


Definition
Pigmented Villo-Nodular Synovitis
- benign proliferation of the synovium
- AKA tenosynovial giant cell tumour
Epidemiology
Age: 20 - 50
Male:Female 1:1
Most common in the knee
Types
A. Localised
- just one area of synovium
- i.e. suprapatellar / medial or lateral gutter / posterior compartment


B. Diffuse
- throughout joint
- anterior and posterior
- more difficult to excise fully


Site
Knee most common
- also hip / shoulder / ankle
- usually mono-articular / rarely poly-articular
- case series of 237 patients with PVNS
- 74% knee
- 18% hip
Etiology
Translocations of chromosome 1p13
- present in the majority of PVNS cases
- overexpressing colony-stimulating factor 1 (CSF1)
Natural History
The process is intermittently progressive
- over a period of several months or years
- diffuse synovial involvement
Progressive destruction of the articular cartilage and subchondral bone
In aggressive cases, PVNS may involve adjacent bone
Clinical


Insidious onset of joint swelling and effusion
Aspirate
Blood tinged fluid in absence of trauma
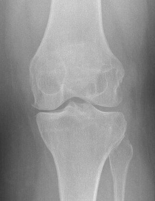
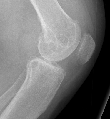
X-ray
Soft tissue swelling
Arthritic changes
Bone destruction
- invasion of adjacent metaphyseal cancellous bone
- may be suggestive of neoplasm


Bony involvement PVNS
MRI
Synovial thickening
Hemosiderin
- low signal intensity on TI and T2 - "drop out" signals
- blooming on gradient echo
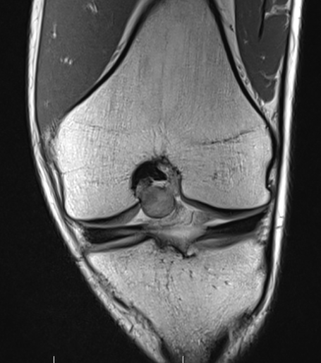
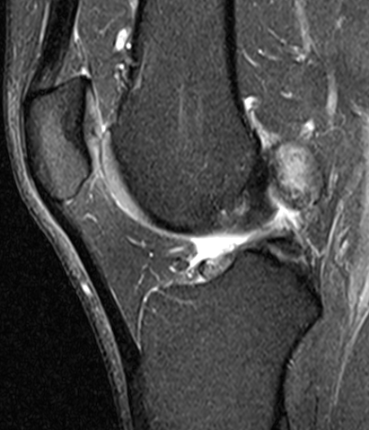
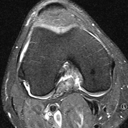
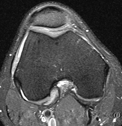
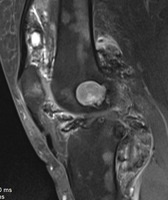
Localized / nodular


Localized PVNS of the notch




Localized posterolateral PVNS
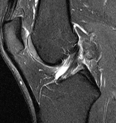
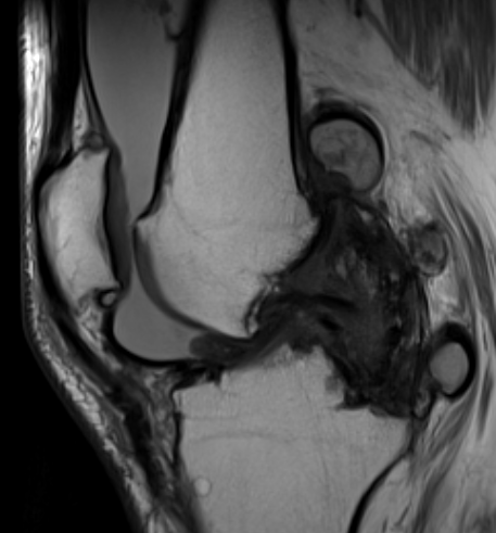
Diffuse


Diffuse PVNS with involvement of suprapatella pouch and posterior compartments, including posterior extra-articular



Severe diffuse PVNS with bony involvement
Differential diagnosis
Haemophilia
Lipoma arborescens
Synovial chondromatosis
Arthroscopy


Localized / nodular PVNS anterior knee joint


Localized / nodular PVNS posteromedial compartment knee



Diffuse knee joint
Pathology


Histology
Hemosiderin stained multinucleated giant cells
Management
Synovectomy
Complete synovectomy
- dissecting the synovium and intermediate layers
- preserve deep fibrous layers and ligaments
- need to remove all affected synovium for best results
- meticulous surgical technique required
Issue
Recurrence
Mastboom et al Lancet Oncol 2019
- multicentred study of diffuse PVNS in 966 patients treated surgically
- recurrence rate 44%
Medical treatments
Radiotherapy
- 50 patients with diffuse PVNS
- treated with surgery and radiotherapy
- recurrence rate 6%
Heyd et al Int J Radiat Oncol Biol Phys 2010
- 41 patients receiving postoperative radiotherapy
- single dose
- recurrence 5%
- mild early and late toxicity
Radiosynoviorthesis
Yttrium labelled colloid injections
Gortzak et al Bone Joint J 2018
- patients with diffuse PVNS knee
- retrospective analysis between 1991 and 2014
- 34 patients with synovectomy and Yttrium: residual disease 15/34
- 22 patients synovectomy alone: residual disease 11/22
- inconclusive benefit
Pexidartinib
Tyrosine kinase inhibitor / CSFR1 inhibitor
- 120 patient RCT of pexidartinib v placebo
- patients not amenable to surgery
- 39% response rate to pexidartinib
- 70% hair colour change, 50% fatigue
- 40% elevation of liver enzymes
Knee
Arthroscopic synovectomy
Vumedi localized anterior PVNS
Surgical technique video transeptal portal posterior PVNS
Anterior
- suprapatella
- medial and lateral gutters
- ACL / PCL
Posterior compartments
- posteromedial / posterolateral
- transeptal portal



Open posterior synovectomy
Extracapsular nodules
Surgical technique posterior approach for PVNS

Removal of extra-articular PVNS via direct posterior approach
Results of synovectomy
Auregan et al Arthroscopy 2014
- systematic review of 6 studies and 1000 patients
- recurrence rate localized: 9% open, 7% arthroscopic
- recurrence rate diffuse: 23% open, 16% arthroscopic
- complications rate: 19% open, 0% arthroscopic
Results of TKA
Tan et al Knee Surg Rel Res 2021
- systematic review of 5 studies with 550 TKA in setting of PVNS
- recurrence of PVNS 7% (all diffuse PVNS)
- stiffness in 6%
- infection 2.9%
Casp et al J Arthroplasty 2018
- database study of 453 patients with PVNS of the knee
- no difference in revision rate at 2 years
- increased stiffness compared to control group: 7% v 5%
- increased infection compared to control group: 3% v 1.5%
Hip


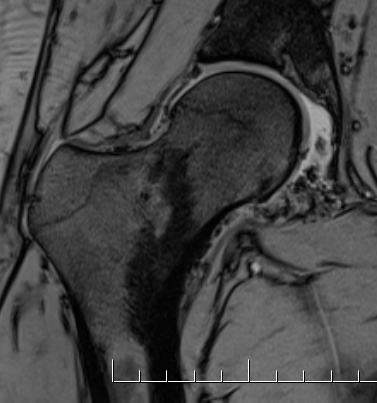
Hip PVNS



Hip PVNS with erosions
Results of synovectomy
Chen et al Arthroscopy 2013
- 32 hips treated with arthroscopic synovectomy
- recurrence rate 6%
- 37 cases treated with open synovectomy
- recurrence rate 8%


Results of THA
Ardeljan et al J Arthroplasty 2021
- registry data of 1240 patients with PVNS undergoing THA
- 2% aseptic loosening at 2 years
- 22 patients with PVNS undergoing total synovectomy and THA
- average age 35 years with 8 years follow up
- no recurrent
- 90% 10 year survivorship similar to matched controls
Ankle



PVNS anterolateral gutter ankle




PVNS with ankle joint / talus erosion
Surgical technique ankle arthroscopy for PVNS
Results
- systematic review of 25 studies and 382 patients with PVNS foot and ankle
- diffuse: recurrence rate 21%
- localized: recurrence rate 7%
Barnet et al Foot Ankle Int 2023
- 123 cases ankle PVNS
- recurrence rate 37% with diffuse PVNS
- patients with pain and pre-operative erosive change - 57% had postoperative pain