

Definition
Medial subluxation of long head of biceps tendon out of groove and into rotator interval
Most commonly associated with subscapularis tears
Etiology
Trauma
Repetitive mechanical wear / overuse
Incidence
Overall
- 445 rotator cuff tears
- biceps subluxation 16%
- 70% with massive rotator cuff tears
Subscapularis tears
Yoon et al Biomedial Res Int 2018
- 100 patients with subscapularis tears on MRI
- half had medial biceps subluxation at arthroscopy
- 45/46 patients with medial biceps subluxation also had subscapularis tears
Symptoms
Anterior shoulder pain
Clicking / popping
Anatomy

| Bicipital groove | Biceps pulley | Transverse humeral ligament |
|---|---|---|
| Between the greater and lesser tuberosities | Acts to stabilize the LHB in the bicipital groove |
Distal bicipital groove Does not stabilize biceps in glenohumeral joint |
|
Superior glenohumeral ligament Coracohumeral ligament Lateral attachment of the subscapularis |
MRI
Normal


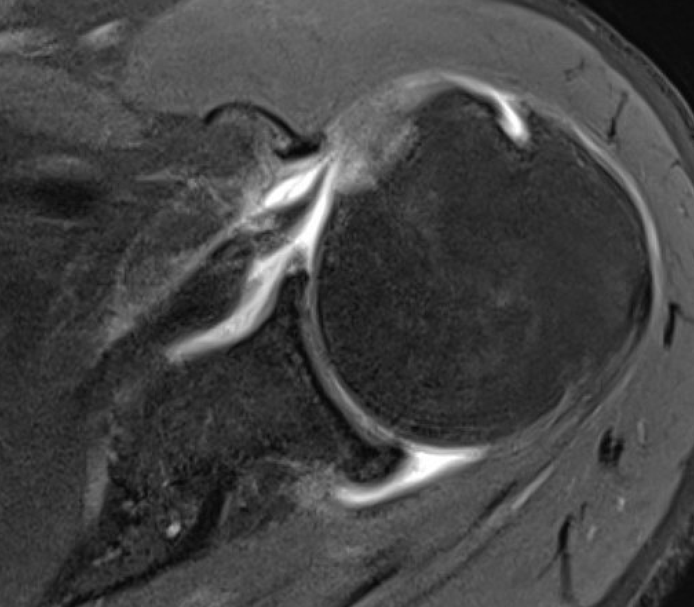
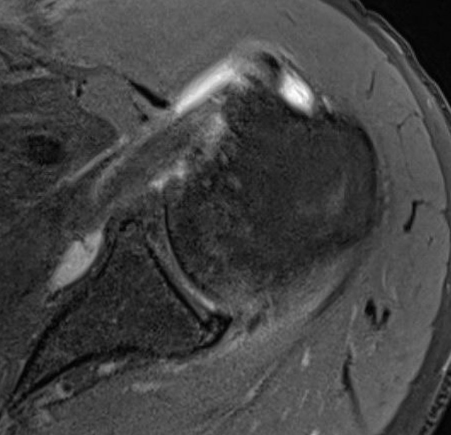
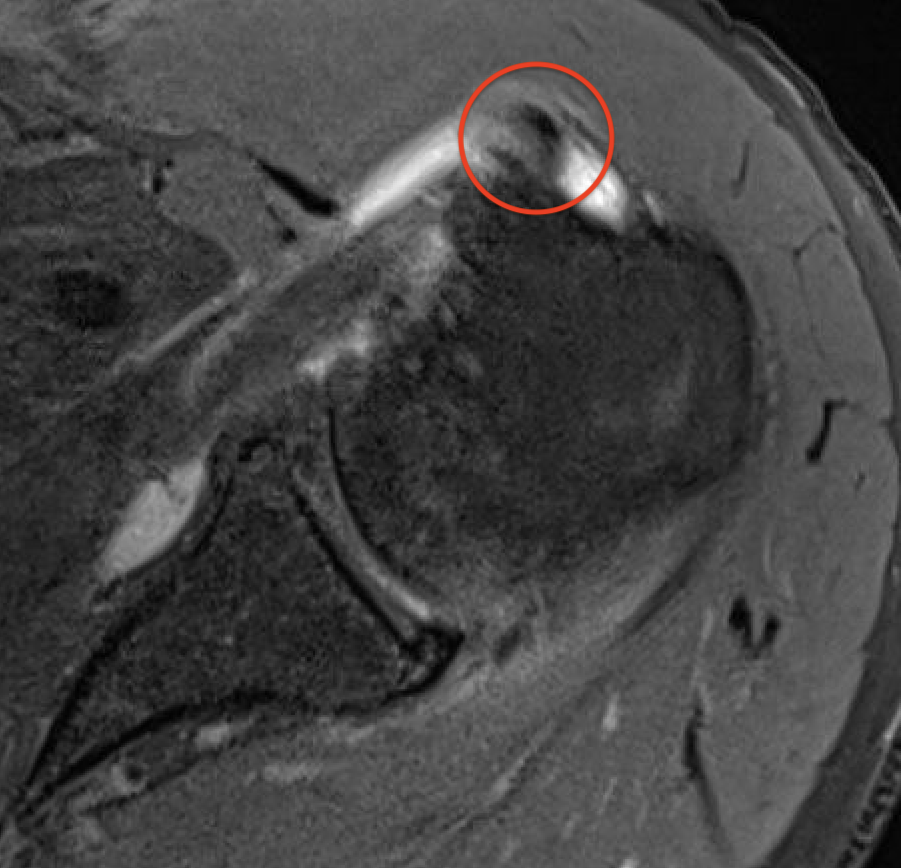
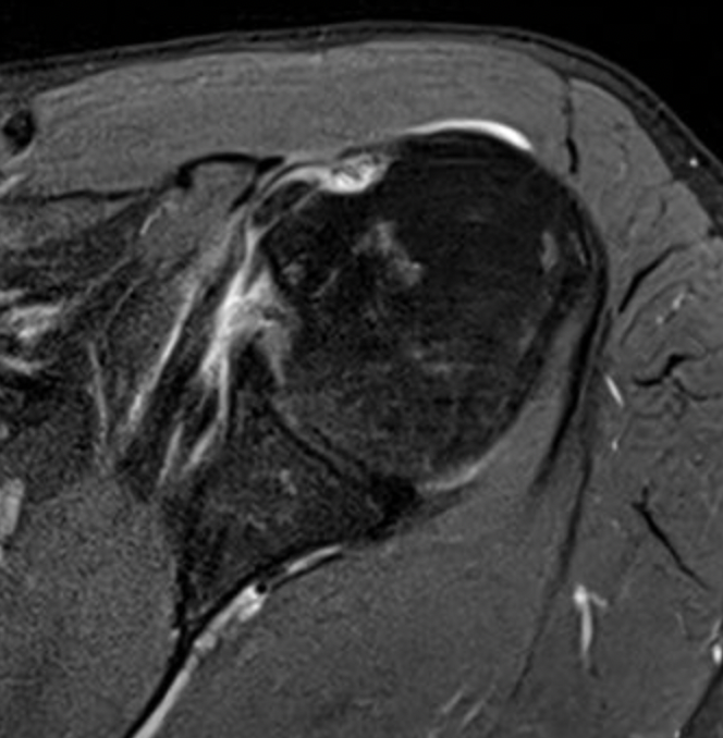
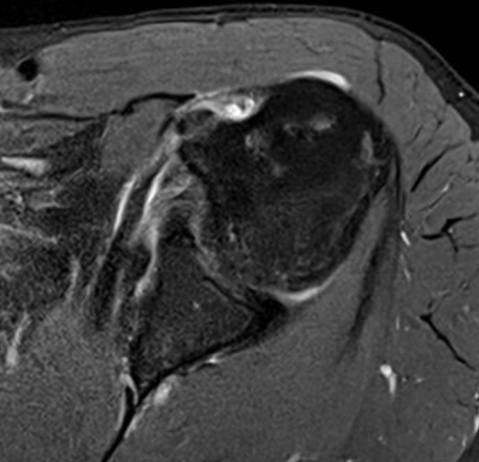
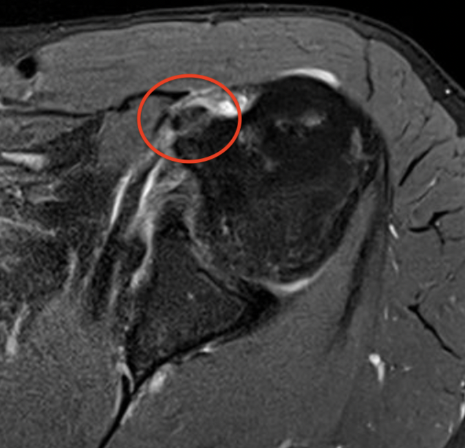
Medial Subluxation



Medial subluxation with subscapularis tear



Medial subluxation with subscapularis tear



Medial subluxation with subscapularis tear
Kang et al Skeletal Radiol 2017
- accuracy of MRA for 100 patients with LHB subluxation at arthroscopy
- 83% sensitive
Arthroscopy
Medial subluxation of LHB


Medial subluxation of LBH with subscapularis tear


Options
Subscapularis repair + Tenodesis / Tenotomy
Subscapularis repair with LHB stabilization
Subscapularis repair + biceps tenodesis



www.boneschool.com/subscapularis-tears
Bicipital groove stabilization
Issue
Can get stenosed painful tendon
Technique
Subscapularis repair
Biceps pulley repair (coracohumeral ligament) +/- reconstruction +/- bicipital groove deepening
Results
Bennett et al Arthroscopy 2004
- 12 cases of medial biceps subluxation
- treated with subscapularis repair and lateral repair of coracohumeral ligament over biceps
- one patient required later tenodesis
McClelland et al Acta Orthop Belg
- 16 cases of medial biceps subluxation
- treated with subscapularis repair / biceps pulley reconstruction +/- groove deepening
- at later ultrasound, 50% demonstrated LHB was tenodesed