Multiple Hereditary Exostosis

 

Genu Valgum OCMultiiple OCBowed forearms OC

 

Definition

 

Hereditary Multiple Exostosis (HME)

 

Heritable skeletal dysplasia characterised by multiple osteochondromas

 

Epidemiology

 

1:50,000

 

Etiology

 

AD with variable penetrance (96%)

 

90% of HME associated with mutation in EXT1 or EXT2 gene

- part of proteoglycan synthesis

- requires a second genetic hit to create the disease

 

Malignant Transformation

 

Incidence

 

Fei J Bone Oncol 2018

- systematic review

- incidence of chondosarcoma 4%

- 75% between age 20 - 40

- 56% pelvis and proximal femur

 

Danger areas / central

- pelvis / proximal femur

- scapula / proximal humerus

 

Screening

 

Van der Woude et al Skeletal Radiol 2023

- total body MRI in 355 patients with HME

- 9/366 (2.5%) MRIs found suspicious lesions that ultimately were chondrosarcomas

- all in flat bones (pelvis / ribs / scapula)

 

Clinical

 

Commonly presents as skeletal deformity, such as Madelung deformity

 

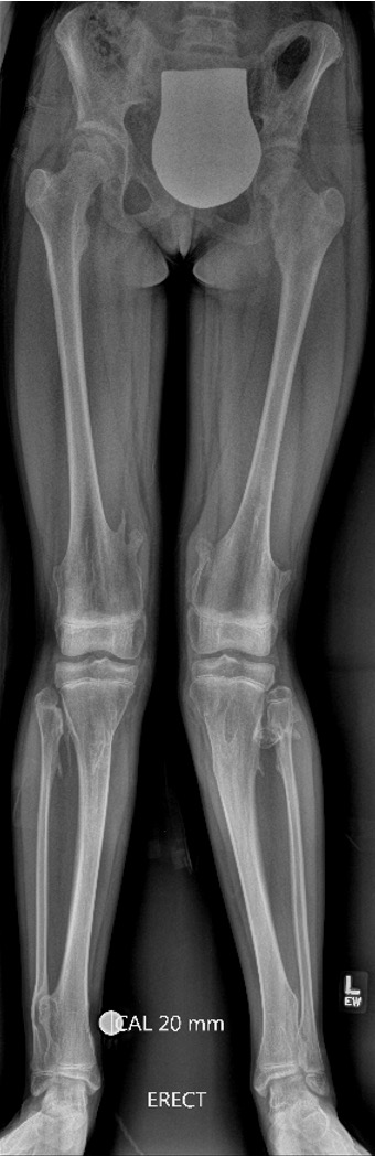
Lower limbs

- mildly short stature

- eg length discrepancies

- valgus knees / valgus ankle

- common peroneal compression

 

Upper limb

- scapular winging

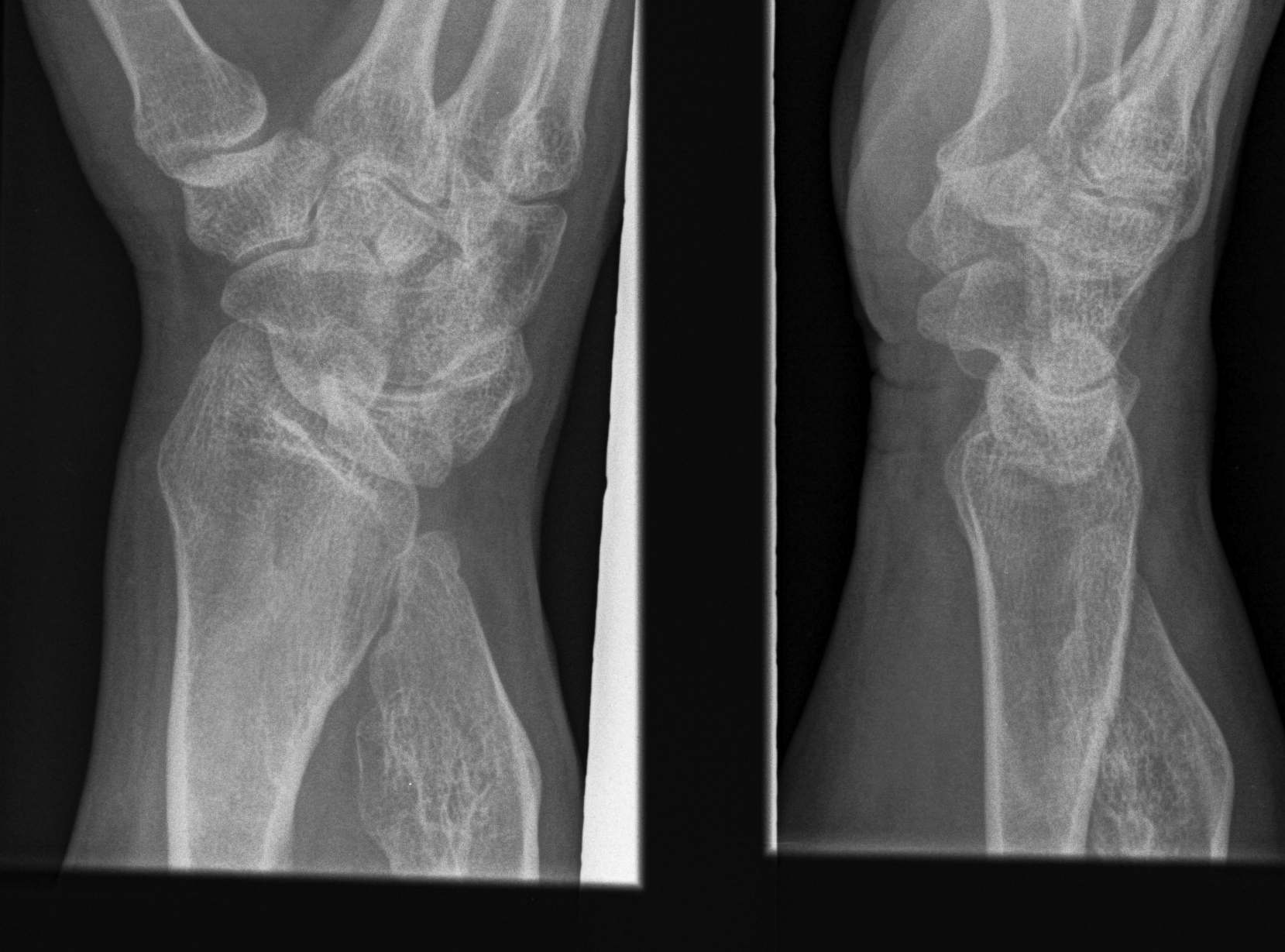
- forearm bowing / ulnar deviation of wrist / loss of pronation / supination

 

Spinal stenosis

 

Multiple OsteochondromasMultiple Osteochondromas

 

X-ray

 

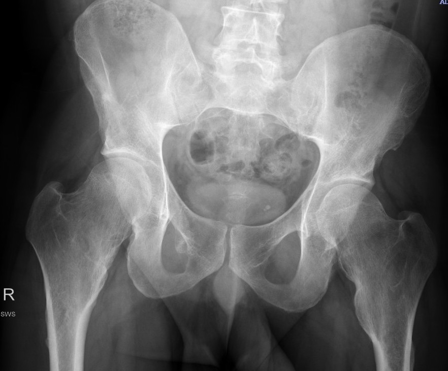
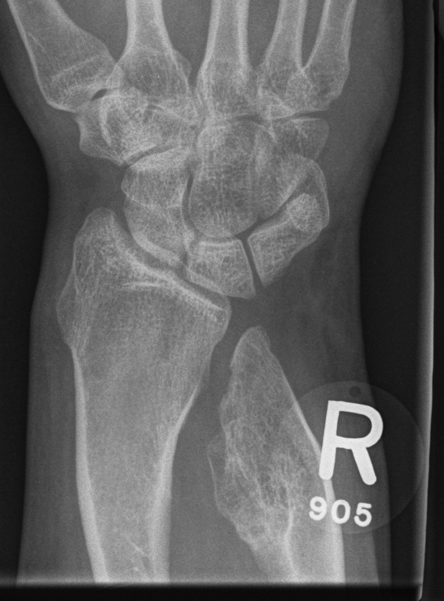
Hip

- coxa valga

- neck short & broad

 

Mult OC hipHip Osteochondroma

 

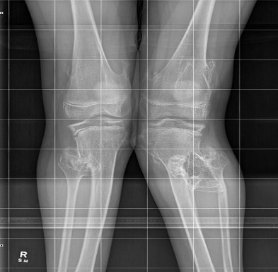
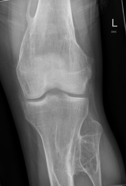
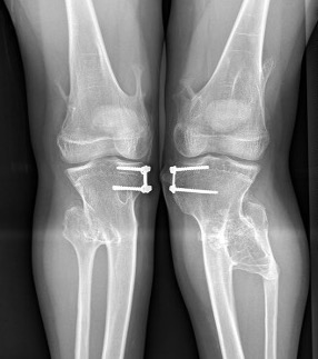
Knee - genu valgum

 

Genu Valgum OCMultiiple OCMultiple OC

 

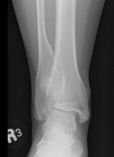
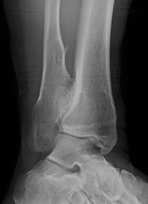
Ankle

- valgus

- fibular shortening with valgus distal tibia

- wedge-shaped distal tibial epiphysis

- leads to valgus talar tilt in abnormal mortise

 

Ankle mult OC 1Ankle mult OC 2

 

OCOCOC

 

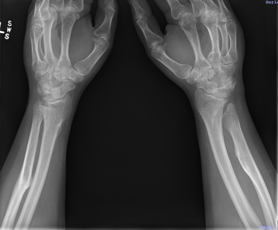
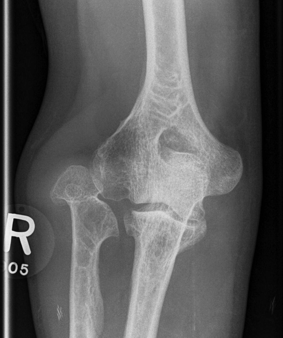
Forearm 

- ulnar shortening / radial bowing / ulnar deviation of wrist

- can get radial head dislocation / carpal slip

 

Osteochondroma ElbowOsteochondromas Forearm 1Osteochondromas Forearm 2

 

Osteochondromas WristOsteochondromas Wrist LateralMulti OC wrist

 

Histology

 

Exostoses tend to be more disorganised with bosselated cartilage cap

 

Management

 

Surgical Indications

 

Symptomatic osteochondromas - nerve impingement

Biopsy suspicious lesions

Growth deformity - bowing / leg length discrepancy

 

Knee

 

Knee valgus OCOsteochondroma Knee Lateral

 

Incidence

 

Clement et al Knee 2014

- 172 patients with HME

- 90% had exostosis around the knee

- 20% had valgus deformity

- 15% had FFD deformity

 

Issues

 

1.  Multiple case reports of pseudoaneuryms and vascular complications with knee osteochondromas

 

2.  Excision of osteochondromas may cause rapidly developing deformity

 

Denduluri et al J Paediatri Orthop B 2016

- excision of medial proximal tibial osteochondroma in 3 patients with HME

- developed genu valgum as a result

 

Options

 

Guided growth / temporary hemi-epiphysiodesis

Osteotomy

 

Guided growth

 

Guided growth valgus HMEGuided growth 2 HME

 

Kang et al J Paediatr Orthop 2017

- 15 cases of MHE with genu valgum

- treated with hemi-epiphyseal stapling

- 67% satisfactory corrections

- correction slower than idiopathic valgus correction (1.5 years v 1 year)

 

Osteotomy

 

Osteochondromas Valgus KneeOsteochondromas Knee Osteotomy 2Osteochondromas Knee Osteotomy AP

 

Ankle

 

Incidence

 

Zhang et al J Child Orthop 2021

- 61 children, mean age of 10

- 50% had ankle valgus

- correlates with osteochondromas lateral tibia / medial fibula

 

Surgical options

 

Guided growth

Osteotomy

 

Temporary screw epiphysiodesis

 

Rupprecht et al J Paediatr Orthop 2015

- 12 patients with HME and ankle valgus

- average age of 12, average tibio-talar tilt 13 degrees

- treated with temporary medial malleolar screw epiphysiodesis for 24 months

- excellent corrections

- 43% rebounded > 5 degrees after screw removal, treated by repeated eiphysiodesis

 

Ilizaroz / Osteotomy

 

Olfram et al J Orthop Traumatol 2008

- correction of ankle valgus in 5 patients ilizarov

- average correction 18 degrees

 

Hip

 

Hip HME

 

Issues

 

Coxa valga

Hip subluxation

 

Guided growth

 

Hung et al J Paediatr Orthop 2023

- 12 patients with HME and coxa valga / hip subluxation

- guided growth improved neck shaft angles and epiphyseal angles

 

Forearm

 

Osteochondromas Forearm 1Osteochondromas Forearm 2

 

Incidence

 

Jo et al J Hand Surg Am

- 53 pediatric patients with HME

- 10% incidence of radial head dislocation

 

Issue

 

Prevent radial head dislocation / radial slip

? improve function

 

Options

 

Excision of local osteochondromas

Ulnar lengthening

 

Ulnar lengthening

 

Vogt et al J Paediatr Orthop 2011

- 12 children mean age of 10 with HME

- external fixator ulna lengthening

- no change on radial head dislocation / carpal slip

- no functional improvement except radial abduction

 

Li et al J Orthop Surg Res 2020

- 17 forearms mean age 10

- Ilizarov distraction osteogenesis of the ulna average 4 cm

- improved pronation and elbow flexion

- unable to reduce radial head dislocation

 

Spine

 

Roach et al JBJS Am 2009

- 43 patients with HME evaluated with spine MRI

- 68% had spinal osteochondromas

- 27% had lesions encroaching on spinal canal

- all asymptomatic