Definition
Pain in the forefoot in the region of the metatarsal heads
3 groups
1. Localised
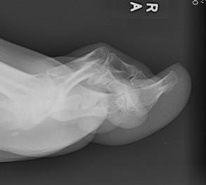
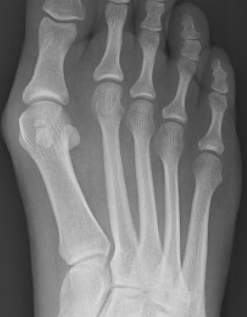
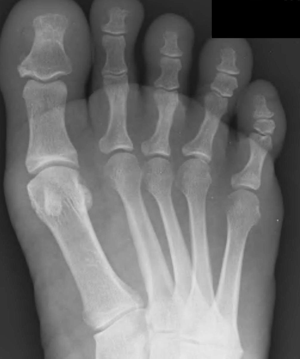
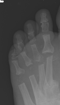
Morton's neuroma / Freiberg's / Stress fracture
2. Systemic disease / inflammatory conditions / neurological conditions
Synovitis / MTPJ destruction


Rheumatoid arthritis Psoriasis
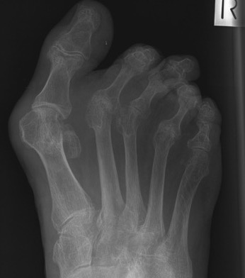
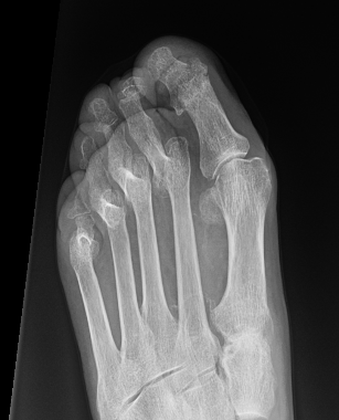
3. Altered forefoot biomechanics / Transfer metatarsalgia
| Hyper-extended MTPJ | Short 1st MT | 1st ray insufficiency syndrome | Iatrogenic |
|---|---|---|---|
| Claw toe / hammer toe | > 2 cm back from 2nd MT |
Splayed forefoot |
Bunion surgery |
| Cavus foot | 1st ray unloaded | 1st ray unloaded | MT head excision |
![]() |
![]() |
![]() |
![]() |

Cavus foot
Nonoperative management
Options
Orthosis / metatarsal domes
- stop 5 mm proximal to MTPJ
- reduce plantar pressure on metatarsal heads


Results
Ruiz-Ramos et al J Orthop 2024
- systematic review of custom versus non custom orthotics
- no difference
Operative management
Options
Distal metatarsal shortening osteotomy
- aim to shorten / elevate the metatarsal head
- Weil Osteotomy - intra-articular distal osteotomy
- Distal metatarsal metaphyseal osteotomy (DMMO) - extra-articular
Plantar plate repair / reconstruction
- indicated with joint instability
- usually combined with osteotomy
Resection arthroplasty / joint replacement
- degenerative changes / low demand
- rheumatoid arthritis
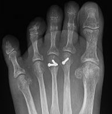
Weil Osteotomy




Technique
Dorsal incision over MTPJ
- web space incisions if doing multiple toes
- mobilize EDL tendons
- capsulotomy to expose MTPJ
Osteotomy
- homan retractors each side of metatarsal
- saw enters at edge of articular surface dorsally
- osteotomy parallel to the floor
- when osteotomy complete the MT head slides back
- needs to slide back at least 5mm
- amputate leading edge of proximal fragment
+/- screw fixion
+/- plantar plate fixation
Results
Highlander et al Foot Ankle Spec 2011
- 1100 Weil osteotomy
- 36% floating toe
- recurrence 15%
- transfer metatarsalgia 7%
- delayed union / nonunion 3%
- 278 Weil osteotomy
- 195 fixed with screw - revision rate 25% (primarily MTPJ arthrolysis)
- 83 without screw - revision rate 10%
- no difference in clinical outcome
Distal metatarsal metaphyseal osteotomy (DMM)
Technique
Extra-capsular
Shortening
MIS techniques


Results
- meta-analysis of Weil v DMMO
- 4 studies and 200 patients
- no difference in outcomes
Rivero-Santana et al Foot Ankle Surg 2019
- systematic review of Weil v DMMO
- 4 retrospective studies
- DMMO - longer time to bone healing
- Weil - increased stiffness / wound problems
Plantar plate repair / reconstruction
Indication
MTPJ instability / subluxation / dislocation
Techniques
Direct repair to proximal phalanx
- plantar / dorsal approach
- anchors / transarticular approach
Reconstruction
Dorsal approach repair technique
Technique article dorsal approach plantar plate PDF
Conmed Y Knot dorsal approach plantar plate repair technique video
Arthrex dorsal approach plantar plate repair technique video
Plantar approach repair technique
Conmed Y Knot plantar approach plantar plate repair technique video
Results
Fleischer et al J Foot Ankle Surg 2020
- 86 patients with Weil osteotomy
- +/- plantar plate repair
- better outcomes with plantar plate repair
Bobrov et al J Foot Ankle Surg 2024
- 117 feet
- Weil osteotomy + PIPJ fusion 52% good results
- Weil osteotomy + plantar plate repair 85% good results
Excision arthroplasty / Joint replacement
Indication
Lower demand
Rheumatoid arthritis

www.boneschool.com/rheumatoid-forefoot



