Fractures
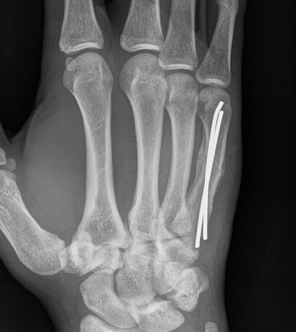
1. Neck of 5th Metacarpal
2. Metacarpal Shaft
3. Metacarpal Head
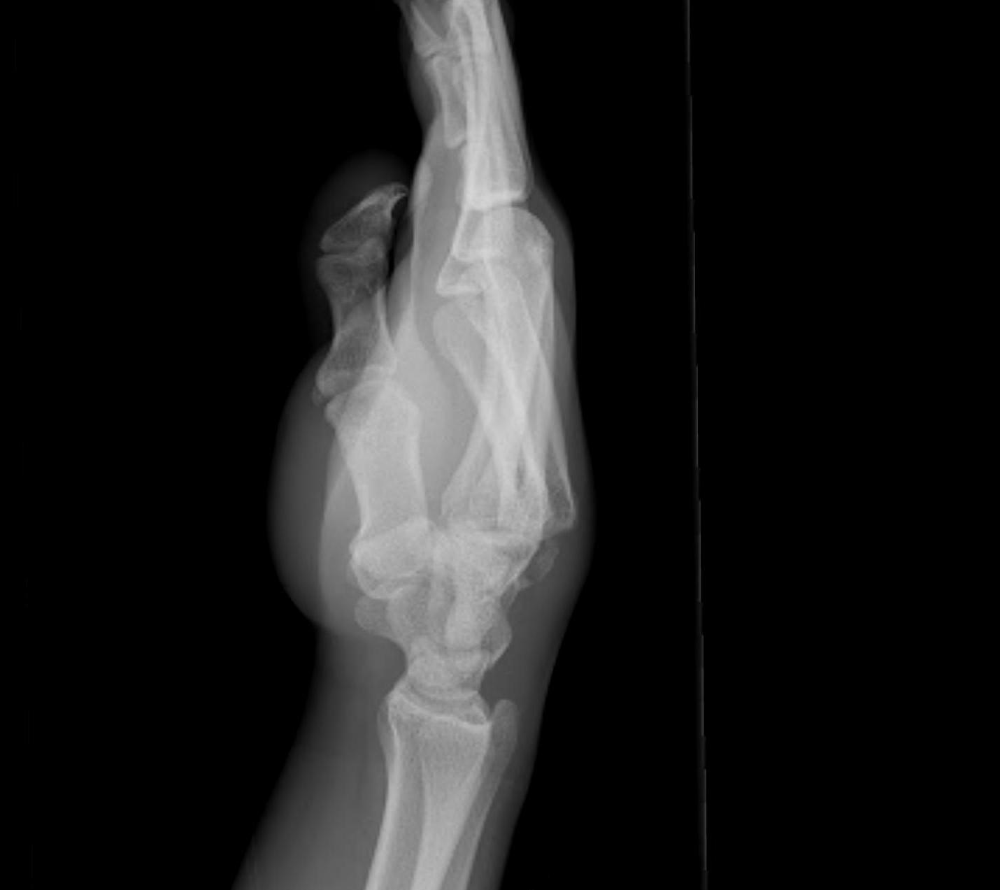
4. Base of Metacarpal Fracture Dislocations
5. MCPJ dislocations
1. Neck of 5th Metacarpal Fracture
Non operative Management
Accept 45o angulation
- will have finger extensor lag, but will recover
- can ring block and manipulate in POSI cast to improve position

Operative Treatment
Rare
- K wire across MC head into 4th MC
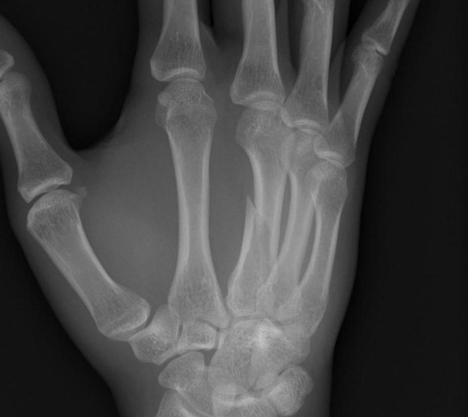
2. Metacarpal Shaft Fracture
Acceptable Deformity
Rotation < 5o
10o / 20o / 30o / 40o in IF / MF / RF / LF
< 5 mm shortening

Operative Management
Options
- plate
- lag screws (if spiral fracture)
- intramedullary wires

3. Metacarpal Head Fracture
Epidemiology
- uncommon
- usually in index finger
Indication for surgery
- > 2mm angulation
Options
- T plate
- headless compression screws / intra-articular
4. Base of Metacarpal Fracture Dislocations


5. MCPJ Dislocation
Simple
- volar plate not interposed
Complex
- volar plate, lumbricals, flexor tendons interposed
- open reduction
Vumedi open reduction irreducible MCPJ dislocation