
Definition
Rare slow growing benign soft tissue tumour
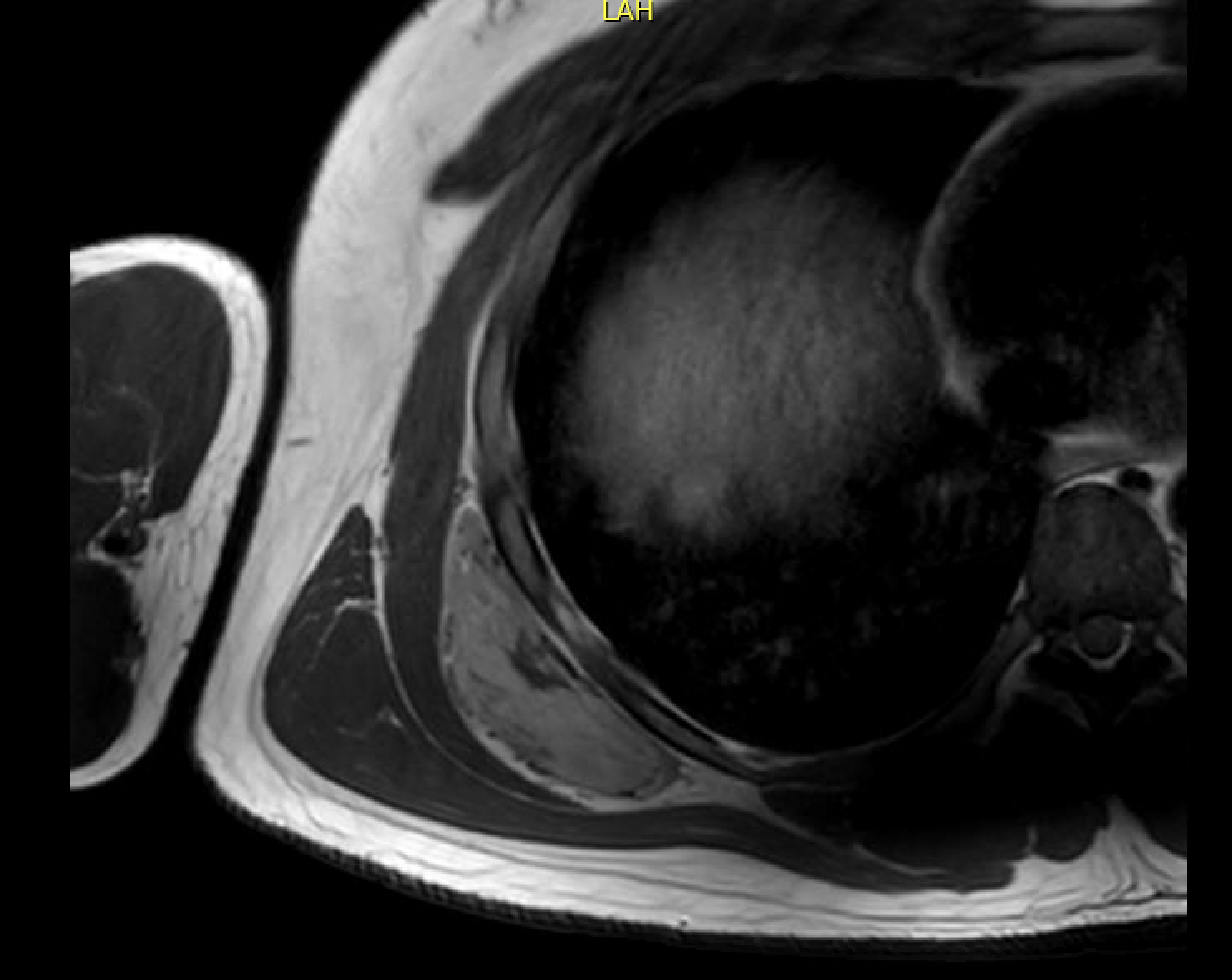
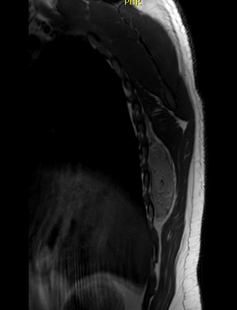
Grows beneath the rhomboid major and latissimus dorsi muscles adjacent to the inferior angle of the scapula
Epidemiology
Chase et al World J Surgery 2023
- 10 cases
- average age 56 years old
- 80% unilateral, 20% bilateral
Brandser et al AJR Am J Roentgenol 1998
- 258 CT chest of elderly patients
- elastofibroma dorsi in 4 patients (2%)
Etiology
Unclear
? Trauma
Clinical
Lump which appears around scapula
Palpable mass
Clunking of shoulder with movement
MRI
Semilunar, soft tissue mass abutting the rib cage posteriorly with well defined margins
Similar signal intensity to muscle




Histology
Mixture of collagen, elastic fibers and adipose tissue
Management
Surgical excision
Scamporlino et al J Thoracic Dis 2020
- excision of 70 elastofibroma dorsi in 59 patients
- marginal resection through muscle sparing approach
- no recurrence