

Definition
Defect of cartilage +/bone
Typically on talus
Options
Marrow stimulation - microfracture / microdrilling
Cartilage restoration
- Matrix autologous cartilage implantation (MACI)
- Autologous membrane induced chondrogenesis (AMIC)
- Autologous minced cartilage implantation (AutoCart)
- Allogenic minced juvenile cartilage implantation (DeNovo)
- Osteochondral autograft (Mosaicplasty / OAT)
- Osteochondral allograft (OCA)
Location
Issue
- guides approach
- open versus arthroscopic
- need for osteotomy
van Diepen et al Cartilage 2021
- systematic review of 2000 OC lesions of the talus
- 9 grid system
- 28% posteromedial
- 31% centromedial

Approaches
Vumedi approaches to talus OCL
Arthroscopy Approaches
Anterolateral / anteromedial
- anterior 50 - 60% lesions
Posterolateral / posteromedial
- prone
- posterior lesions
Open approaches
Lateral lesion
- more anterior lesions accessible with anterolateral approach
- ± Anterior plafond osteotomy ± Chaput anterolateral osteotomy if large
Medial lesion
- often more posterior
- may require medial malleolar osteotomy
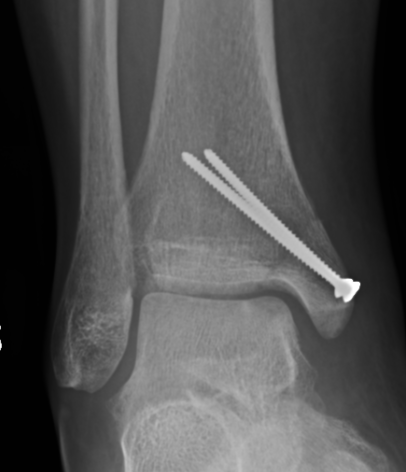
Medial Malleolar osteotomy
Predrill for screws
Arthrotomy / image guidance
Posterior homan to protect tibialis posterior
Initial osteotomy with saw / complete with osteotome
Vumedi surgical technique video



Microfracture
Indications
Chondral lesion < 1 cm diameter
Technique
Youtube surgical technique video microfracture
Arthroscopy techniques microfracture talus





Results
Outcome
Fu et al Orthop J Sports Med 2022
- 5 year follow up of talus microfracture in 355 patients
- reoperation rate 9%
Size
- systematic review of microfracture for talus lesions
- better results with diameter < 1 cm
PRP / HA
Huang et al Foot Ankle Surg 2024
- systematic review of PRP + microfracture for ostechondral lesions talus
- evidence that use of PRP improves outcomes
Dilley et al BMC Musculoskeletal Disorder 2022
- systematic review evaluating hyaluronic acid + microfracture for ostechondral lesions talus
- evidence that use of HA improves outcomes
Weight bearing
Song et al J Foot Ankle Surg 2021
- systematic review of early v delayed weightbearing after microfracture talus
- no evidence of improved outcomes with delayed weightbearing


Matrix autologous cartilage implantation (MACI)
Technique
Vumedi surgical technique video MACI
Autologous chondrocytes on collagen scaffold
2 step procedure
Results
Hu et al Arch Orthop Trauma Surg 2023
- meta-analysis of 23 studies and 460 patients undergoing MACI
- success rate 89%
Autologous membrane induced chondrogenesis (AMIC)
Technique
Autologous Membrane Induced Chondrogenesis (AMIC)
- microfracture with collagen patch (Chondrogide) secured with fibrin glue
Vumedi surgical technique AMIC talus
Arthroscopy techniques AMIC talus
Results
Wen et al J Foot Ankle Surg 2021
- systematic review of microfracture v augmented microfracture
- 10 studies and 500 patients with talar cartilage defects
- evidence of superior results of augemented microfracture
Minced Juvenile Allograft Cartilage Transplantation
Technique
Vumedi surgical technique minced cartilage talus
Arthroscopic techniques minced cartilage talus
Minced autograft or allograft cartilage fragments
Secure with fibrin glue
Results
Coetzee et al Foot Ankle Int 2013
- 24 ankles
- 78% good or excellent results
Osteochondral autograft transplantation (OATS / mosaicoplasty)
Technique
Vudmedi arthroscopic mosaicplasty video
Donor cartilage taken from knee NWB surface
Results
- systematic review of OATS
- 11 studies and 500 ankles
- 5/500 (1%) deemed failures
- donor site complication 4%
- reoperation rate 6%
Osteochondral Allograft
Technique
Vumedi surgical technique osteochondral allograft video
Arthroscopic techniques osteochondral allograft



Results
Pereira et al J Foot Ankle Surg 2021
- systematic review of 191 patients
- graft survival 87%
- reoperation rate (arthroscopic debridement / hardware removal) 22%