


Buttock Arm Elbow
Epidemiology
Heterogenous group
- >50 different histological and molecular types
- each with variable clinical behaviour
- different therapeutic approach
Rare
- 5 cases / 100,000
- 1% of adult malignancies
- usually middle age
Presentation
Painless soft tissue mass
Increasing in size
Location
40-50% extremities
13% trunk
Remainder head & neck, retroperitoneal
Concerns
Superficial mass > 5 cm
Deep soft tissue mass
Retroperitoneal mass
MRI
Anatomy / neurovascular involvement


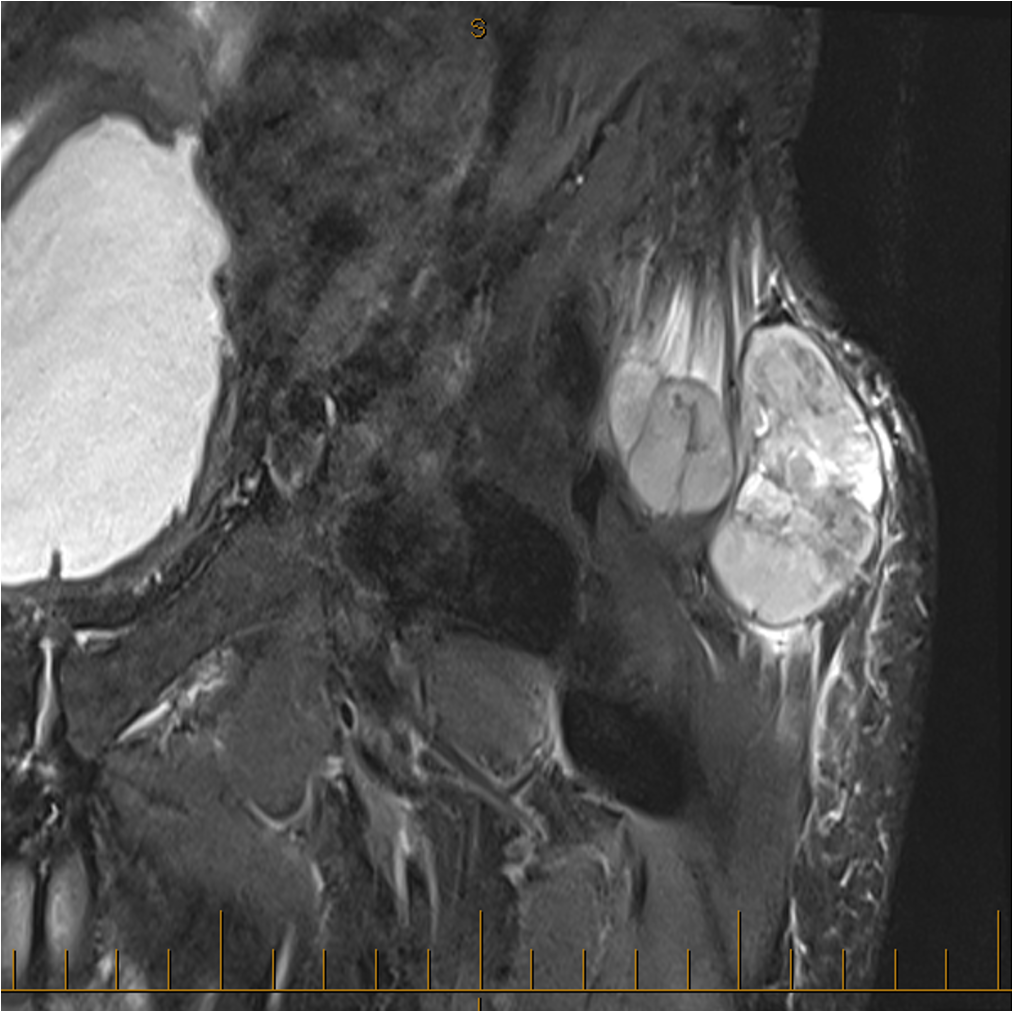
Sarcoma medial thigh

Sarcoma anterior thigh


Sarcoma posterior thigh



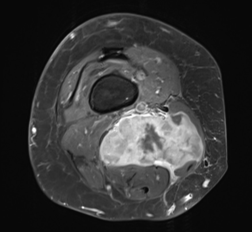
Sarcoma buttock


Sarcoma knee


Superficial tibial sarcoma


Forearm sarcoma
Histology

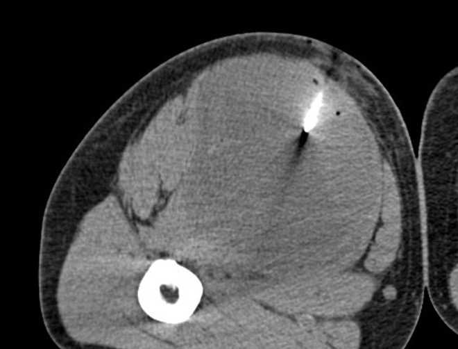
Biopsy critical
- core needle biopsy under image guidance in tract of future surgical resection
- multiple samples important
Strauss et al J Surg Oncol 2010
- 426 patients with soft tissue masses
- half malignant, half benign
- sarcoma accuracy 98%
- high grade v low grade sarcomas accuracy 86%
- Tumour subtype sarcoma accuracy 88.0%
Specialist sarcoma pathologist
- histological subtypes are a major prognostic factor
- microscopic
- immunohistochemistry
- molecular genetics
Classification
Most common sarcomas (75%)
- liposarcoma (20-25%)
- leimyosarcoma
- myxofibrosarcoma
- undifferentiated pleomorphic sarcoma
- synovial sarcoma
2020 WHO classification of soft tissue tumours
Adipocytic - liposarcoma
Fibroblastic / myxofibroblastic - fibrosarcoma, myxofibrosarcoma
Skeletal muscle - rhabdosarcoma
Smooth muscle - leiomyosarcoma
Vascular - epitheliod haemangioendothelioma, angiosarcoma, Kaposi's sarcoma
Fibrohistiocytic - malignant tenosynovial giant cell tumour
Pericytic / perivascular - malignant glomus tumour
Chondro-osseous - extraskeletal osteosarcoma
Peripheral nerve sheath tumour - malignant peripheral nerve sheath tumour
Tumours of uncertain differentiation - synovial sarcoma, clear cell sarcoma, undifferentiated sarcoma, pleomorphic sarcoma
Undifferentiated small round sarcomas of bone and tissue
Tumour grading
French Federation of Cancer Centers Sarcoma Group (FNCLCC) system
| Differentiation score |
1 Sarcomas closely resembling normal adult mesenchymal tissue 2 Sarcomas for which histologic typing is certain 3 Undifferentiated, synovial cell, primitive neuroectodermal |
| Mitotic count score |
1 0-9 mitoses per 10 HPF 2 10-19 mitoses per 10 HPF 3 ≥20 mitoses per 10 HPF |
| Tumour necrosis |
0 No necrosis 1 <50% tumor necrosis 2 ≥50% tumor necrosis |
French Federation of Cancer Centers Sarcoma Group Histologic Grade
| Grade 1 | Total differentiation, mitotic count and necrosis score of 2 or 3 |
| Grade 2 | Total differentiation, mitotic count and necrosis score of 4 or 5 |
| Grade 3 | Total differentiation, mitotic count and necrosis score of 6, 7, or 8 |
- 1240 patients with sarcoma
- 5-year metastasis-free survival rate
- grade 1 91%
- grade 2 tumors 71%
- grade 3 tumors 43%
- 10,000 sarcoma patients
- low grade lesions: recurrence <10% in patients with low-grade lesions at 20 years
- high grade lesions: survival 60% at 10 years
Staging
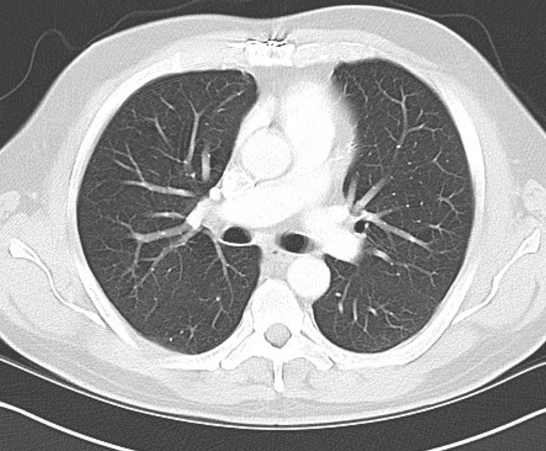
CXR, CT chest / abdomen
+/- bone scan, PET scan



AJCC (American Joint Committe on Cancer) staging system (TMN)
| Stage | Size | Lymph node | Metastasis | Grade |
| IA | <5 | - | - | Low |
| IB | >5 | - | - | Low |
| II | <5 | - | - | Intermediate / High |
| IIIA | 5-10 | - | - | Intermediate / High |
| IIIB | >10 | - | - | Intermediate / High |
| IVA | Any | Regional | - | Any |
| IVB | Any | Any | Present | Any |
Management
Concept
Wide Resection + Radiotherapy
- wide resection for local control
- radiotherapy to prevent local recurrence
Role of chemotherapy in adult sarcoma uncertain
Treatment in specialized centres
- nationwide registry in France
- 35,000 patients
- patient management in a specialized centre increased overall survival
- surgery outside specialized centre associated with decreased survival
Multidisciplinary Tumour Boards
Radiologist / Pathologist / Medical and Radiation Oncologist / Orthopaedic Oncologist
Radiotherapy
Daily for 5 - 6 weeks
Efficacy
- RCT of 91 patients with high grade extremity sarcoma
- randomized to receive radiotherapy after limb sparing resection
- local recurrence 1.4% with radiotherapy
- local recurrence 24% without radiotherapy
Preoperative versus postoperative radiotherapy
- RCT of 190 patients
- randomized to preoperative versus postoperative radiotherapy
- increased wound complications in the preoperative group (35% v 17%)
- overall survival slightly better in preoperative radiotherapy
Gingrich et al Ann Surg Oncol 2017
- database of 28,000 patients with extremity sarcoma
- comparison of preoperative and postoperative radiotherapy
- patients with preoperative radiotherapy had increase rates of negative surgical margins (90% v 75%)
- negative margins association with increased overall survival
- radiotherapy associated with increased overall survival
Concept
Preoperative radiotherapy increases efficacy of surgical resection
- especially with tumours that are borderline resectable
Surgery 2 - 4 weeks post radiotherapy
Wide resection
Limb sparing wide resection with negative microscopic margins
- 1 - 2 cm margins if possible
Chemotherapy
Efficacy
Issue
- wide range of subtypes of sarcoma that behave differently
- other factors that affect outcome i.e. size, depth, resectability
- meta-analysis of chemotherapy for localized sarcaom
- 18 trials and 2000 patients
- marginal efficacy of chemotherapy for recurrence and overall survival
Precision oncology
Molecularly targeted therapies
- dentify molecular genetics of tumour subtype
- Neurotrophic tyrosine receptor kinase (NTRK) inhibitors
- effective against different malignancies that harbour a NTRK gene fusion
Yuan et al Cancer Control 2021
Immunotherapy
Prognosis
Abarca et al J Surg Oncol 2018
- 2,437 patients > 18 with limb sarcoma
- survival rates with treatment in specialized centres > outside centres
- 2 year 87%
- 5 years 73%
- 10 years 58%
Factors
- nationwide registry in France of 35,000 patients
Factors associated with survival
- histological type
- grade: high versus low grade
- spread: lymph node, distant metastasis
- anatomic site: limb, trunk, retroperitoneal, head and neck
- size: < 5, 5 - 10, 10 - 15, > 15 cm
- surgical margins - positive surgical margins associated with recurrence
- depth
- age
- gender
Local recurrence
Pisters et al J Clin Oncol 1996
- 1,041 sarcomas lower extremity
- local recurrence related to size rather than histological subtype
- 1,668 sarcoma of extremity and trunk
- surgical recurrence associated with histological type / surgical margins / depth
Metastasis
- 10,000 sarcoma patients
- 25% will develop metastasis
- 50% metastasis: > 5 cm, deep to fascia, intermediate or high grade
Paediatric Soft Tissue Sarcoma
Tumours
Rhabdomyosarcoma (50%)
Soft-tissue Ewing's
PNET
Neuroblastoma
Management
More responsive to chemotherapy