Extra-Articular (25%)
Posterior tuberosity avulsion
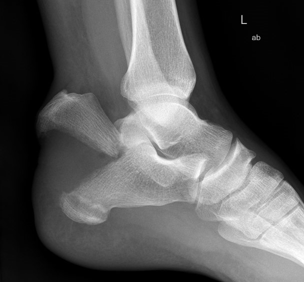
Anterior Process fracture
Sustentaculum Tali
Tuberosity avulsions fractures
Anterior process
Attachment of bifurcate ligament
Part of complex sprain



Management
Small
- non operative
- excise later if painful
Large and displaced
- ORIF
Sustentacular fractures
ORIF if displaced
Medial approach with buttress plate