

Definition
Benign intramedullary cartilage lesion
Etiology
Enchondroma are presumed to be remnants of hyaline cartilage
Derived from the epiphyseal growth mechanism that failed to undergo enchondral ossification
Epidemiology
10% of benign bone tumours
Most frequent cartilaginous tumour
Young adults
Stop growing in adults and calcify
Malignant transformation
Chondrosarcoma
- grade 1 / 2 / 3
- low / intermediate / high
Grade 1
- atypical cartilaginous tumour / low grade chondrosarcoma
- locally aggressive
- low metastatic potential
Can be difficult to diagnose on imaging including MRI
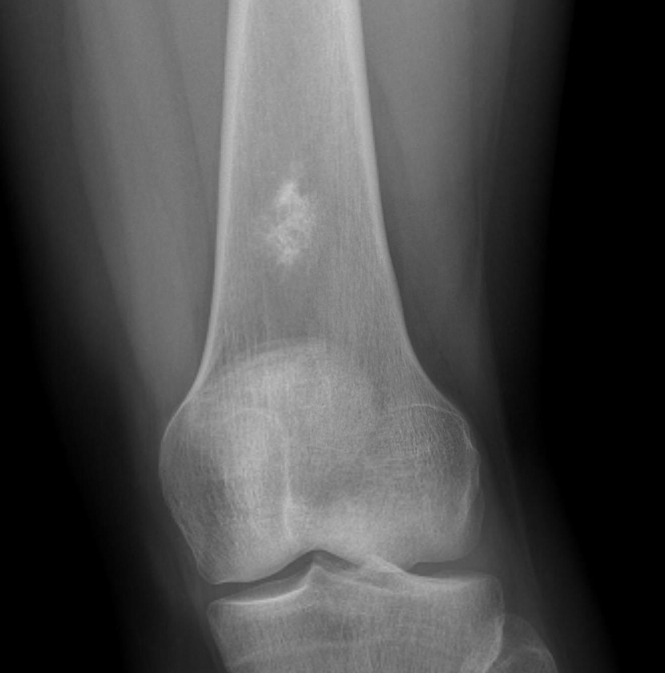
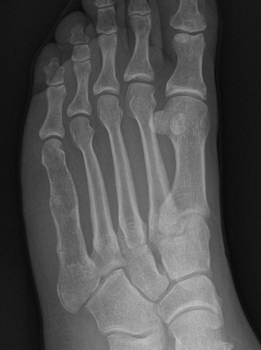
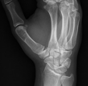
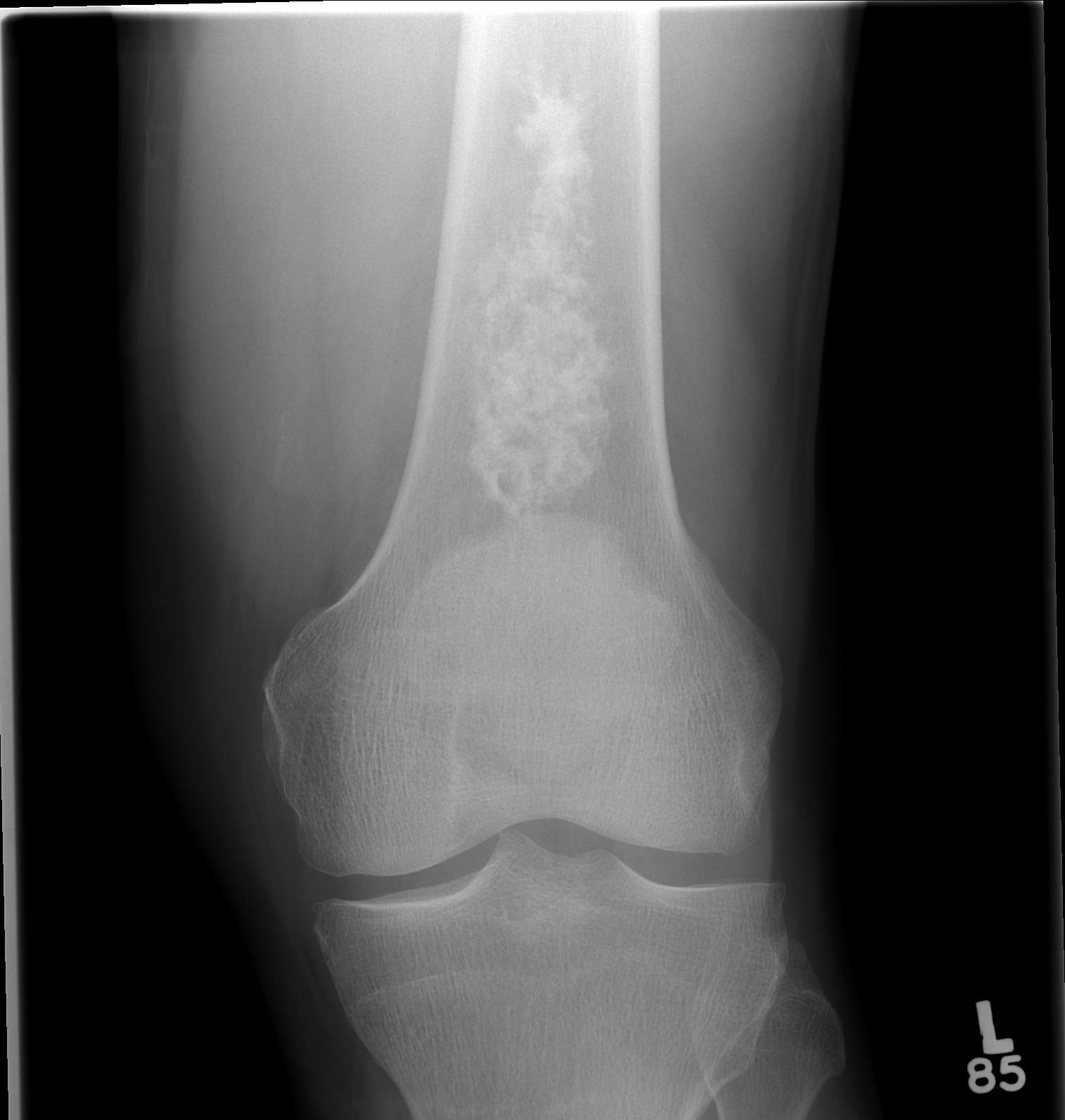
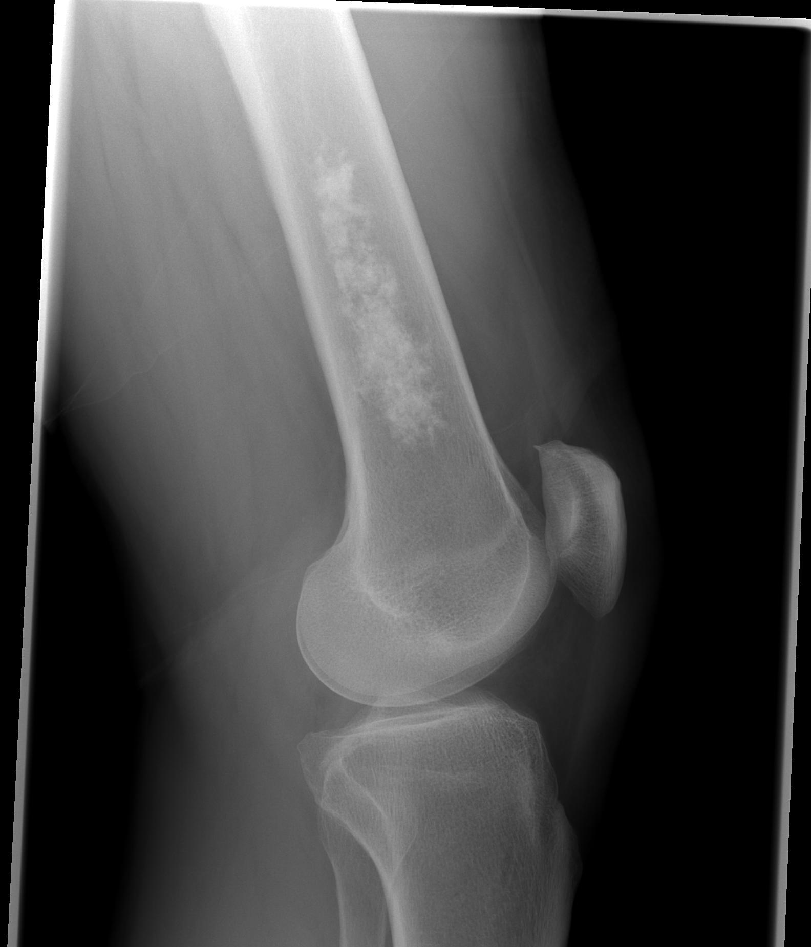
Location
Intramedullary
- long bones
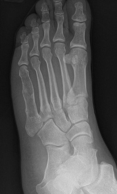
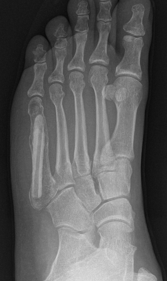
- tubular bones of hand and feet
Clinical
Usually incidental finding
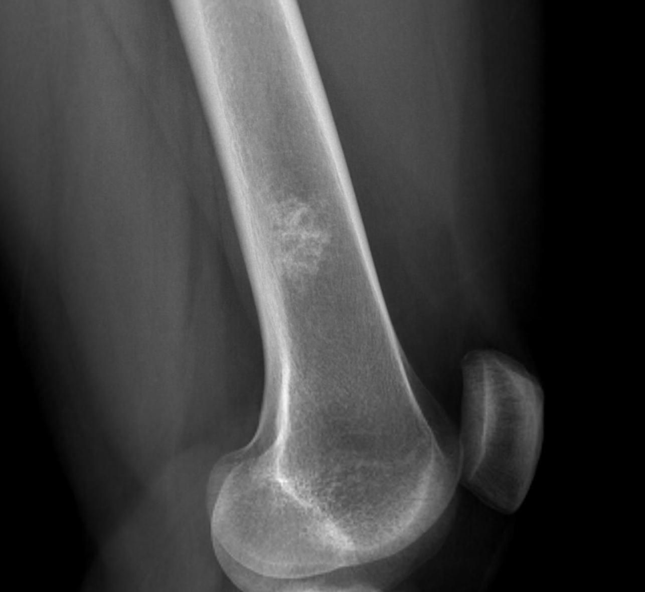
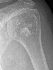
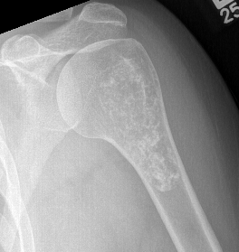
X-ray
Intralesional calcification - punctate, stippled calcification and broken rings
Differential diagnosis long bone with intralesional calcification
1. Enchondroma
2. Bone infarct
3. Chondrosarcoma




Hand / Foot


CT Scan





MRI





Imaging differential diagnosis
Can be very difficult to distinguish between low grade chondrosarcoma / atypical cartilaginous tumour and enchondroma
Enchondroma versus chondrosarcoma
Murphey et al Radiographics 1998
- 92 enchondromas versus 95 chondrosarcomas
- factors associated with chondrosarcoma on presentation and imaging
- pain
- deep endosteal scalloping (>2/3 cortical thickness)
- cortical destruction
- soft tissue mass
- high uptake on bone scan
- enchondroma versus grade 1 chondrosarcoma
- correct diagnosis enchondroma xray 67% and MRI 58%
- correct diagnosis chondrosarcoma xray 21% and MRI 58%
Low grade versus high grade chondrosarcoma
- 179 cartilaginous tumours
- MRI features associated with high grade versus low grade chondrosarcoma
- bone expansion / periostitis / soft tissue mass / tumour length

Endosteal scalloping


Large, central enchondroma
Pathology
Composed of masses of hyaline cartilage without characteristic architecture
- typically bland cartilage
- no pleomorphism / anaplasia / hyperchromasia

Histology differential diagnosis
Can be very difficult to distinguish between low grade chondrosarcoma / atypical cartilaginous tumour and enchondroma
- sampling issues
- difficult histological differentiation
Eefting et al Am J Surg Pathol 2009
- enchondroma versus grade 1 chondrosarcoma / atypical cartilage tumour
- low reliabilty (0.5 kappa)
- reliable signs mucoid matrix degeneration and host bone entrapment
Management
Typically surveillance of benign looking enchondroma
Surgical indications
Biopsy
- pain
- concerning radiological features
Risk pathological fracture
Curettage of low grade chondrosarcoma
Errani et al Eur J Orthop Surg Traumatol 2017
- 54 enchondroma and 35 patients atypical cartilaginous tumour (ACT) long bone
- treated with curettage
- no local recurrence with enchondroma
- 4/35 (11%) local recurrence with ACT
- 3/4 of those with local recurrence had disease progression with higher grade than previous
Dierselhuis et al Cochrane Database Sys Review 2019
- intralesional treatment versus wide resection for low grade / Grade 1 chondrosarcoma long bones
- 14 studies and 511 participants
- 419 treated with intralesional treatment, 91 with wide resection
- no difference in recurrence free survival
- lower complication rates and better functional outcomes with intralesional treatment
Hand
Foot

