Morton's Neuroma

 

Mulders SignMortonsMortonsMortons Neuroma 1

 

Definition

 

Benign enlargement of the common digital branch

 

Epidemiology

 

Women between 40 and 60

Usually 3rd webspace

 

Etiology

 

Repetitive chronic trauma of interdigital nerve against deep intermetatarsal ligament

- narrow shoes

- high heel shoes

- sustain micro damage to nerve

- perineural fibrosis, neural edema and demyelination

 

History

 

Pain with weight bearing

 

Clicking symptom

 

Numbness / tingling in the affected toes

 

Examination

 

Mulder sign

- palpate webspace with fingers superiorly and inferiorly

- with other hand compress metatarsal heads together

- either palpate the lump or feel a click

 

Mulders Sign

 

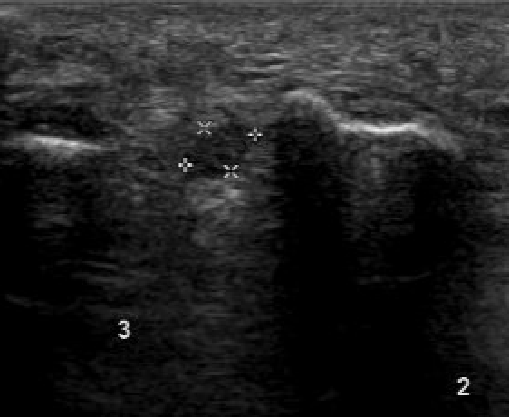
Ultrasound

 

mortonsMortons

 

Bignotti et al Eur J Radiol 2015

- systematic review of US versus MRI for Mortons

- equal accuracy

 

MRI

 

Obliteration of fat pad

Dumbbell shaped lesion between metatarsal heads

 

Mortonmorton

Morton's neuroma 3rd webspace

 

Mortonsmortons

Morton's neuroma 2nd webspace

 

Non operative management

 

Wide toe box / metatarsal dome

 

Cortisone injection

 

Edwards et al J Am Podiatr Med Assoc 2021

- systematic review of efficacy cortisone injection for Morton's neuroma

- evidence of short to medium term efficacy single cortisone shot

 

Radiofrequency ablation

 

Llombart et al Am J Phys Med Rehab 2024

- systematic review of 8 studies and 247 patients

- radiofrequency ablation Morton's

- 48% complete symptom relief

- 16% no relief

 

Operative management

 

Options

 

Neurolysis

Neurectomy / resection

 

Lu et al Acta Neurochir 2021

- systematic review of neurolysis v neurectomy

- complete pain relief: neurolysis 68% neurectomy 74%

- complete satisfaction: neurolysis 63% neurectomy 57%

- revision surgery: neurolysis 2% neurectomy 5%

 

Resection Morton's neuroma

 

Technique

 

Vumedi Morton neuroma resection

 

Dorsal incision over the webspace

- separate metatarsals with lamina spreader / retractor

- divide deep metatarsal ligament

 

Identify common digital nerve proximally

- identify neuroma / place forceps under

- resect proximal to neuroma

- resect distal to bifurcation

 

Mortons Neuroma IncisionMortons Neuroma 1Mortons Neuroma 2

 

Mortons NeuromaMortons Neuroma

 

Results

 

Lee et al Foot Ankle Surg 2024

- systematic review of dorsal v plantar approach for excision

- increased scar tenderness in plantar group: 17% v 6%

- increased reduced sensation in dorsal group: 62% v 49%

 

Complications

 

Toe numbness

Painful stump neuroma

Hammer toe (inadvertant lumbrical resection)

Pain secondary to instability / division inter-metatarsal ligament

 

Neurolysis

 

Advantage

 

Prevent toe numbness

Avoid stump neuroma

 

Technique

 

Divide deep metatarsal ligament

 

Results

 

Archuleta et al J Foot Ankle Surg 2020

- minimally invasive nerve release in 27 cases

- divide deep intermetatarsal ligament

- 59% excellent / good results

- 41% poor results

- 20% required open neurectomy

 

Koti et al J Orthop Surg Res 2022

- open release of deep intermetatarsal ligament in 39 cases

- 69% good or excellent results

- 30% fair or poor results

- 66% had numbness in toes