Types
Flexion-Distraction / Teardrop
Extension-Distraction / Teardrop
Flexion-Distraction / Teardrop
Mechanism
Severe axial / hyper-flexion injury
- diving into swimming
- 3 column injury
- high incidence of spinal cord injury
Pathology
Anterior column fails under compression
- hearing of the anterior vertebral body
- rupture of the ALL
- disruption of the discoligamentous complex
Posterior column fails under tension
- disruption of PLL
Retrolisthesis of upper spinal column
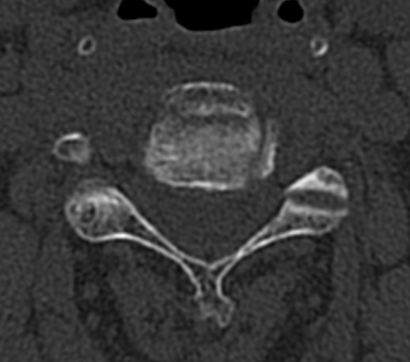
Xray / CT


Large antero-inferior body fragment / tear drop
- > 20 %
- stays attached to ALL
+/- posterior superior fragment retropulsed into canal
MRI

Teardrop fracture with disruption of ALL with cord contusion and disc prolapse
DDx
Extension tear drop injury
- fragment much smaller
- stable injury
Management
Urgent reduction
- tongs
- GA
Anterior +/- posterior fixation
![]()
![]()


Results
- HTB (24) versus anterior fixation (21)
- increased kyphosis in HTB patients
- five failures in HTB patients
Extension-distraction teardrop
Mechanism
Forced extension
Pathology
Antero-inferior avulsion fracture of the ALL
Stable in flexion
Not thought to be as severe as flexion-teardop
Epidemiology
Common with Ankylosing Spondylitis / DISH
Xray / CT
Usually thin fracture fragment
Widening of disc anteriorly


Stages
1. Anterior ligament failure
– disc space widening (or transverse fracture of vertebral body)
2. Posterior ligament failure
- retrolisthesis of superior vertebral body
Management
Anterior +/- posterior approach
Results
- meta-analysis of surgical approach for Ankylosing Spondylitis patients
- no signficant difference between anterior / posterior /combined