

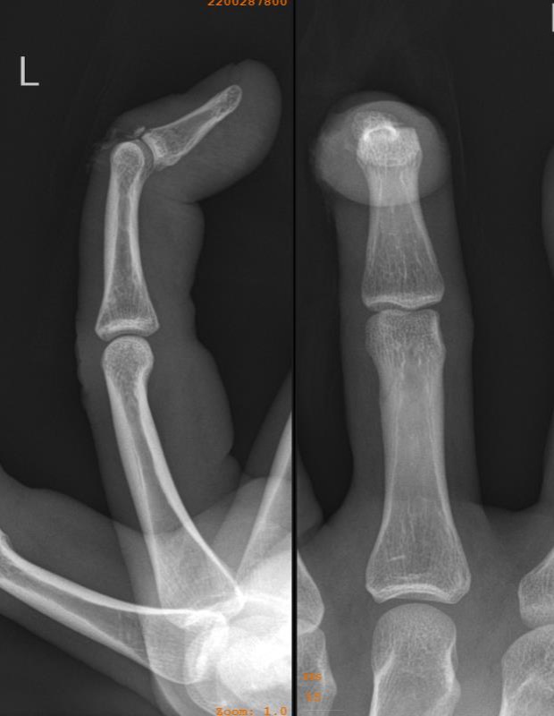
Pathology
1. Soft tissue
- extensor tendon rupture from distal phalax
- laceration / crush injury



2. Bony fracture
![]()

Clinical
Drop finger / extension lag of the DIPJ
Mechanism
Axial load
- extensor tendon attached to bony fragment
Non operative management
Closed treatment
- mallet splint (Stack)
- expect 10o extensor lag with mild loss ROM
- good results with non – op management
Operative Management
Indication
- volar subluxation of distal phalanx
- fragment > 50% joint surface
- chronic > 12 weeks old
Open treatment
- high incidence of complications
- percutaneous K wire recommended
Technique
1. Reduce and axial K wire
2. Dorsal blocking K wire / axial K wire
Wehbe and Schneider JBJS Am 1984
- 21 patients with intra-articular fractures
- 15 treated non operatively
- 6 treated operatively
- nil improvement in outcome
- worsened surgical morbidity