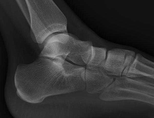
Definition
Chopart joints
- talonavicular joint
- calcaneocuboid joint
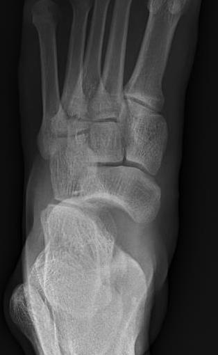
Injury patterns
TNJ +/- CCJ
Ligamentous +/- fracture dislocations
Fractures - trans-navicular / trans-cuboid
- 110 Chopart joint dislocations
- 25% pure ligamentous dislocations
- 55% fracture-dislocations
- 20% combined Chopart-Lisfranc injuries
Etiology
High energy injury
- MVA
- fall from height
- 110 Chopart joint dislocations
- 25% compartment syndrome
Imaging







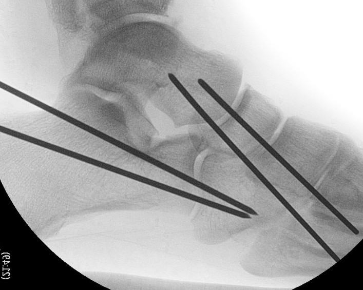
Management
Urgent closed +/- reduction reduction
Anatomic reduction and stabilization
- dorsomedial - talonavicular joint
- dorsolateral approach - calcaneocuboid joint
Pure ligamenous dislocation fixation
- percutaneous K wires
- bridging plates
Fracture-dislocation fixation
- plate fixation of navicular / cuboid fractures
- bridging plates
- +/- bridging external fixation intra-operative / postoperative
- +/- primary arthrodesis in severe comminution
Observe for compartment syndrome
AO foundation management Chopart injuries


Results
- 110 Chopart joint dislocations
- better outcomes with ligamentous dislocations versus fracture dislocations
Rammelt et al J Orthop Trauma 2023
- 128 Chopart joint injuries with 10 year follow up
- better results with ORIF versus closed reduction / percutaneous fixation
- 93% OA but only 4% required late fusion