


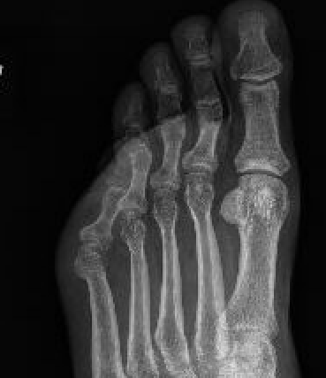
Congenital Deformity
5th toe adducted & overrides 4th toe


Pathology
Dorsomedial subluxation of the MTPJ
Contracture of EDL tendon
Contracted dorsal MTPJ capsule
Epidemiology
Children / adolescents
Male = Female
20 - 30% bilateral
Clinical
Problems with footwear
Painful callouses
Nonoperative management
Strapping & taping ineffective
Operative Management
Butler procedure

Technique
Racquet shaped incision dorsally
- preserve NV bundles
- EDL and dorsal capsule divided
- toe swung back into position and sutured
Results
Simoes et al J Child Orthop 2018
- 21 Butler's procedure of over-riding 5th toe
- 2/21 recurrence