co-existent RA
Diagnosis
ANA
dsDNA
Management
Aimed at rebalancing soft tissues
- may be inadequate
- may have to resort to fusion
Scleroderma
Pathophysiology


Autoimmune disease
Unknown aetiology
Small vessel disease
Fibrosis in multiple organ systems
DDx
RA
- 40% patients have RF
Epidemiology
Patients female and middle ages
CREST Syndrome
1. Calcinosis
2. Raynaud's
3. Esophageal Strictures
4. Sclerodactyly
5, Telangiectasia
Hands
Stiff shiny digits
Loss of creases
Acral tapering of digits
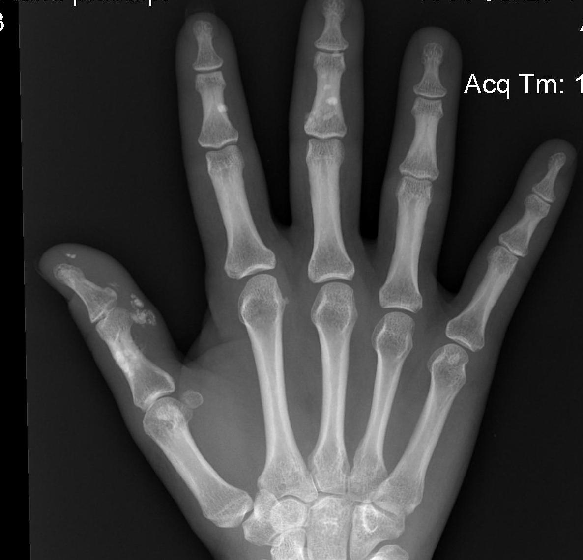
Autoamputation (acro-osteolysis)
Telangiectasia
Calcium nodules
Extraskeletal
Lung fibrosis
CRF
X-ray
1. Calcium subcutaneous / extra - articular / occasionally intra-articular
2. Acro-osteolysis of the tufts of DP (80% patients)
Osteopenia
Joint erosion
- RA part of DDx
Resorption of thumb CMC
- subsequent radial subluxation of the thumb MC
Psoriasis

Pathophysiology
Autoimmune disease
- seronegative arthritis
5-10% of RA have psoriasis
DDx from RA
Asymmetrical distribution
Seronegative
Psoriatic rash
Nail changes / pitting
Often less aggressive
- typically DIPJ more involved
- may have less synovitis but bone and soft tissue destruction still occur
Classification
1. Classic - involvement of DIPJ joints of hands
2. Deforming - with ankylosis & arthritis mutilans
3. RA - Like - similar to RA but without RF
4. Monarthritis
5. Ankylosing Spondylitis - like
Hand X-ray
Periarticular phalangeal erosions
- asymmetrical
- no periarticular osteopenia
Periosteal new bone formation along MC / MT shafts
DIPJ
- typical 'Pencil in cup' deformity of DIPJ
- P3 tuft resorption & whittling

Juvenile Rheumatoid Arthritis
Differences from Adult RA
Usually much milder course
- 50-70% achieves remission
Deformity often opposite of Adult
- short ulna
- ulna hand / MC's
- radial deviation of fingers
Hands
Boutonniere deformity common
Intrinsic tightness uncommon
Extensor tenosynovitis signs uncommon
First sign is usually rupture of tendons with dropped wrist